电话:
+86 (0512) 65829739
传真:
+86 (010) 6788 5057
电子邮件:
orders@antibodies-online.cn

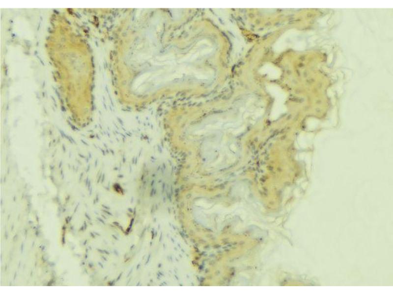
PDLIM1 抗体 (Internal Region)

The 兔 多克隆 anti-PDLIM1 antibody is suitable to detect PDLIM1 in samples from 人, 小鼠 和 大鼠. It has been validated for WB, IHC, ELISA, IF 和 ICC.
产品编号 ABIN6264117
发货至: 中国
Contact our Customer Service for availability and price in your country. Contact Info

Our Local Distributor

中国
北京 101111
No. 88 KeChuang 6th Street
Beijing Economic Technological Development Area
Room 801-803
4A Biotech Co.,Ltd.
Tel +86 (0512) 65829739 传真 +86 (010) 6788 5057

Quick Overview for PDLIM1 抗体 (Internal Region) (ABIN6264117)

抗原

See all PDLIM1 抗体
PDLIM1 (PDZ and LIM Domain 1 (PDLIM1))

适用

  • 98
  • 53
  • 48
  • 6
  • 5
  • 4
  • 4
  • 3
  • 2
  • 1
  • 1
人, 小鼠, 大鼠

宿主

  • 83
  • 18
  • 1

克隆类型

  • 65
  • 37
多克隆

标记

  • 45
  • 7
  • 3
  • 3
  • 3
  • 3
  • 3
  • 3
  • 3
  • 2
  • 2
  • 2
  • 2
  • 2
  • 1
  • 1
  • 1
  • 1
  • 1
  • 1
  • 1
  • 1
  • 1
  • 1
  • 1
  • 1
  • 1
  • 1
  • 1
  • 1
  • 1
  • 1
  • 1
This PDLIM1 antibody is un-conjugated

应用范围

  • 75
  • 32
  • 28
  • 26
  • 26
  • 22
  • 22
  • 10
  • 3
  • 3
  • 2
  • 1
  • 1
  • 1
  • 1
Western Blotting (WB), Immunohistochemistry (IHC), ELISA, Immunofluorescence (IF), Immunocytochemistry (ICC)
  • 抗原表位

    • 12
    • 8
    • 6
    • 3
    • 3
    • 2
    • 2
    • 2
    • 2
    • 1
    • 1
    • 1
    • 1
    • 1
    • 1
    • 1
    • 1
    Internal Region

    特异性

    PDLIM1 Antibody detects endogenous levels of total PDLIM1.

    预测反应

    Pig,Bovine,Horse,Sheep,Rabbit,Dog,Chicken,Xenopus

    纯化方法

    The antiserum was purified by peptide affinity chromatography using SulfoLinkTM Coupling Resin (Thermo Fisher Scientific).

    免疫原

    A synthesized peptide derived from human PDLIM1, corresponding to a region within the internal amino acids.

    亚型

    IgG
  • 应用备注

    WB 1:1000-3000, IHC 1:200, IF/ICC 1:200-1:500, ELISA(peptide) 1:20000-1:40000

    限制

    仅限研究用
  • 状态

    Liquid

    浓度

    1 mg/mL

    缓冲液

    Rabbit IgG in phosphate buffered saline , pH 7.4, 150 mM NaCl, 0.02 % sodium azide and 50 % glycerol.

    储存液

    Sodium azide

    注意事项

    This product contains Sodium azide: a POISONOUS AND HAZARDOUS SUBSTANCE which should be handled by trained staff only.

    储存条件

    -20 °C

    储存方法

    Store at -20 °C. Stable for 12 months from date of receipt.

    有效期

    12 months
  • 抗原

    PDLIM1 (PDZ and LIM Domain 1 (PDLIM1))

    别名

    PDLIM1

    背景

    Description: Cytoskeletal protein that may act as an adapter that brings other proteins (like kinases) to the cytoskeleton (PubMed:10861853). Involved in assembly, disassembly and directioning of stress fibers in fibroblasts. Required for the localization of ACTN1 and PALLD to stress fibers. Required for cell migration and in maintaining cell polarity of fibroblasts (By similarity).

    Gene: PDLIM1

    分子量

    36 kDa

    基因ID

    9124

    UniProt

    O00151
You are here: