电话:
+86 (0512) 65829739
传真:
+86 (010) 6788 5057
电子邮件:
orders@antibodies-online.cn

CCR6 抗体 (AA 1-374)

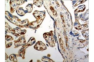
The 小鼠 单克隆 anti-CCR6 antibody is suitable to detect CCR6 in samples from 人. It has been validated for FACS 和 IHC.
产品编号 ABIN1889540
发货至: 中国
Contact our Customer Service for availability and price in your country. Contact Info

Our Local Distributor

中国
北京 101111
No. 88 KeChuang 6th Street
Beijing Economic Technological Development Area
Room 801-803
4A Biotech Co.,Ltd.
Tel +86 (0512) 65829739 传真 +86 (010) 6788 5057

Quick Overview for CCR6 抗体 (AA 1-374) (ABIN1889540)

抗原

See all CCR6 抗体
CCR6 (Chemokine (C-C Motif) Receptor 6 (CCR6))

适用

  • 69
  • 14
  • 10
  • 3
  • 1

宿主

  • 41
  • 23
  • 6
  • 2
  • 1
小鼠

克隆类型

  • 39
  • 30
  • 2
单克隆

标记

  • 35
  • 8
  • 5
  • 3
  • 2
  • 2
  • 2
  • 2
  • 1
  • 1
  • 1
  • 1
  • 1
  • 1
  • 1
  • 1
  • 1
  • 1
  • 1
  • 1
This CCR6 antibody is un-conjugated

应用范围

  • 24
  • 23
  • 21
  • 12
  • 10
  • 5
Flow Cytometry (FACS), Immunohistochemistry (IHC)

克隆位点

MM0066-3L1
You are here: