电话:
+86 (0512) 65829739
传真:
+86 (010) 6788 5057
电子邮件:
orders@antibodies-online.cn

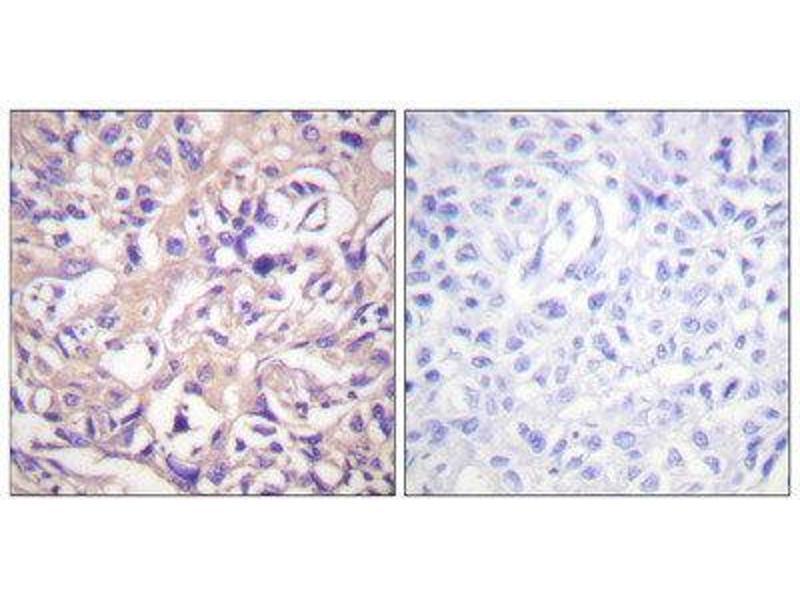
TK (N-Term), (Ser13) 抗体

The 兔 多克隆 anti-TK antibody (ABIN1847976) specifically detects TK in ELISA, WB, IHC 和 IF/ICC. The antibody is reactive with 人, 小鼠 和 大鼠 samples.
产品编号 ABIN1847976
发货至: 中国
Contact our Customer Service for availability and price in your country. Contact Info

Our Local Distributor

中国
北京 101111
No. 88 KeChuang 6th Street
Beijing Economic Technological Development Area
Room 801-803
4A Biotech Co.,Ltd.
Tel +86 (0512) 65829739 传真 +86 (010) 6788 5057

Quick Overview for TK (N-Term), (Ser13) 抗体 (ABIN1847976)

抗原

TK

适用

  • 5
  • 4
  • 3
  • 3
人, 小鼠, 大鼠

宿主

  • 8

克隆类型

  • 9
多克隆

标记

  • 6
  • 1
  • 1
  • 1
非结合性

应用范围

ELISA, Western Blotting (WB), Immunohistochemistry (IHC), Immunofluorescence (fixed cells) (IF/ICC)
  • 抗原表位

    • 4
    • 2
    • 2
    • 1
    • 1
    N-Term, Ser13

    特异性

    Rabbit polyclonal antibody against TK protein.

    纯化方法

    The antibody was affinity-purified from rabbit antiserum by affinity-chromatography using epitope-specific immunogen.

    免疫原

    The antiserum was produced against synthesized non-phosphopeptide derived from human TK around the phosphorylation site of serine13 (P-G-SP-P-S).
  • 限制

    仅限研究用
  • 储存条件

    -20 °C

    储存方法

    Aliquot and store at -20 °C. Stable for 12 months from date of receipt.

    有效期

    12 months
  • 抗原

    TK
You are here: