电话:
+86 (0512) 65829739
传真:
+86 (010) 6788 5057
电子邮件:
orders@antibodies-online.cn

DARC 抗体 (N-Term)

The 山羊 多克隆 anti-DARC antibody is suitable to detect DARC in samples from 人. It has been validated for WB, ELISA, IHC 和 FACS.
产品编号 ABIN185480
发货至: 中国
Contact our Customer Service for availability and price in your country. Contact Info

Our Local Distributor

中国
北京 101111
No. 88 KeChuang 6th Street
Beijing Economic Technological Development Area
Room 801-803
4A Biotech Co.,Ltd.
Tel +86 (0512) 65829739 传真 +86 (010) 6788 5057

Quick Overview for DARC 抗体 (N-Term) (ABIN185480)

抗原

See all DARC 抗体
DARC (Duffy Blood Group, Chemokine Receptor (DARC))

适用

  • 53
  • 21
  • 6

宿主

  • 41
  • 12
  • 2
  • 1
山羊

克隆类型

  • 32
  • 23
  • 1
多克隆

标记

  • 30
  • 5
  • 4
  • 3
  • 3
  • 2
  • 1
  • 1
  • 1
  • 1
  • 1
  • 1
  • 1
  • 1
  • 1
This DARC antibody is un-conjugated

应用范围

  • 35
  • 24
  • 20
  • 18
  • 14
  • 13
  • 12
  • 6
  • 3
  • 2
  • 1
Western Blotting (WB), ELISA, Immunohistochemistry (IHC), Flow Cytometry (FACS)

质量等级

Verified
  • 抗原表位

    • 8
    • 8
    • 6
    • 4
    • 2
    • 2
    • 2
    • 1
    • 1
    • 1
    • 1
    • 1
    N-Term

    原理

    Duffy / FY / DARC

    序列

    HRAELSPSTE NSSQLDFED

    特异性

    This antibody is expected to recognize both reported isoforms (NP_001116423.1, NP_002027.2).

    交叉反应

    纯化方法

    Purified from goat serum by ammonium sulphate precipitation followed by antigen affinity chromatography using the immunizing peptide.

    免疫原

    Peptide with sequence HRAELSPSTENSSQLDFED-C, from the N Terminus of the protein sequence according to NP_001116423.1, NP_002027.2.

    亚型

    IgG
  • 应用备注

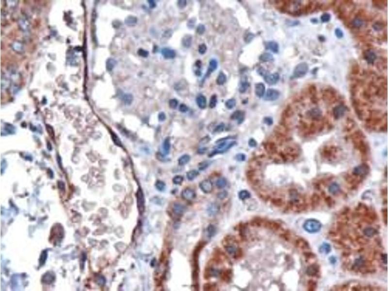
    Immunohistochemistry: In paraffin embedded Human Kidney stains epithelial cells of renal tubules and endothelial cells of vessels. The granular staining is compatible with the endoplasmic reticulum association of the protein. Recommended concentration: 3

    Western Blot: Approx 37 kDa band observed in Human Liver lysates (calculated MW of 35.6 kDa according to NP_002027.2). Recommended concentration: 0.3-1 μg/mL. Primary incubation was 1 hour.

    Peptide ELISA: antibody detection limit dilution 1:16000.

    说明

    Flow cytometry: Flow cytometric analysis of HEK293 cells. Recommended concentration: 10ug/ml. A customer has reported successful staining of HEK293S-TetR transfected with DARC receptor at a dilution of 1/1000.

    限制

    仅限研究用
  • 状态

    Liquid

    浓度

    0.5 mg/mL

    缓冲液

    Supplied at 0.5 mg/mL in Tris saline, 0.02 % sodium azide, pH 7.3 with 0.5 % bovine serum albumin.

    储存液

    Sodium azide

    注意事项

    This product contains Sodium azide: a POISONOUS AND HAZARDOUS SUBSTANCE which should be handled by trained staff only.

    注意事项

    Minimize freezing and thawing.

    储存条件

    -20 °C

    储存方法

    Aliquot and store at -20°C, with minimal freeze/thawing. A working aliquot may be refrigerated at 4°C for a few weeks and still remain viable.
  • 抗原

    DARC (Duffy Blood Group, Chemokine Receptor (DARC))

    别名

    ACKR1

    背景

    FY, DARC, HGNC:4035, Duffy blood group, CCBP1, GPD, CTA-134P22.3, CD234, FY, OTTHUMP00000060081, Duffy blood group, chemokine receptor, Duffy blood group antigen, Glycoprotein D, Dfy, GpFy, WBCQ1, Fy glycoprotein, OTTHUMP00000035293, OTTHUMP00000035294

    基因ID

    2532

    NCBI登录号

    NP_001116423, NP_002027
You are here: