RFNG 抗体 (AA 68-312)
Our Local Distributor
北京 101111
Quick Overview for RFNG 抗体 (AA 68-312) (ABIN1860440)
抗原
适用
宿主
克隆类型
标记
应用范围
-
-
抗原表位
- AA 68-312
-
原理
- Polyclonal Antibody to O-Fucosylpeptide-3-Beta-N-Acetylglucosaminyltransferase (RFNG)
-
特异性
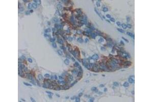
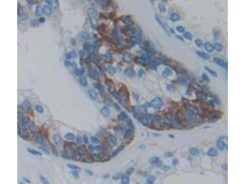
- The antibody is a rabbit polyclonal antibody raised against RFNG. It has been selected for its ability to recognize RFNG in immunohistochemical staining and western blotting.
-
交叉反应
- 小鼠
-
纯化方法
- Antigen-specific affinity chromatography followed by Protein A affinity chromatography
-
免疫原
- RFNG (Lys68-Val312)
-
亚型
- IgG
-
-
-
-
应用备注
- Western blotting: 0.2-2 μg/mL,1:250-2500 Immunohistochemistry: 5-20 μg/mL,1:25-100 Immunocytochemistry: 5-20 μg/mL,1:25-100 Optimal working dilutions must be determined by end user.
-
说明
-
The thermal stability is described by the loss rate. The loss rate was determined by accelerated thermal degradation test, that is, incubate the protein at 37°C for 48h, and no obvious degradation and precipitation were observed. The loss rate is less than 5% within the expiration date under appropriate storage condition.
-
限制
- 仅限研究用
-
-
-
状态
- Liquid
-
浓度
- 500 μg/mL
-
缓冲液
- PBS, pH 7.4, containing 0.01 % SKL, 1 mM DTT, 5 % Trehalose and Proclin300.
-
储存液
- Dithiothreitol (DTT), ProClin
-
注意事项
- WARNING: Reagents contain sodium azide. Sodium azide is very toxic if ingested or inhaled. Avoid contact with skin, eyes, or clothing. Wear eye or face protection when handling. If skin or eye contact occurs, wash with copious amounts of water. If ingested or inhaled, contact a physician immediately. Sodium azide yields toxic hydrazoic acid under acidic conditions. Dilute azide-containing compounds in running water before discarding to avoid accumulation of potentially explosive deposits in lead or copper plumbing.
-
注意事项
- Avoid repeated freeze-thaw cycles.
-
储存条件
- 4 °C,-20 °C
-
储存方法
- Store at 4°C for frequent use. Stored at -20°C in a manual defrost freezer for two year without detectable loss of activity. Avoid repeated freeze-thaw cycles.
-
有效期
- 12 months
-
-
- RFNG (RFNG O-Fucosylpeptide 3-beta-N-Acetylglucosaminyltransferase (RFNG))
-
别名
- RFNG
-
背景
- Radical Fringe Homolog, Beta-1,3-N-acetylglucosaminyltransferase radical fringe
-
途径
- Notch Signaling
抗原
-