电话:
+86 (0512) 65829739
传真:
+86 (010) 6788 5057
电子邮件:
orders@antibodies-online.cn

FBXW2 抗体 (C-Term)

The 山羊 多克隆 anti-FBXW2 antibody (ABIN185067) specifically detects FBXW2 in ELISA, WB 和 IHC. The antibody is reactive with 人, 小鼠 和 大鼠 samples.
产品编号 ABIN185067
发货至: 中国
Contact our Customer Service for availability and price in your country. Contact Info

Our Local Distributor

中国
北京 101111
No. 88 KeChuang 6th Street
Beijing Economic Technological Development Area
Room 801-803
4A Biotech Co.,Ltd.
Tel +86 (0512) 65829739 传真 +86 (010) 6788 5057

Quick Overview for FBXW2 抗体 (C-Term) (ABIN185067)

抗原

See all FBXW2 抗体
FBXW2 (F-Box and WD Repeat Domain Containing 2 (FBXW2))

适用

  • 31
  • 6
  • 5
  • 2
  • 2
  • 2
  • 2
  • 2
  • 1
  • 1
  • 1
  • 1
  • 1
  • 1
人, 小鼠, 大鼠

宿主

  • 30
  • 1
山羊

克隆类型

  • 31
多克隆

标记

  • 13
  • 3
  • 2
  • 2
  • 1
  • 1
  • 1
  • 1
  • 1
  • 1
  • 1
  • 1
  • 1
  • 1
  • 1
This FBXW2 antibody is un-conjugated

应用范围

  • 13
  • 13
  • 11
  • 10
  • 5
  • 3
  • 3
ELISA, Western Blotting (WB), Immunohistochemistry (IHC)

质量等级

Verified
  • 抗原表位

    • 15
    • 6
    • 3
    • 1
    • 1
    • 1
    • 1
    • 1
    C-Term

    原理

    FBXW2

    序列

    KRGSSFLAGE HPG

    交叉反应

    Cow, 犬, 人, 小鼠, Pig, 大鼠

    纯化方法

    Purified from goat serum by ammonium sulphate precipitation followed by antigen affinity chromatography using the immunizing peptide.

    免疫原

    Peptide with sequence C-KRGSSFLAGEHPG, from the C Terminus of the protein sequence according to NP_036296.2.

    亚型

    IgG
  • 应用备注

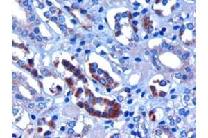
    Immunohistochemistry: In paraffin embedded Human Kidney, shows cytoplasmic staining of epithelial cells in some renal tubules. Recommended concentration, 2-3 μg/mL. An anonymous customer found positive results in IHC on Mouse kidney tissue. An anonymous c

    Western Blot: Approx 48 kDa band observed in Human Kidney lysates (calculated MW of 48.0 kDa according to NP_036296.1). Recommended concentration: 0.3-1.5 μg/mL. A stronger band of unknown identity was also consistently observed at appr. 30 kDa - both band

    Peptide ELISA: antibody detection limit dilution 1:128000.

    限制

    仅限研究用
  • 状态

    Liquid

    浓度

    0.5 mg/mL

    缓冲液

    Supplied at 0.5 mg/mL in Tris saline, 0.02 % sodium azide, pH 7.3 with 0.5 % bovine serum albumin.

    储存液

    Sodium azide

    注意事项

    This product contains Sodium azide: a POISONOUS AND HAZARDOUS SUBSTANCE which should be handled by trained staff only.

    注意事项

    Minimize freezing and thawing.

    储存条件

    -20 °C

    储存方法

    Aliquot and store at -20°C, with minimal freeze/thawing. A working aliquot may be refrigerated at 4°C for a few weeks and still remain viable.
  • 抗原

    FBXW2 (F-Box and WD Repeat Domain Containing 2 (FBXW2))

    别名

    FBXW2

    背景

    FBXW2, F-box and WD-40 domain protein 2, FBW2, Fwd2, MGC117371, Md6, F-box protein Fbw2, F-box and WD repeat domain containing 2

    基因ID

    26190

    NCBI登录号

    NP_036296
You are here: