电话:
+86 (0512) 65829739
传真:
+86 (010) 6788 5057
电子邮件:
orders@antibodies-online.cn

TIA1 抗体 (Internal Region)

The 山羊 多克隆 anti-TIA1 antibody is suitable to detect TIA1 in samples from 人. It has been validated for WB, IF, IHC 和 ELISA.
产品编号 ABIN190808
发货至: 中国
Contact our Customer Service for availability and price in your country. Contact Info

Our Local Distributor

中国
北京 101111
No. 88 KeChuang 6th Street
Beijing Economic Technological Development Area
Room 801-803
4A Biotech Co.,Ltd.
Tel +86 (0512) 65829739 传真 +86 (010) 6788 5057

Quick Overview for TIA1 抗体 (Internal Region) (ABIN190808)

抗原

See all TIA1 抗体
TIA1 (TIA1 Cytotoxic Granule-Associated RNA Binding Protein (TIA1))

适用

  • 88
  • 40
  • 30
  • 5
  • 5
  • 5
  • 4
  • 3
  • 2
  • 1
  • 1
  • 1

宿主

  • 71
  • 17
山羊

克隆类型

  • 50
  • 38
多克隆

标记

  • 40
  • 6
  • 3
  • 3
  • 3
  • 3
  • 3
  • 3
  • 3
  • 1
  • 1
  • 1
  • 1
  • 1
  • 1
  • 1
  • 1
  • 1
  • 1
  • 1
  • 1
  • 1
  • 1
  • 1
  • 1
  • 1
  • 1
  • 1
  • 1
  • 1
This TIA1 antibody is un-conjugated

应用范围

  • 55
  • 30
  • 26
  • 18
  • 17
  • 15
  • 14
  • 13
  • 13
  • 6
  • 5
  • 3
  • 1
Western Blotting (WB), Immunofluorescence (IF), Immunohistochemistry (IHC), ELISA

质量等级

Verified
  • 抗原表位

    • 15
    • 10
    • 5
    • 4
    • 3
    • 2
    • 2
    • 2
    • 2
    • 2
    • 2
    • 1
    • 1
    • 1
    • 1
    • 1
    Internal Region

    原理

    TIA1

    序列

    PKSTYESNTK Q

    特异性

    This antibody is expected to recognise both reported isoforms (NP_071320.1 and NP_071505.1).

    交叉反应

    犬, 人, 小鼠, 大鼠

    纯化方法

    Purified from goat serum by ammonium sulphate precipitation followed by antigen affinity chromatography using the immunizing peptide.

    免疫原

    Peptide with sequence C-PKSTYESNTKQ, from the internal region of the protein sequence according to NP_071320.1, NP_071505.1.

    亚型

    IgG
  • 应用备注

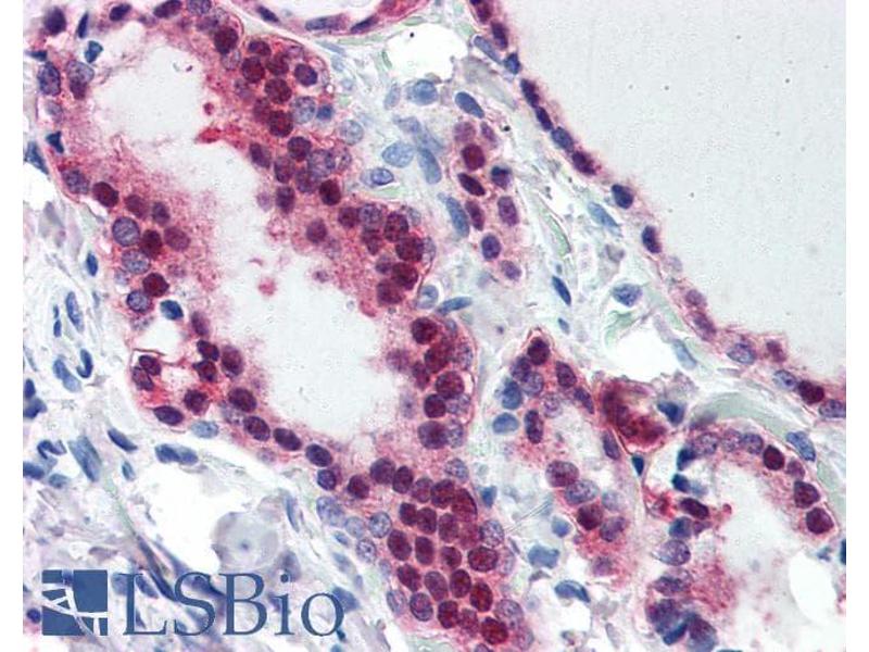
    Immunohistochemistry: Paraffin embedded Human Thyroid. Recommended concentration: 3.75 μg/mL.

    Western Blot: Approx 40 kDa band observed in lysates of cell line Jurkat (calculated MW of 41.8 kDa according to NP_071320.1). Recommended concentration: 0.1-0.3 μg/mL. Primary incubation was 1 hour. An additional band at 80 kDa and a very strong 26 kDa is a

    Peptide ELISA: antibody detection limit dilution 1:128000.

    说明

    Immunofluorescence: Strong expression of the protein seen in the nucleus and cytoplasm of HeLa cells. Recommended concentration: 5μg/ml.

    限制

    仅限研究用
  • 状态

    Liquid

    浓度

    0.5 mg/mL

    缓冲液

    Supplied at 0.5 mg/mL in Tris saline, 0.02 % sodium azide, pH 7.3 with 0.5 % bovine serum albumin.

    储存液

    Sodium azide

    注意事项

    This product contains Sodium azide: a POISONOUS AND HAZARDOUS SUBSTANCE which should be handled by trained staff only.

    注意事项

    Minimize freezing and thawing.

    储存条件

    -20 °C

    储存方法

    Aliquot and store at -20°C, with minimal freeze/thawing. A working aliquot may be refrigerated at 4°C for a few weeks and still remain viable.
  • 抗原

    TIA1 (TIA1 Cytotoxic Granule-Associated RNA Binding Protein (TIA1))

    别名

    TIA1

    背景

    TIA1, TIA1 cytotoxic granule-associated RNA binding protein , TIA1 cytotoxic granule-associated RNA-binding protein, TIA1 protein, cytotoxic granule-associated RNA-binding protein, p40-TIA-1 (containing p15-TIA-1)

    基因ID

    7072, 21841, 312510

    NCBI登录号

    NP_071320, NP_071505
You are here: