电话:
+86 (0512) 65829739
传真:
+86 (010) 6788 5057
电子邮件:
orders@antibodies-online.cn

UBC 抗体 (AA 1-100)

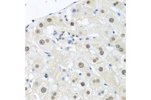
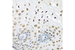
Cited in 3+ publications. The 兔 多克隆 anti-UBC antibody (ABIN1683190) specifically detects UBC in WB 和 IHC. The antibody is reactive with 人 samples.
产品编号 ABIN1683190
发货至: 中国
Contact our Customer Service for availability and price in your country. Contact Info

Our Local Distributor

中国
北京 101111
No. 88 KeChuang 6th Street
Beijing Economic Technological Development Area
Room 801-803
4A Biotech Co.,Ltd.
Tel +86 (0512) 65829739 传真 +86 (010) 6788 5057

Quick Overview for UBC 抗体 (AA 1-100) (ABIN1683190)

抗原

See all UBC 抗体
UBC (Ubiquitin C (UBC))

适用

  • 17
  • 2
  • 2

宿主

  • 14
  • 3

克隆类型

  • 14
  • 3
多克隆

标记

  • 14
  • 1
  • 1
  • 1
This UBC antibody is un-conjugated

应用范围

  • 11
  • 8
  • 6
  • 5
  • 3
  • 2
  • 1
Western Blotting (WB), Immunohistochemistry (IHC)
  • 抗原表位

    • 4
    • 3
    • 3
    • 1
    • 1
    AA 1-100

    序列

    MQIFVKTLTG KTITLEVEPS DTIENVKAKI QDKEGIPPDQ QRLIFAGKQL EDGRTLSDYN IQKESTLHLV LRLRGGMQIF VKTLTGKTIT LEVEPSDTIE

    交叉反应

    人, 小鼠, 大鼠

    产品特性

    Polyclonal Antibodies

    免疫原

    A synthetic peptide corresponding to a sequence within amino acids 1-100 of human UBC (NP_066289.3).

    亚型

    IgG
  • 应用备注

    WB,1:1000 - 1:2000,IHC,1:50 - 1:100

    限制

    仅限研究用
  • 缓冲液

    PBS with 0.02 % sodium azide,50 % glycerol, pH 7.3.

    储存液

    Sodium azide

    注意事项

    This product contains Sodium azide: a POISONOUS AND HAZARDOUS SUBSTANCE which should be handled by trained staff only.

    储存条件

    -20 °C

    储存方法

    Store at -20°C. Avoid freeze / thaw cycles.
  • Li, Chan, Yu, Bei, Chen, Zhou, Cheng, Chen, Ziegler, Rowe, Das, Xiao: "miR-29b contributes to multiple types of muscle atrophy." in: Nature communications, Vol. 8, pp. 15201, (2018) (PubMed).

    Wang, Hu, Xiao, Wang, Liu, Xu, Shi, Jiang, Huang, Li, Liu, Qing: "Stabilization of Notch1 by the Hsp90 Chaperone Is Crucial for T-Cell Leukemogenesis." in: Clinical cancer research : an official journal of the American Association for Cancer Research, Vol. 23, Issue 14, pp. 3834-3846, (2018) (PubMed).

    Xiao, Yue, Su, Ren, Jiang, Li, Hu, Du, Liu, Qing: "Polo-like Kinase-1 Regulates Myc Stabilization and Activates a Feedforward Circuit Promoting Tumor Cell Survival." in: Molecular cell, Vol. 64, Issue 3, pp. 493-506, (2017) (PubMed).

  • 抗原

    UBC (Ubiquitin C (UBC))

    别名

    UBC

    背景

    This gene represents a ubiquitin gene, ubiquitin C. The encoded protein is a polyubiquitin precursor. Conjugation of ubiquitin monomers or polymers can lead to various effects within a cell, depending on the residues to which ubiquitin is conjugated. Ubiquitination has been associated with protein degradation, DNA repair, cell cycle regulation, kinase modification, endocytosis, and regulation of other cell signaling pathways.,UBC,HMG20,ubiquitin C,Cell Biology & Developmental Biology,Apoptosis,Mitochondrial Control of Apoptosis,Ubiquitin,Ubiquitin-Proteasome Signaling Pathway,UBC

    分子量

    77 kDa

    基因ID

    7316

    UniProt

    P0CG48

    途径

    Fc-epsilon Receptor Signaling Pathway, EGFR Signaling Pathway, Neurotrophin Signaling Pathway, Activation of Innate immune Response, Mitotic G1-G1/S Phases, DNA Replication, Toll-Like Receptors Cascades, Synthesis of DNA, EGFR Downregulation, Ubiquitin Proteasome Pathway
You are here: