电话:
+86 (0512) 65829739
传真:
+86 (010) 6788 5057
电子邮件:
orders@antibodies-online.cn

UBC 抗体 (AA 36-66)

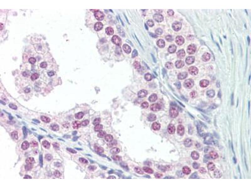
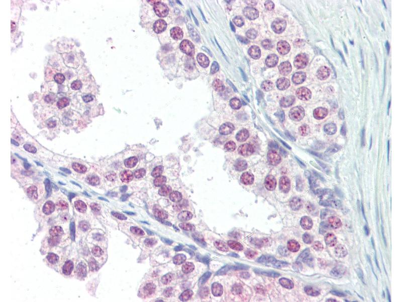
The 兔 多克隆 anti-UBC antibody is suitable to detect UBC in samples from 人. It has been validated for WB, IHC, IF 和 IHC (p).
产品编号 ABIN1804046
发货至: 中国
Contact our Customer Service for availability and price in your country. Contact Info

Our Local Distributor

中国
北京 101111
No. 88 KeChuang 6th Street
Beijing Economic Technological Development Area
Room 801-803
4A Biotech Co.,Ltd.
Tel +86 (0512) 65829739 传真 +86 (010) 6788 5057

Quick Overview for UBC 抗体 (AA 36-66) (ABIN1804046)

抗原

See all UBC 抗体
UBC (Ubiquitin C (UBC))

适用

  • 17
  • 2
  • 2

宿主

  • 14
  • 3

克隆类型

  • 14
  • 3
多克隆

标记

  • 14
  • 1
  • 1
  • 1
This UBC antibody is un-conjugated

应用范围

  • 11
  • 8
  • 6
  • 4
  • 2
  • 2
  • 1
Western Blotting (WB), Immunohistochemistry (IHC), Immunofluorescence (IF), Immunohistochemistry (Paraffin-embedded Sections) (IHC (p))
  • 抗原表位

    • 4
    • 3
    • 3
    • 1
    • 1
    AA 36-66

    特异性

    This Ubiquitin antibody is generated from rabbits immunized with a KLH conjugated synthetic peptide between 36-66 amino acids of human Ubiquitin.

    纯化方法

    Ammonium sulfate precipitation
  • 应用备注

    Approved: IF (1:10 - 1:50), IHC, IHC-P (10 μg/mL), WB (1:1000)

    Usage: Immunohistochemistry: This antibody was validated for use in immunohistochemistry on a panel of 21 formalin-fixed, paraffin-embedded (FFPE) human tissues after heat induced antigen retrieval in  pH 6.0 citrate buffer. After incubation with the primary antibody, slides were incubated with biotinylated secondary antibody, followed by alkaline phosphatase-streptavidin and chromogen. The stained slides were evaluated by a pathologist to confirm staining specificity. The optimal working concentration for this antibody was determined to be 10 μg/mL.

    说明

    Target Species of Antibody: Human

    限制

    仅限研究用
  • 状态

    Liquid

    浓度

    Lot specific

    缓冲液

    PBS, 0.09 % sodium azide

    储存液

    Sodium azide

    注意事项

    This product contains Sodium azide: a POISONOUS AND HAZARDOUS SUBSTANCE which should be handled by trained staff only.

    储存条件

    4 °C,-20 °C

    储存方法

    Maintain refrigerated at 2-8°C for up to 6 months. For long term storage store at -20°C.

    有效期

    6 months
  • 抗原

    UBC (Ubiquitin C (UBC))

    别名

    UBC / Ubiquitin C

    背景

    Name/Gene ID: UBC

    Synonyms: UBC, HUBCEP52, L40, HMG20, RPL40, Ubiquitin, Polyubiquitin-C, CEP52, Ubiquitin C

    基因ID

    7316

    UniProt

    P0CG48

    途径

    Fc-epsilon Receptor Signaling Pathway, EGFR Signaling Pathway, Neurotrophin Signaling Pathway, Activation of Innate immune Response, Mitotic G1-G1/S Phases, DNA Replication, Toll-Like Receptors Cascades, Synthesis of DNA, EGFR Downregulation, Ubiquitin Proteasome Pathway
You are here: