电话:
+86 (0512) 65829739
传真:
+86 (010) 6788 5057
电子邮件:
orders@antibodies-online.cn

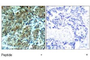
Cortactin 抗体 (Tyr466)

The 兔 多克隆 anti-Cortactin antibody (ABIN197532) specifically detects Cortactin in WB 和 IHC (p). The antibody is reactive with 小鼠 samples.
产品编号 ABIN197532
发货至: 中国
Contact our Customer Service for availability and price in your country. Contact Info

Our Local Distributor

中国
北京 101111
No. 88 KeChuang 6th Street
Beijing Economic Technological Development Area
Room 801-803
4A Biotech Co.,Ltd.
Tel +86 (0512) 65829739 传真 +86 (010) 6788 5057

Quick Overview for Cortactin 抗体 (Tyr466) (ABIN197532)

抗原

See all Cortactin (CTTN) 抗体
Cortactin (CTTN)

适用

  • 131
  • 68
  • 53
  • 5
  • 4
  • 2
  • 2
  • 2
  • 2
  • 2
  • 2
  • 1
  • 1
  • 1
小鼠

宿主

  • 132
  • 7
  • 1

克隆类型

  • 112
  • 28
多克隆

标记

  • 79
  • 8
  • 5
  • 5
  • 5
  • 5
  • 5
  • 5
  • 3
  • 3
  • 2
  • 2
  • 1
  • 1
  • 1
  • 1
  • 1
  • 1
  • 1
  • 1
  • 1
  • 1
  • 1
  • 1
  • 1
This Cortactin antibody is un-conjugated

应用范围

  • 104
  • 59
  • 46
  • 26
  • 21
  • 20
  • 14
  • 14
  • 14
  • 11
  • 5
  • 1
  • 1
  • 1
  • 1
  • 1
Western Blotting (WB), Immunohistochemistry (Paraffin-embedded Sections) (IHC (p))
  • 抗原表位

    • 15
    • 14
    • 13
    • 7
    • 7
    • 5
    • 5
    • 4
    • 3
    • 3
    • 3
    • 2
    • 2
    • 2
    • 2
    • 2
    • 2
    • 1
    • 1
    • 1
    • 1
    • 1
    • 1
    • 1
    • 1
    • 1
    • 1
    • 1
    • 1
    • 1
    • 1
    • 1
    • 1
    • 1
    • 1
    • 1
    • 1
    • 1
    Tyr466

    纯化方法

    The antibody was affinity-purified from rabbit antiserum by affinity-chromatography using epitope-specific immunogen.

    免疫原

    The antiserum was produced against synthesized non-phosphopeptide derived from mouse Cortactin around the phosphorylation site of tyrosine 466 (P-V-YP-E-T).
  • 应用备注

    Western Blot: 1: 500approx. 1: 1000. Immunohistochemistry: 1: 50-1: 100.
    Other applications not tested.
    Optimal dilutions are dependent on conditions and should be determined by the user.

    限制

    仅限研究用
  • 浓度

    1.0 mg/mL

    缓冲液

    PBS (without Mg2+ and Ca2+), pH 7.4 containing 150 mM NaCl, 0.02 % sodium azide and 50 % glycerol.

    储存液

    Sodium azide

    注意事项

    This product contains sodium azide: a POISONOUS AND HAZARDOUS SUBSTANCE which should be handled by trained staff only.

    注意事项

    Avoid repeated freezing and thawing.

    储存条件

    -20 °C
  • 抗原

    Cortactin (CTTN)

    别名

    Cortactin

    背景

    Cortactin is an 80/85 kDa cytoskeleton protein that facilitates assembly of cortical actin. Cortactin is widely expressed in most adherent cells and is a prominent substrate of protein tyrosine kinase Src in vivo and in vitro. The protein sequence of cortactin contains multiple amino terminal tandem repeats of a unique 37 amino acid sequence, which associates with actin, and a Src homology 3 (SH3) domain at the carboxyl terminus. Between the repeat and the SH3 domain, there is an alpha helical structure followed by a proline rich region. Between the proline rich region and the SH3 domain, there are a series of Src phosphorylation sites (Tyr421, Tyr470, and Tyr486). In vitro, cortactin binds to and cross links F actin into meshworks.Synonyms: Amplaxin, CTTN, EMS1, Oncogene EMS1

    基因ID

    10090

    UniProt

    Q60598

    途径

    MAPK Pathway
You are here: