电话:
+86 (0512) 65829739
传真:
+86 (010) 6788 5057
电子邮件:
orders@antibodies-online.cn

SENP1 抗体 (AA 28-59)

This 兔 多克隆 antibody specifically detects SENP1 in WB, IHC 和 IHC (p). It exhibits reactivity toward 人.
产品编号 ABIN1804036
发货至: 中国
Contact our Customer Service for availability and price in your country. Contact Info

Our Local Distributor

中国
北京 101111
No. 88 KeChuang 6th Street
Beijing Economic Technological Development Area
Room 801-803
4A Biotech Co.,Ltd.
Tel +86 (0512) 65829739 传真 +86 (010) 6788 5057

Quick Overview for SENP1 抗体 (AA 28-59) (ABIN1804036)

抗原

See all SENP1 抗体
SENP1 (SUMO1/sentrin Specific Peptidase 1 (SENP1))

适用

  • 74
  • 21
  • 5
  • 4
  • 3
  • 3
  • 3
  • 2
  • 2
  • 1
  • 1
  • 1

宿主

  • 80
  • 3

克隆类型

  • 59
  • 24
多克隆

标记

  • 42
  • 6
  • 5
  • 4
  • 3
  • 3
  • 3
  • 3
  • 3
  • 3
  • 3
  • 3
  • 1
  • 1
This SENP1 antibody is un-conjugated

应用范围

  • 63
  • 35
  • 30
  • 15
  • 15
  • 11
  • 6
  • 3
  • 2
  • 1
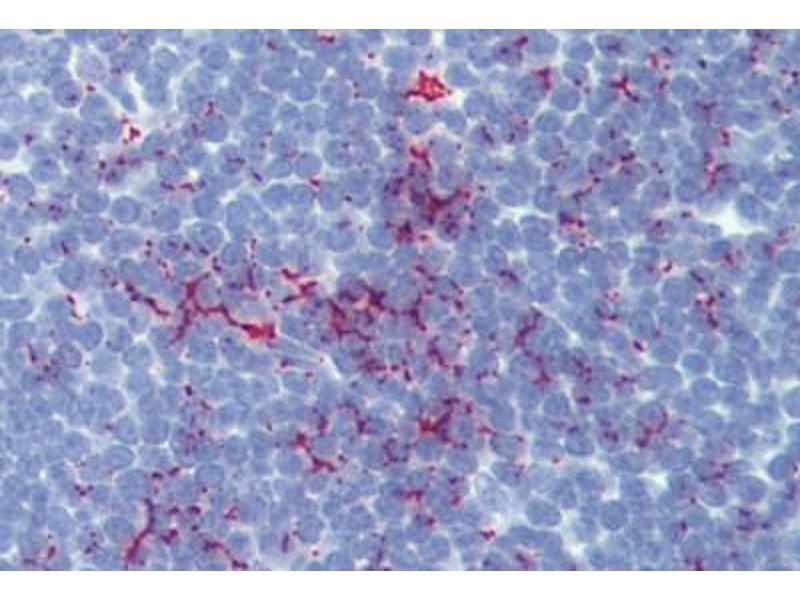
Western Blotting (WB), Immunohistochemistry (IHC), Immunohistochemistry (Paraffin-embedded Sections) (IHC (p))
  • 抗原表位

    • 8
    • 7
    • 7
    • 6
    • 6
    • 4
    • 2
    • 2
    • 2
    • 2
    • 1
    • 1
    • 1
    • 1
    • 1
    • 1
    • 1
    • 1
    • 1
    • 1
    AA 28-59

    特异性

    This SENP1 antibody is generated from rabbits immunized with a KLH conjugated synthetic peptide between 28-59 amino acids from the N-terminal region of human SENP1.

    纯化方法

    Ammonium sulfate precipitation
  • 应用备注

    Approved: IHC, IHC-P (10 μg/mL), WB (1:1000)

    Usage: Immunohistochemistry: This antibody was validated for use in immunohistochemistry on a panel of 21 formalin-fixed, paraffin-embedded (FFPE) human tissues after heat induced antigen retrieval in  pH 6.0 citrate buffer. After incubation with the primary antibody, slides were incubated with biotinylated secondary antibody, followed by alkaline phosphatase-streptavidin and chromogen. The stained slides were evaluated by a pathologist to confirm staining specificity. The optimal working concentration for this antibody was determined to be 10 μg/mL.

    说明

    Target Species of Antibody: Human

    限制

    仅限研究用
  • 状态

    Liquid

    浓度

    Lot specific

    缓冲液

    PBS, 0.09 % sodium azide

    储存液

    Sodium azide

    注意事项

    This product contains Sodium azide: a POISONOUS AND HAZARDOUS SUBSTANCE which should be handled by trained staff only.

    储存条件

    4 °C,-20 °C

    储存方法

    Maintain refrigerated at 2-8°C for up to 6 months. For long term storage store at -20°C.

    有效期

    6 months
  • 抗原

    SENP1 (SUMO1/sentrin Specific Peptidase 1 (SENP1))

    别名

    SENP1

    背景

    Name/Gene ID: SENP1
    Subfamily: Cysteine C48
    Family: Protease

    Synonyms: SENP1, Sentrin-specific protease 1, SuPr-2

    基因ID

    29843

    UniProt

    Q9P0U3

    途径

    Positive Regulation of Endopeptidase Activity
You are here: