电话:
+86 (0512) 65829739
传真:
+86 (010) 6788 5057
电子邮件:
orders@antibodies-online.cn

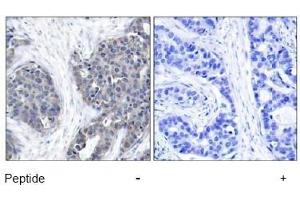
Stathmin 1 抗体 (Ser37)

The 兔 多克隆 anti-Stathmin 1 antibody is suitable to detect Stathmin 1 in samples from 人, 小鼠 和 大鼠. It has been validated for WB, IF 和 IHC (p).
产品编号 ABIN197456
发货至: 中国
Contact our Customer Service for availability and price in your country. Contact Info

Our Local Distributor

中国
北京 101111
No. 88 KeChuang 6th Street
Beijing Economic Technological Development Area
Room 801-803
4A Biotech Co.,Ltd.
Tel +86 (0512) 65829739 传真 +86 (010) 6788 5057

Quick Overview for Stathmin 1 抗体 (Ser37) (ABIN197456)

抗原

See all Stathmin 1 (STMN1) 抗体
Stathmin 1 (STMN1)

适用

  • 183
  • 119
  • 118
  • 17
  • 16
  • 12
  • 10
  • 10
  • 9
  • 7
  • 3
  • 3
  • 2
  • 2
  • 1
人, 小鼠, 大鼠

宿主

  • 177
  • 6
  • 1

克隆类型

  • 156
  • 27
多克隆

标记

  • 98
  • 9
  • 7
  • 7
  • 7
  • 7
  • 7
  • 7
  • 4
  • 3
  • 2
  • 2
  • 2
  • 2
  • 2
  • 2
  • 2
  • 2
  • 2
  • 2
  • 2
  • 1
  • 1
  • 1
  • 1
  • 1
  • 1
This Stathmin 1 antibody is un-conjugated

应用范围

  • 130
  • 77
  • 48
  • 46
  • 32
  • 28
  • 27
  • 21
  • 18
  • 13
  • 4
  • 3
  • 3
Western Blotting (WB), Immunofluorescence (IF), Immunohistochemistry (Paraffin-embedded Sections) (IHC (p))
  • 抗原表位

    • 28
    • 26
    • 21
    • 12
    • 10
    • 7
    • 5
    • 4
    • 4
    • 3
    • 3
    • 2
    • 2
    • 2
    • 2
    • 2
    • 2
    • 2
    • 2
    • 2
    • 2
    • 1
    • 1
    • 1
    • 1
    • 1
    • 1
    • 1
    • 1
    • 1
    • 1
    • 1
    • 1
    • 1
    • 1
    • 1
    • 1
    Ser37

    特异性

    This antibody AP02727PU detects endogenous levels of total Stathmin 1 protein.

    纯化方法

    Immunoaffinity Chromatography using epitope-specific immunogen.

    免疫原

    The antiserum was produced against synthesized non-phosphopeptide derived from Human Stathmin 1 around the phosphorylation site of serine 37 (P-L-SP-P-P).
  • 应用备注

    Western blot: 1/500-1/1000. Immunofluorescence: 1/100-1/200. Immunohistochemistry on Paraffin-Embedded Sections: 1/50-1/100.
    Other applications not tested.
    Optimal dilutions are dependent on conditions and should be determined by the user.

    限制

    仅限研究用
  • 浓度

    1.0 mg/mL

    缓冲液

    PBS (without Mg2+ and Ca2+), pH 7.4, 150 mM NaCl, 0.02 % Sodium Azide and 50 % Glycerol.

    储存液

    Sodium azide

    注意事项

    This product contains sodium azide: a POISONOUS AND HAZARDOUS SUBSTANCE which should be handled by trained staff only.

    注意事项

    Avoid repeated freezing and thawing.

    储存条件

    -20 °C
  • 抗原

    Stathmin 1 (STMN1)

    别名

    Stathmin / STMN1

    背景

    Synonyms: LAP18, Leukemia-associated phosphoprotein p18, Metablastin, OP18, Oncoprotein 18, Op18, Phosphoprotein p19, Prosolin, Protein Pr22, pp17, pp19

    基因ID

    3925

    NCBI登录号

    NP_001138926

    UniProt

    P16949

    途径

    MAPK Pathway, Microtubule Dynamics
You are here: