电话:
+86 (0512) 65829739
传真:
+86 (010) 6788 5057
电子邮件:
orders@antibodies-online.cn

ATG4B 抗体

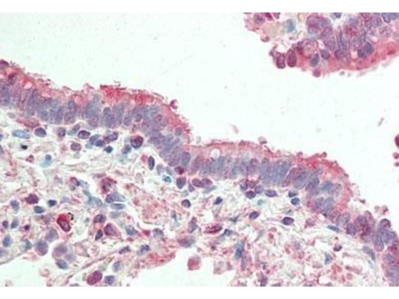
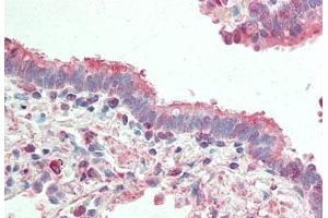
The 小鼠 单克隆 anti-ATG4B antibody (ABIN1959903) specifically detects ATG4B in WB, IHC 和 IHC (p). The antibody is reactive with 人 samples.
产品编号 ABIN1959903
发货至: 中国
Contact our Customer Service for availability and price in your country. Contact Info

Our Local Distributor

中国
北京 101111
No. 88 KeChuang 6th Street
Beijing Economic Technological Development Area
Room 801-803
4A Biotech Co.,Ltd.
Tel +86 (0512) 65829739 传真 +86 (010) 6788 5057

Quick Overview for ATG4B 抗体 (ABIN1959903)

抗原

See all ATG4B 抗体
ATG4B (Autophagy related 4B Cysteine Peptidase (ATG4B))

适用

  • 100
  • 55
  • 41
  • 8
  • 7
  • 6
  • 6
  • 5
  • 5
  • 4
  • 3
  • 3
  • 3
  • 2
  • 1
  • 1

宿主

  • 96
  • 6
小鼠

克隆类型

  • 80
  • 22
单克隆

标记

  • 57
  • 6
  • 5
  • 4
  • 3
  • 2
  • 2
  • 2
  • 2
  • 2
  • 2
  • 2
  • 1
  • 1
  • 1
  • 1
  • 1
  • 1
  • 1
  • 1
  • 1
  • 1
  • 1
  • 1
  • 1
This ATG4B antibody is un-conjugated

应用范围

  • 76
  • 34
  • 24
  • 14
  • 14
  • 13
  • 13
  • 10
  • 10
  • 3
  • 3
  • 2
  • 1
Western Blotting (WB), Immunohistochemistry (IHC), Immunohistochemistry (Paraffin-embedded Sections) (IHC (p))
You are here: