电话:
+86 (0512) 65829739
传真:
+86 (010) 6788 5057
电子邮件:
orders@antibodies-online.cn

YY1 抗体

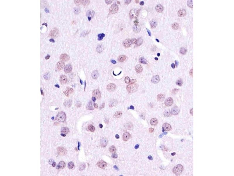
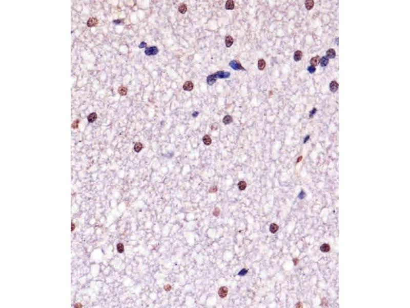
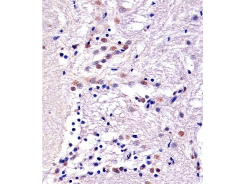
There are 4+ publications for this product available. The 小鼠 单克隆 anti-YY1 antibody is suitable to detect YY1 in samples from 人, 大鼠, 斑马鱼 和 Cynomolgus. It has been validated for WB 和 IHC (p).
产品编号 ABIN1882292
发货至: 中国
Contact our Customer Service for availability and price in your country. Contact Info

Our Local Distributor

中国
北京 101111
No. 88 KeChuang 6th Street
Beijing Economic Technological Development Area
Room 801-803
4A Biotech Co.,Ltd.
Tel +86 (0512) 65829739 传真 +86 (010) 6788 5057

Quick Overview for YY1 抗体 (ABIN1882292)

抗原

See all YY1 抗体
YY1 (YY1 Transcription Factor (YY1))

适用

  • 104
  • 57
  • 40
  • 7
  • 6
  • 6
  • 5
  • 4
  • 4
  • 3
  • 2
  • 2
  • 2
  • 1
  • 1
人, 大鼠, 斑马鱼, Cynomolgus

宿主

  • 87
  • 17
  • 1
小鼠

克隆类型

  • 66
  • 39
单克隆

标记

  • 67
  • 6
  • 3
  • 3
  • 3
  • 3
  • 3
  • 3
  • 3
  • 3
  • 3
  • 3
  • 1
  • 1
This YY1 antibody is un-conjugated

应用范围

  • 88
  • 40
  • 33
  • 22
  • 20
  • 15
  • 12
  • 8
  • 3
  • 2
  • 1
  • 1
  • 1
  • 1
  • 1
  • 1
  • 1
  • 1
  • 1
Western Blotting (WB), Immunohistochemistry (Paraffin-embedded Sections) (IHC (p))

克隆位点

1183CT6-5-23-6
  • 纯化方法

    This antibody is purified through a protein G column, followed by dialysis against PBS.

    免疫原

    Purified His-tagged YY1 protein was used to produced this monoclonal antibody.

    亚型

    IgG2a
  • 应用备注

    WB: 1:500-1:1000. WB: 1:1000. IHC-P: 1:25. IHC-P: 1:25. IHC-P: 1:25

    限制

    仅限研究用
  • 状态

    Liquid

    缓冲液

    Purified monoclonal antibody supplied in PBS with 0.09 % (W/V) sodium azide.

    储存液

    Sodium azide

    注意事项

    This product contains Sodium azide: a POISONOUS AND HAZARDOUS SUBSTANCE which should be handled by trained staff only.

    储存条件

    4 °C,-20 °C

    有效期

    6 months
  • Fernando, Contreras, Zampini, Rodriguez-Malave, Alberti, Anguiano, Tran, Palanichamy, Gajeton, Ung, Aros, Waters, Casero, Basso, Pigazzi, Rao: "The lncRNA CASC15 regulates SOX4 expression in RUNX1-rearranged acute leukemia." in: Molecular cancer, Vol. 16, Issue 1, pp. 126, (2018) (PubMed).

    Burkard, Planyavsky, Kaupe, Breitwieser, Bürckstümmer, Bennett, Superti-Furga, Colinge: "Initial characterization of the human central proteome." in: BMC systems biology, Vol. 5, pp. 17, (2011) (PubMed).

    Chen, Cai, Jin, Florens, Swanson, Washburn, Conaway, Conaway: "Subunit organization of the human INO80 chromatin remodeling complex: an evolutionarily conserved core complex catalyzes ATP-dependent nucleosome remodeling." in: The Journal of biological chemistry, Vol. 286, Issue 13, pp. 11283-9, (2011) (PubMed).

    Kim, Kim: "YY1's longer DNA-binding motifs." in: Genomics, Vol. 93, Issue 2, pp. 152-8, (2009) (PubMed).

  • 抗原

    YY1 (YY1 Transcription Factor (YY1))

    别名

    YY1

    背景

    Multifunctional transcription factor that exhibits positive and negative control on a large number of cellular and viral genes by binding to sites overlapping the transcription start site. Binds to the consensus sequence 5'-CCGCCATNTT-3', some genes have been shown to contain a longer binding motif allowing enhanced binding, the initial CG dinucleotide can be methylated greatly reducing the binding affinity. The effect on transcription regulation is depending upon the context in which it binds and diverse mechanisms of action include direct activation or repression, indirect activation or repression via cofactor recruitment, or activation or repression by disruption of binding sites or conformational DNA changes. Its activity is regulated by transcription factors and cytoplasmic proteins that have been shown to abrogate or completely inhibit YY1-mediated activation or repression. For example, it acts as a repressor in absence of adenovirus E1A protein but as an activator in its presence. May play an important role in development and differentiation. Proposed to recruit the PRC2/EED-EZH2 complex to target genes that are transcriptional repressed. Involved in DNA repair. In vitro, binds to DNA recombination intermediate structures (Holliday junctions). Proposed core component of the chromatin remodeling INO80 complex which is involved in transcriptional regulation, DNA replication and probably DNA repair, proposed to target the INO80 complex to YY1-responsive elements.

    分子量

    44713

    NCBI登录号

    NP_003394

    UniProt

    P25490
You are here: