电话:
+86 (0512) 65829739
传真:
+86 (010) 6788 5057
电子邮件:
orders@antibodies-online.cn

PDLIM1 抗体 (C-Term)

The 山羊 多克隆 anti-PDLIM1 antibody is suitable to detect PDLIM1 in samples from 人. It has been validated for WB, IHC 和 ELISA.
产品编号 ABIN185153
发货至: 中国
Contact our Customer Service for availability and price in your country. Contact Info

Our Local Distributor

中国
北京 101111
No. 88 KeChuang 6th Street
Beijing Economic Technological Development Area
Room 801-803
4A Biotech Co.,Ltd.
Tel +86 (0512) 65829739 传真 +86 (010) 6788 5057

Quick Overview for PDLIM1 抗体 (C-Term) (ABIN185153)

抗原

See all PDLIM1 抗体
PDLIM1 (PDZ and LIM Domain 1 (PDLIM1))

适用

  • 98
  • 54
  • 49
  • 6
  • 5
  • 4
  • 4
  • 3
  • 2
  • 1
  • 1

宿主

  • 84
  • 18
山羊

克隆类型

  • 65
  • 37
多克隆

标记

  • 45
  • 7
  • 3
  • 3
  • 3
  • 3
  • 3
  • 3
  • 3
  • 2
  • 2
  • 2
  • 2
  • 2
  • 1
  • 1
  • 1
  • 1
  • 1
  • 1
  • 1
  • 1
  • 1
  • 1
  • 1
  • 1
  • 1
  • 1
  • 1
  • 1
  • 1
  • 1
  • 1
This PDLIM1 antibody is un-conjugated

应用范围

  • 75
  • 33
  • 28
  • 27
  • 26
  • 22
  • 22
  • 10
  • 3
  • 3
  • 2
  • 1
  • 1
  • 1
  • 1
Western Blotting (WB), Immunohistochemistry (IHC), ELISA

质量等级

Verified
  • 抗原表位

    • 12
    • 8
    • 5
    • 4
    • 3
    • 2
    • 2
    • 2
    • 2
    • 1
    • 1
    • 1
    • 1
    • 1
    • 1
    • 1
    • 1
    C-Term

    原理

    CLIM1 / PDLIM1

    序列

    TPPEGYEVVT VFPK

    交叉反应

    纯化方法

    Purified from goat serum by ammonium sulphate precipitation followed by antigen affinity chromatography using the immunizing peptide.

    免疫原

    Peptide with sequence C-TPPEGYEVVTVFPK, from the C Terminus of the protein sequence according to NP_066272.1.

    亚型

    IgG
  • 应用备注

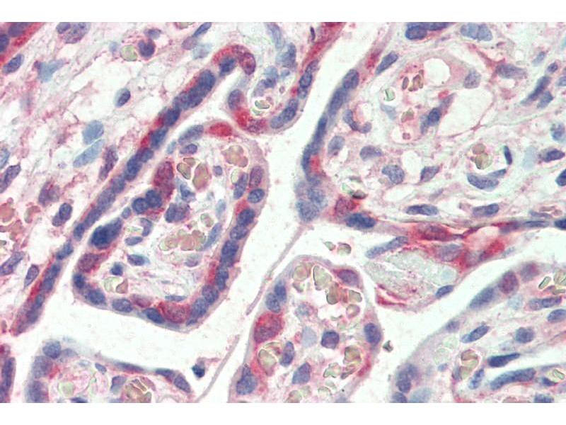
    Immunohistochemistry: Paraffin embedded Human Placenta. Recommended concentration: 5 μg/mL.

    Western Blot: Approx 37 kDa band observed in Human Lung lysate (calculated MW of 36.1 kDa according to NP_066272.1). Recommended concentration: 0.1-0.3 μg/mL.

    Peptide ELISA: antibody detection limit dilution 1:64000.

    限制

    仅限研究用
  • 状态

    Liquid

    浓度

    0.5 mg/mL

    缓冲液

    Supplied at 0.5 mg/mL in Tris saline, 0.02 % sodium azide, pH 7.3 with 0.5 % bovine serum albumin.

    储存液

    Sodium azide

    注意事项

    This product contains Sodium azide: a POISONOUS AND HAZARDOUS SUBSTANCE which should be handled by trained staff only.

    注意事项

    Minimize freezing and thawing.

    储存条件

    -20 °C

    储存方法

    Aliquot and store at -20°C, with minimal freeze/thawing. A working aliquot may be refrigerated at 4°C for a few weeks and still remain viable.
  • 抗原

    PDLIM1 (PDZ and LIM Domain 1 (PDLIM1))

    别名

    PDLIM1

    背景

    PDLIM1, CLIM1, CLP36, ELFIN, CLP-36, hCLIM1, PDZ and LIM domain 1 (elfin), carboxy terminal LIM domain protein 1, PDZ and LIM domain 1, elfin, enigma

    基因ID

    9124

    NCBI登录号

    NP_066272
You are here: