电话:
+86 (0512) 65829739
传真:
+86 (010) 6788 5057
电子邮件:
orders@antibodies-online.cn

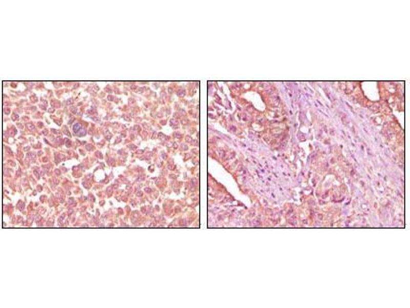
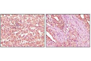
EPH Receptor A2 抗体

There are 2+ publications for this product available. The 小鼠 单克隆 anti-EPH Receptor A2 antibody is suitable to detect EPH Receptor A2 in samples from 人. It has been validated for WB, ELISA 和 IHC.
产品编号 ABIN1724651
发货至: 中国
Contact our Customer Service for availability and price in your country. Contact Info

Our Local Distributor

中国
北京 101111
No. 88 KeChuang 6th Street
Beijing Economic Technological Development Area
Room 801-803
4A Biotech Co.,Ltd.
Tel +86 (0512) 65829739 传真 +86 (010) 6788 5057

Quick Overview for EPH Receptor A2 抗体 (ABIN1724651)

抗原

See all EPH Receptor A2 (EPHA2) 抗体
EPH Receptor A2 (EPHA2)

适用

  • 121
  • 76
  • 47
  • 14
  • 6
  • 5
  • 4
  • 3
  • 2
  • 1
  • 1
  • 1
  • 1
  • 1

宿主

  • 121
  • 23
  • 4
  • 3
小鼠

克隆类型

  • 115
  • 35
  • 1
单克隆

标记

  • 83
  • 9
  • 9
  • 7
  • 7
  • 7
  • 2
  • 2
  • 2
  • 2
  • 2
  • 2
  • 2
  • 2
  • 2
  • 2
  • 2
  • 1
  • 1
  • 1
  • 1
  • 1
  • 1
  • 1
This EPH Receptor A2 antibody is un-conjugated

应用范围

  • 124
  • 75
  • 27
  • 26
  • 19
  • 14
  • 13
  • 12
  • 7
  • 7
  • 7
  • 5
  • 3
  • 2
  • 2
  • 2
  • 2
  • 1
  • 1
  • 1
  • 1
Western Blotting (WB), ELISA, Immunohistochemistry (IHC)

克隆位点

1B3C7
  • 原理

    EphA2 Antibody

    纯化方法

    Ascitic fluid

    免疫原

    Purified recombinant fragment of EphA2 expressed in E. Coli.

    亚型

    IgM
  • 应用备注

    ELISA: 1/10000

    限制

    仅限研究用
  • 状态

    Liquid

    缓冲液

    Ascitic fluid containing 0.03 % sodium azide.

    储存液

    Sodium azide

    注意事项

    This product contains Sodium azide: a POISONOUS AND HAZARDOUS SUBSTANCE which should be handled by trained staff only.

    储存条件

    4 °C,-20 °C

    储存方法

    Store at 4°C short term. Aliquot and store at -20°C long term. Avoid freeze/thaw cycles.
  • Abraham, Knapp, Cheng, Snyder, Mittal, Bangari, Kinch, Wu, Dhariwal, Mohammed: "Expression of EphA2 and Ephrin A-1 in carcinoma of the urinary bladder." in: Clinical cancer research : an official journal of the American Association for Cancer Research, Vol. 12, Issue 2, pp. 353-60, (2006) (PubMed).

    Landen, Kinch, Sood: "EphA2 as a target for ovarian cancer therapy." in: Expert opinion on therapeutic targets, Vol. 9, Issue 6, pp. 1179-87, (2005) (PubMed).

  • 抗原

    EPH Receptor A2 (EPHA2)

    别名

    EphA2

    背景

    EPH receptor A2 (EphA2), with 976-amino acid protein (about 107 kDa), belongs to the ephrin receptor subfamily of the protein-tyrosine kinase family. EphA1, EphA2, EphA3, EphA4, EphA5, EphA6, EphA7, EphA8, EphA10, EphB1, EphB2, EphB3, EphB4 and EphB6 are Eph family receptors for Ephrin family ligands. In normal cells, EphA2 negatively regulates cell growth and invasiveness. EphA2 is overexpressed by many human cancers, and is often associated with poor prognostic features. The clinical significance of the expression of EphA2 was observed in breast, prostate, colon, skin, cervical, ovarian, and lung cancers.EphA2 may serve as a novel target for bladder cancer, colonic adenocarcinoma and ovarian cancer therapy.

    基因ID

    1969

    UniProt

    P29317

    途径

    RTK signaling
You are here: