电话:
+86 (0512) 65829739
传真:
+86 (010) 6788 5057
电子邮件:
orders@antibodies-online.cn

HMGA1 抗体 (Internal Region)

This 山羊 多克隆 antibody specifically detects HMGA1 in IHC 和 ELISA. It exhibits reactivity toward 人.It has been mentioned in 1 publication
产品编号 ABIN185443
发货至: 中国
Contact our Customer Service for availability and price in your country. Contact Info

Our Local Distributor

中国
北京 101111
No. 88 KeChuang 6th Street
Beijing Economic Technological Development Area
Room 801-803
4A Biotech Co.,Ltd.
Tel +86 (0512) 65829739 传真 +86 (010) 6788 5057

Quick Overview for HMGA1 抗体 (Internal Region) (ABIN185443)

抗原

See all HMGA1 抗体
HMGA1 (High Mobility Group AT-Hook 1 (HMGA1))

适用

  • 65
  • 50
  • 34
  • 5
  • 4
  • 4
  • 3
  • 3
  • 3
  • 2
  • 1
  • 1
  • 1
  • 1
  • 1
  • 1

宿主

  • 68
  • 9
  • 2
  • 1
山羊

克隆类型

  • 60
  • 20
多克隆

标记

  • 38
  • 12
  • 4
  • 2
  • 2
  • 2
  • 2
  • 2
  • 2
  • 1
  • 1
  • 1
  • 1
  • 1
  • 1
  • 1
  • 1
  • 1
  • 1
  • 1
  • 1
  • 1
  • 1
This HMGA1 antibody is un-conjugated

应用范围

  • 72
  • 33
  • 23
  • 22
  • 15
  • 14
  • 13
  • 13
  • 10
  • 5
  • 4
  • 3
  • 1
  • 1
  • 1
Immunohistochemistry (IHC), ELISA

质量等级

Verified
  • 抗原表位

    • 15
    • 9
    • 4
    • 4
    • 4
    • 3
    • 3
    • 2
    • 1
    • 1
    • 1
    • 1
    • 1
    Internal Region

    原理

    HMGA1

    序列

    LASKQEKDGT EK

    特异性

    This antibody is expected to recognise isoform a (also called HMG-I, NP_665906.1, NP_665908.1) and isoform b (also called HMG-Y, NP_002122.1, NP_665909.1, NP_665910.1, NP_665912.1).

    交叉反应

    Cow, 犬, 人, 小鼠, Pig, 大鼠

    纯化方法

    Purified from goat serum by ammonium sulphate precipitation followed by antigen affinity chromatography using the immunizing peptide.

    免疫原

    Peptide with sequence C-LASKQEKDGTEK, from the internal region of the protein sequence according to NP_665906.1, NP_665908.1, NP_002122.1, NP_665909.1, NP_665912.1, NP_665910.1.

    亚型

    IgG
  • 应用备注

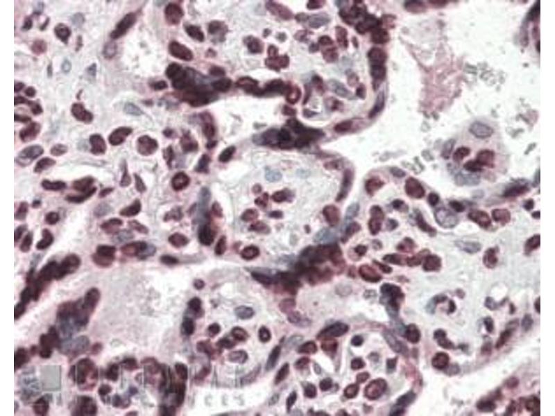
    Immunohistochemistry: Paraffin embedded Human Placenta and Small Intestine. Recommended concentration: 4 μg/mL.

    Western Blot: Preliminary experiments gave an approx 50 kDa band in Human Testis and Ovary lysates after 0.3 μg/mL antibody staining. Please note that currently we cannot find an explanation in the literature for the band we observe given the calculated si

    Peptide ELISA: antibody detection limit dilution 1:32000.

    说明

    Additional validation: This antibody has been successfully used in qRT-PCR on Human: Cello et al. (2013) PMID: 23545254.

    限制

    仅限研究用
  • 状态

    Liquid

    浓度

    0.5 mg/mL

    缓冲液

    Supplied at 0.5 mg/mL in Tris saline, 0.02 % sodium azide, pH 7.3 with 0.5 % bovine serum albumin.

    储存液

    Sodium azide

    注意事项

    This product contains Sodium azide: a POISONOUS AND HAZARDOUS SUBSTANCE which should be handled by trained staff only.

    注意事项

    Minimize freezing and thawing.

    储存条件

    -20 °C

    储存方法

    Aliquot and store at -20°C, with minimal freeze/thawing. A working aliquot may be refrigerated at 4°C for a few weeks and still remain viable.
  • Di Cello, Shin, Harbom, Brayton: "Knockdown of HMGA1 inhibits human breast cancer cell growth and metastasis in immunodeficient mice." in: Biochemical and biophysical research communications, Vol. 434, Issue 1, pp. 70-4, (2013) (PubMed).

  • 抗原

    HMGA1 (High Mobility Group AT-Hook 1 (HMGA1))

    别名

    HMGA1

    背景

    HMGA1, high mobility group AT-hook 1 , HGNC:5010, HMG-R, HMGIY, MGC12816, MGC4242, MGC4854 , OTTHUMP00000039618, high-mobility group (nonhistone chromosomal) protein isoforms I and Y, nonhistone chromosomal high-mobility group protein HMG-I/HMG-Y, HMGA1A,

    基因ID

    3159

    NCBI登录号

    NP_665906, NP_665908, NP_002122, NP_665909, NP_665912, NP_665910

    途径

    Nuclear Hormone Receptor Binding, Autophagy
You are here: