电话:
+86 (0512) 65829739
传真:
+86 (010) 6788 5057
电子邮件:
orders@antibodies-online.cn

DEFB107A 抗体 (Internal Region)

The 山羊 多克隆 anti-DEFB107A antibody (ABIN870648) specifically detects DEFB107A in ELISA 和 IHC. The antibody is reactive with 人 samples.
产品编号 ABIN870648
发货至: 中国
Contact our Customer Service for availability and price in your country. Contact Info

Our Local Distributor

中国
北京 101111
No. 88 KeChuang 6th Street
Beijing Economic Technological Development Area
Room 801-803
4A Biotech Co.,Ltd.
Tel +86 (0512) 65829739 传真 +86 (010) 6788 5057

Quick Overview for DEFB107A 抗体 (Internal Region) (ABIN870648)

抗原

See all DEFB107A 抗体
DEFB107A (Defensin, beta 107A (DEFB107A))

适用

宿主

  • 2
山羊

克隆类型

  • 2
多克隆

标记

  • 2
This DEFB107A antibody is un-conjugated

应用范围

  • 2
  • 1
  • 1
ELISA, Immunohistochemistry (IHC)

质量等级

Verified
  • 抗原表位

    • 2
    • 1
    Internal Region

    原理

    DEFB107A / DEFB107B

    序列

    HRALISKRME GHCE

    交叉反应

    纯化方法

    Purified from goat serum by ammonium sulphate precipitation followed by antigen affinity chromatography using the immunizing peptide.

    免疫原

    Peptide with sequence HRALISKRMEGHCE, from the internal region of the protein sequence according to NP_001032757.2, NP_001035795.1.

    亚型

    IgG
  • 应用备注

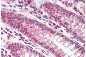
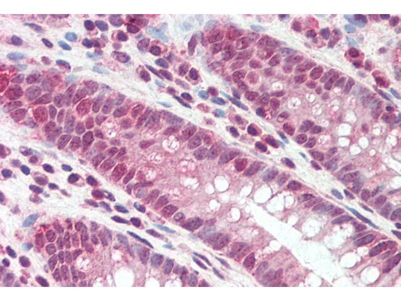
    Immunohistochemistry: Paraffin embedded Human Colon. Recommended concentration: 5 μg/mL.

    Western Blot: Not yet tested - our routinely used western blotting protocol does not allow detection of proteins as small as the calculated size of 7.85 kDa according to NP_001032757.2.

    Peptide ELISA: antibody detection limit dilution 1:32000.

    限制

    仅限研究用
  • 状态

    Liquid

    浓度

    0.5 mg/mL

    缓冲液

    Supplied at 0.5 mg/mL in Tris saline, 0.02 % sodium azide, pH 7.3 with 0.5 % bovine serum albumin.

    储存液

    Sodium azide

    注意事项

    This product contains Sodium azide: a POISONOUS AND HAZARDOUS SUBSTANCE which should be handled by trained staff only.

    注意事项

    Minimize freezing and thawing.

    储存条件

    -20 °C

    储存方法

    Aliquot and store at -20°C, with minimal freeze/thawing. A working aliquot may be refrigerated at 4°C for a few weeks and still remain viable.
  • 抗原

    DEFB107A (Defensin, beta 107A (DEFB107A))

    别名

    DEFB107A

    背景

    DEFB107A, defensin, beta 107A, BD-7, DEFB-7, DEFB107, DEFB107B, beta-defensin 107, beta-defensin 7, defensin, beta 7

    分子量

    7.85kDa

    基因ID

    245910, 503614

    NCBI登录号

    NP_001032757, NP_001035795
You are here: