电话:
+86 (0512) 65829739
传真:
+86 (010) 6788 5057
电子邮件:
orders@antibodies-online.cn

HRH1 抗体 (Internal Region)

The 山羊 多克隆 anti-HRH1 antibody is suitable to detect HRH1 in samples from 人. It has been validated for ELISA, WB 和 IHC.
产品编号 ABIN190832
发货至: 中国
Contact our Customer Service for availability and price in your country. Contact Info

Our Local Distributor

中国
北京 101111
No. 88 KeChuang 6th Street
Beijing Economic Technological Development Area
Room 801-803
4A Biotech Co.,Ltd.
Tel +86 (0512) 65829739 传真 +86 (010) 6788 5057

Quick Overview for HRH1 抗体 (Internal Region) (ABIN190832)

抗原

See all HRH1 抗体
HRH1 (Histamine Receptor H1 (HRH1))

适用

  • 66
  • 13
  • 11
  • 4
  • 4
  • 4
  • 1

宿主

  • 65
  • 6
  • 1
山羊

克隆类型

  • 66
  • 6
多克隆

标记

  • 33
  • 6
  • 5
  • 3
  • 3
  • 2
  • 1
  • 1
  • 1
  • 1
  • 1
  • 1
  • 1
  • 1
  • 1
  • 1
  • 1
  • 1
  • 1
  • 1
  • 1
  • 1
  • 1
  • 1
  • 1
  • 1
This HRH1 antibody is un-conjugated

应用范围

  • 47
  • 28
  • 24
  • 17
  • 17
  • 14
  • 14
  • 9
  • 4
  • 1
  • 1
  • 1
  • 1
  • 1
ELISA, Western Blotting (WB), Immunohistochemistry (IHC)

质量等级

Verified
  • 抗原表位

    • 16
    • 13
    • 7
    • 5
    • 5
    • 4
    • 3
    • 2
    • 2
    • 2
    • 2
    • 2
    • 1
    • 1
    • 1
    • 1
    • 1
    • 1
    • 1
    • 1
    • 1
    • 1
    • 1
    • 1
    Internal Region

    原理

    Histamine receptor H1(internal)

    序列

    QQTSVRREDK CETD

    交叉反应

    纯化方法

    Purified from goat serum by ammonium sulphate precipitation followed by antigen affinity chromatography using the immunizing peptide.

    免疫原

    Peptide with sequence QQTSVRREDKCETD, from the internal region of the protein sequence according to NP_000852.1.

    亚型

    IgG
  • 应用备注

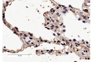
    Immunohistochemistry: In paraffin embedded Human Lung shows membranous staining of epitheilial cells in tertiar bronchus and in alveoli. Recommended concentration, 2-4 μg/mL.

    Western Blot: Approx 55 kDa band observed in Human Heart lysates (calculated MW of 55.8 kDa according to NP_000852.1). Recommended concentration: 0.5-1.5 μg/mL.

    Peptide ELISA: antibody detection limit dilution 1:16000.

    限制

    仅限研究用
  • 状态

    Liquid

    浓度

    0.5 mg/mL

    缓冲液

    Supplied at 0.5 mg/mL in Tris saline, 0.02 % sodium azide, pH 7.3 with 0.5 % bovine serum albumin.

    储存液

    Sodium azide

    注意事项

    This product contains Sodium azide: a POISONOUS AND HAZARDOUS SUBSTANCE which should be handled by trained staff only.

    注意事项

    Minimize freezing and thawing.

    储存条件

    -20 °C

    储存方法

    Aliquot and store at -20°C, with minimal freeze/thawing. A working aliquot may be refrigerated at 4°C for a few weeks and still remain viable.
  • 抗原

    HRH1 (Histamine Receptor H1 (HRH1))

    别名

    HRH1

    背景

    Histamine receptor H1, H1-R, HRH1, hisH1 , histamine receptor, subclass H1

    基因ID

    3269

    NCBI登录号

    NP_000852

    途径

    Regulation of Carbohydrate Metabolic Process
You are here: