电话:
+86 (0512) 65829739
传真:
+86 (010) 6788 5057
电子邮件:
orders@antibodies-online.cn

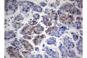
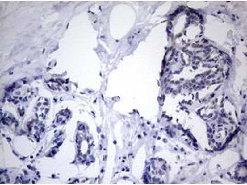
TIA1 抗体

This 小鼠 单克隆 antibody specifically detects TIA1 in WB, IHC 和 IHC (p). It exhibits reactivity toward 人.
产品编号 ABIN1501387
发货至: 中国
Contact our Customer Service for availability and price in your country. Contact Info

Our Local Distributor

中国
北京 101111
No. 88 KeChuang 6th Street
Beijing Economic Technological Development Area
Room 801-803
4A Biotech Co.,Ltd.
Tel +86 (0512) 65829739 传真 +86 (010) 6788 5057

Quick Overview for TIA1 抗体 (ABIN1501387)

抗原

See all TIA1 抗体
TIA1 (TIA1 Cytotoxic Granule-Associated RNA Binding Protein (TIA1))

适用

  • 88
  • 40
  • 30
  • 5
  • 5
  • 5
  • 4
  • 3
  • 2
  • 1
  • 1
  • 1

宿主

  • 71
  • 16
  • 1
小鼠

克隆类型

  • 51
  • 37
单克隆

标记

  • 40
  • 6
  • 3
  • 3
  • 3
  • 3
  • 3
  • 3
  • 3
  • 1
  • 1
  • 1
  • 1
  • 1
  • 1
  • 1
  • 1
  • 1
  • 1
  • 1
  • 1
  • 1
  • 1
  • 1
  • 1
  • 1
  • 1
  • 1
  • 1
  • 1
This TIA1 antibody is un-conjugated

应用范围

  • 55
  • 31
  • 26
  • 18
  • 18
  • 15
  • 14
  • 13
  • 13
  • 6
  • 4
  • 3
  • 1
Western Blotting (WB), Immunohistochemistry (IHC), Immunohistochemistry (Paraffin-embedded Sections) (IHC (p))

克隆位点

1D7
You are here: