电话:
+86 (0512) 65829739
传真:
+86 (010) 6788 5057
电子邮件:
orders@antibodies-online.cn

STAT3 抗体 (pTyr705)

This anti-STAT3 antibody is a 兔 多克隆 antibody detecting STAT3 in WB 和 IHC (p). Suitable for 人 和 小鼠. This Primary Antibody has been cited in 9+ publications.
产品编号 ABIN196691
发货至: 中国

Quick Overview for STAT3 抗体 (pTyr705) (ABIN196691)

抗原

See all STAT3 抗体
STAT3 (Signal Transducer and Activator of Transcription 3 (Acute-Phase Response Factor) (STAT3))

适用

  • 306
  • 146
  • 140
  • 40
  • 26
  • 25
  • 22
  • 15
  • 14
  • 7
  • 4
  • 4
  • 3
  • 3
  • 2
  • 2
  • 1
人, 小鼠

宿主

  • 234
  • 87
  • 4
  • 2
  • 1
  • 1

克隆类型

  • 199
  • 128
多克隆

标记

  • 194
  • 21
  • 15
  • 10
  • 7
  • 6
  • 4
  • 4
  • 4
  • 4
  • 4
  • 4
  • 3
  • 3
  • 3
  • 3
  • 3
  • 3
  • 3
  • 3
  • 3
  • 3
  • 3
  • 2
  • 2
  • 2
  • 2
  • 2
  • 2
  • 2
  • 2
  • 2
  • 1
This STAT3 antibody is un-conjugated

应用范围

  • 238
  • 125
  • 105
  • 83
  • 56
  • 47
  • 43
  • 41
  • 33
  • 27
  • 15
  • 11
  • 8
  • 7
  • 5
  • 3
  • 3
  • 2
  • 1
  • 1
  • 1
  • 1
  • 1
Western Blotting (WB), Immunohistochemistry (Paraffin-embedded Sections) (IHC (p))
  • 抗原表位

    • 81
    • 50
    • 23
    • 10
    • 8
    • 6
    • 5
    • 4
    • 4
    • 4
    • 4
    • 3
    • 3
    • 3
    • 3
    • 3
    • 3
    • 3
    • 2
    • 2
    • 2
    • 2
    • 2
    • 2
    • 2
    • 2
    • 2
    • 1
    • 1
    • 1
    • 1
    • 1
    • 1
    • 1
    • 1
    • 1
    • 1
    • 1
    • 1
    • 1
    • 1
    • 1
    • 1
    • 1
    • 1
    • 1
    • 1
    • 1
    • 1
    • 1
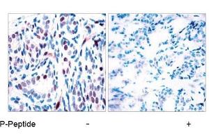
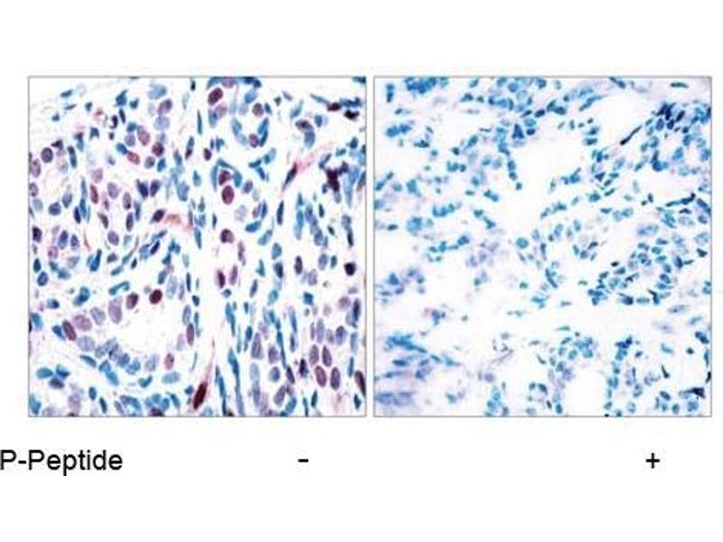
    pTyr705

    特异性

    The antibody was affinity-purified from rabbit antiserum by affinity-chromatography using epitope-specific phosphopeptide. The antibody against non-phosphopeptide was removed by chromatography using non-phosphopeptide corresponding to the phosphorylation site. STAT3 (phospho-Tyr705) antibody detects endogenous levels of STAT3 only when phosphorylated at tyrosine 705.

    纯化方法

    Immunoaffinity chromatography.

    免疫原

    The antiserum was produced against synthesized phosphopeptide derived from human STAT3 around the phosphorylation site of tyrosine 705 (A-P-YP-L-K).
  • 应用备注

    Suitable for use in Western blot (1: 500approx. 1: 1000) and Immunohistochemistry (1: 50approx. 1: 100).
    Other applications not tested.
    Optimal dilutions are dependent on conditions and should be determined by the user.

    限制

    仅限研究用
  • 浓度

    1.0 mg/mL

    缓冲液

    Phosphate buffered saline (without Mg2+ and Ca2+), pH 7.4, 150 mM NaCl, 0.02 % Sodium Azide and 50 % glycerol.

    储存液

    Sodium azide

    注意事项

    This product contains sodium azide: a POISONOUS AND HAZARDOUS SUBSTANCE which should be handled by trained staff only.

    注意事项

    Avoid repeated freezing and thawing.

    储存条件

    -20 °C

    储存方法

    Store the antibody (in aliquots) at -20 °C.
  • Mpousis, Thysiadis, Avramidis, Katsamakas, Efthimiopoulos, Sarli: "Synthesis and evaluation of gallocyanine dyes as potential agents for the treatment of Alzheimer's disease and related neurodegenerative tauopathies." in: European journal of medicinal chemistry, Vol. 108, pp. 28-38, (2016) (PubMed).

    Sangaletti, Tripodo, Sandri, Torselli, Vitali, Ratti, Botti, Burocchi, Porcasi, Tomirotti, Colombo, Chiodoni: "Osteopontin shapes immunosuppression in the metastatic niche." in: Cancer research, Vol. 74, Issue 17, pp. 4706-19, (2015) (PubMed).

    Ma, Li, Wang, Gong, Zhang, Li, Ji, Liu, Chen, Xiang: "Atrial natriuretic peptide suppresses Th17 development through regulation of cGMP-dependent protein kinase and PI3K-Akt signaling pathways." in: Regulatory peptides, Vol. 181, pp. 9-16, (2013) (PubMed).

    Wang, Peng-Jiao, Yang, Chuang-Yuan, Zhao, Liu, Fei, Zhang: "PF-04691502 triggers cell cycle arrest, apoptosis and inhibits the angiogenesis in hepatocellular carcinoma cells." in: Toxicology letters, Vol. 220, Issue 2, pp. 150-6, (2013) (PubMed).

    García-Prieto, González-López, Cabrera, Astudillo, Gutiérrez-Fernández, Fanjul-Fernandez, Batalla-Solís, Puente, Fueyo, López-Otín, Albaiceta: "Resistance to bleomycin-induced lung fibrosis in MMP-8 deficient mice is mediated by interleukin-10." in: PLoS ONE, Vol. 5, Issue 10, pp. e13242, (2010) (PubMed).

    Takeichi, Sugiura, Muro, Matsumoto, Ogawa, Futamura, Kaminuma, Hashimoto, Shimoyama, Saito, Tomita: "Overexpression of LEDGF/DFS70 induces IL-6 via p38 activation in HaCaT cells, similar to that seen in the psoriatic condition." in: The Journal of investigative dermatology, Vol. 130, Issue 12, pp. 2760-7, (2010) (PubMed).

    Zhang, Zhao, Xin: "Significance and relationship between Cripto-1 and p-STAT3 expression in gastric cancer and precancerous lesions." in: World journal of gastroenterology : WJG, Vol. 16, Issue 5, pp. 571-7, (2010) (PubMed).

    Yuan, Qian, Shi, Lu, Li, Hu, Yu, Shen, Guo: "HER2-dependent MMP-7 expression is mediated by activated STAT3." in: Cellular signalling, Vol. 20, Issue 7, pp. 1284-91, (2008) (PubMed).

    Yamaguchi, Zhu, Yu, Sasaki, Umetsu, Kidachi, Ryoyama: "Low-level bisphenol A increases production of glial fibrillary acidic protein in differentiating astrocyte progenitor cells through excessive STAT3 and Smad1 activation." in: Toxicology, Vol. 226, Issue 2-3, pp. 131-42, (2006) (PubMed).

  • 抗原

    STAT3 (Signal Transducer and Activator of Transcription 3 (Acute-Phase Response Factor) (STAT3))

    别名

    STAT3

    背景

    Synonyms: APRF, Acute-phase response factor, STAT-3, Signal transducer and activator of transcription 3

    基因ID

    6774

    NCBI登录号

    NP_003141

    UniProt

    P40763

    途径

    JAK/STAT Signaling, RTK signaling, Interferon-gamma Pathway, Neurotrophin Signaling Pathway, Dopaminergic Neurogenesis, Response to Growth Hormone Stimulus, Carbohydrate Homeostasis, Stem Cell Maintenance, Hepatitis C, Protein targeting to Nucleus, Feeding Behaviour, CXCR4-mediated Signaling Events, Signaling of Hepatocyte Growth Factor Receptor
You are here:
Chat with us!