电话:
+86 (0512) 65829739
传真:
+86 (010) 6788 5057
电子邮件:
orders@antibodies-online.cn

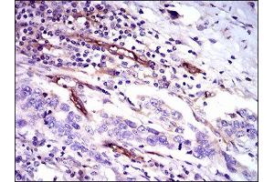
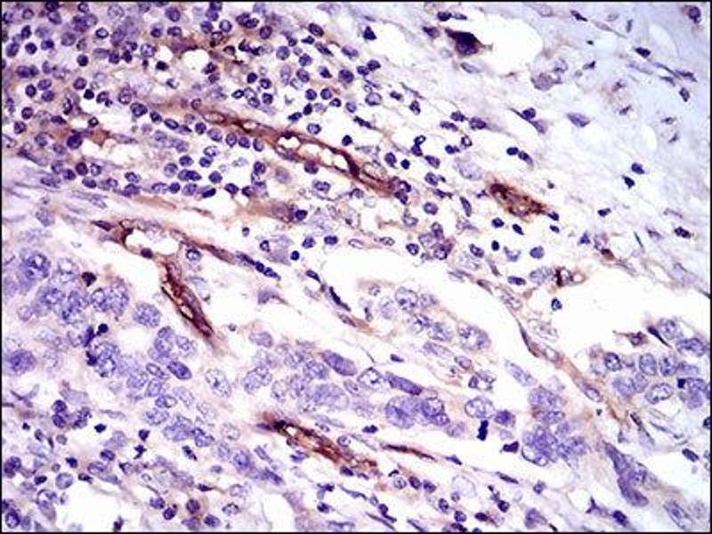
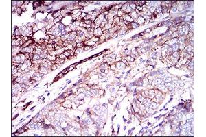
CD59 抗体 (AA 31-111)

The 小鼠 单克隆 anti-CD59 antibody is suitable to detect CD59 in samples from 人. It has been validated for WB, FACS, IHC, ELISA 和 IF/ICC.
产品编号 ABIN1845905
发货至: 中国
Contact our Customer Service for availability and price in your country. Contact Info

Our Local Distributor

中国
北京 101111
No. 88 KeChuang 6th Street
Beijing Economic Technological Development Area
Room 801-803
4A Biotech Co.,Ltd.
Tel +86 (0512) 65829739 传真 +86 (010) 6788 5057

Quick Overview for CD59 抗体 (AA 31-111) (ABIN1845905)

抗原

See all CD59 抗体
CD59

适用

  • 181
  • 16
  • 11
  • 9
  • 5
  • 4
  • 3
  • 1
  • 1

宿主

  • 106
  • 98
  • 7
  • 6
小鼠

克隆类型

  • 130
  • 84
  • 1
单克隆

标记

  • 92
  • 26
  • 17
  • 16
  • 9
  • 4
  • 3
  • 3
  • 3
  • 3
  • 3
  • 3
  • 3
  • 3
  • 3
  • 3
  • 3
  • 3
  • 3
  • 1
  • 1
  • 1
  • 1
  • 1
  • 1
  • 1
  • 1
  • 1
  • 1
  • 1
  • 1
  • 1
  • 1
This CD59 antibody is un-conjugated

应用范围

  • 117
  • 93
  • 68
  • 56
  • 47
  • 39
  • 29
  • 25
  • 16
  • 14
  • 13
  • 13
  • 11
  • 11
  • 9
  • 7
  • 3
  • 3
  • 3
  • 1
  • 1
  • 1
Western Blotting (WB), Flow Cytometry (FACS), Immunohistochemistry (IHC), ELISA, Immunofluorescence (fixed cells) (IF/ICC)
  • 抗原表位

    • 16
    • 12
    • 8
    • 6
    • 4
    • 4
    • 2
    • 2
    • 2
    • 2
    • 1
    • 1
    • 1
    • 1
    • 1
    • 1
    AA 31-111

    纯化方法

    Purified antibody

    免疫原

    Purified recombinant fragment of human CD59 (AA: 31-111) expressed in E. Coli.

    亚型

    IgG1
  • 应用备注

    Optimal working dilution should be determined by the investigator.

    限制

    仅限研究用
  • 状态

    Liquid

    浓度

    1.0 mg/mL

    缓冲液

    PBS with 0.05 % sodium azide and 0.5 % protein stabilizer.

    储存液

    Sodium azide

    注意事项

    This product contains Sodium azide: a POISONOUS AND HAZARDOUS SUBSTANCE which should be handled by trained staff only.

    储存条件

    -20 °C

    储存方法

    Aliquot and store at -20 °C. Avoid repeated freeze/thaw cycles.
  • 抗原

    CD59

    别名

    CD59

    背景

    This gene encodes a cell surface glycoprotein that regulates complement-mediated cell lysis, and it is involved in lymphocyte signal transduction. This protein is a potent inhibitor of the complement membrane attack complex, whereby it binds complement C8 and/or C9 during the assembly of this complex, thereby inhibiting the incorporation of multiple copies of C9 into the complex, which is necessary for osmolytic pore formation.

    分子量

    14.2 kDa

    基因ID

    966

    UniProt

    P13987

    途径

    Complement System
You are here: