SMURF1 抗体 (AA 66-96)
Our Local Distributor
北京 101111
Quick Overview for SMURF1 抗体 (AA 66-96) (ABIN1804041)
抗原
See all SMURF1 抗体适用
宿主
克隆类型
标记
应用范围
-
-
抗原表位
- AA 66-96
-
特异性
- This SMURF1 antibody is generated from rabbits immunized with a KLH conjugated synthetic peptide between 66-96 amino acids from the N-terminal region of human SMURF1.
-
纯化方法
- Ammonium sulfate precipitation
-
-
-
-
应用备注
-
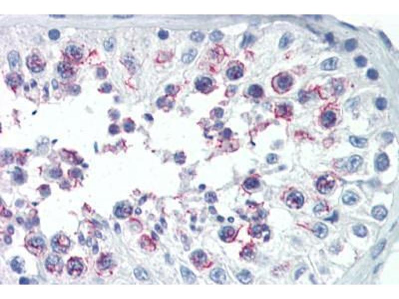
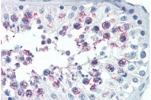
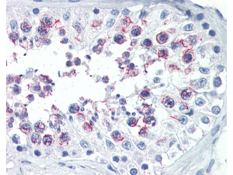
Approved: IHC, IHC-P (10 μg/mL), WB (1:1000)
Usage: Immunohistochemistry: This antibody was validated for use in immunohistochemistry on a panel of 21 formalin-fixed, paraffin-embedded (FFPE) human tissues after heat induced antigen retrieval in pH 6.0 citrate buffer. After incubation with the primary antibody, slides were incubated with biotinylated secondary antibody, followed by alkaline phosphatase-streptavidin and chromogen. The stained slides were evaluated by a pathologist to confirm staining specificity. The optimal working concentration for this antibody was determined to be 10 μg/mL. Please note that cross-reactivity with mouse has been confirmed in WB only at this time. The antibody has not been evaluated for use in IHC with mouse samples. -
说明
-
Target Species of Antibody: Human
-
限制
- 仅限研究用
-
-
-
状态
- Liquid
-
浓度
- Lot specific
-
缓冲液
- PBS, 0.09 % sodium azide
-
储存液
- Sodium azide
-
注意事项
- This product contains Sodium azide: a POISONOUS AND HAZARDOUS SUBSTANCE which should be handled by trained staff only.
-
储存条件
- 4 °C,-20 °C
-
储存方法
- Maintain refrigerated at 2-8°C for up to 6 months. For long term storage store at -20°C.
-
有效期
- 6 months
-
-
- SMURF1 (SMAD Specific E3 Ubiquitin Protein Ligase 1 (SMURF1))
-
别名
- SMURF1
-
背景
-
Name/Gene ID: SMURF1
Synonyms: SMURF1, E3 ubiquitin ligase SMURF1, KIAA1625, HSMURF1 -
基因ID
- 57154
-
UniProt
- Q9HCE7
-
途径
- Regulation of Cell Size
抗原
-