电话:
+86 (0512) 65829739
传真:
+86 (010) 6788 5057
电子邮件:
orders@antibodies-online.cn

MME 抗体

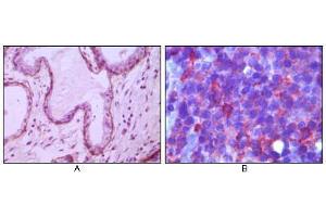
The 小鼠 单克隆 anti-MME antibody is suitable to detect MME in samples from 人. It has been validated for IHC 和 ELISA.
产品编号 ABIN1724642
发货至: 中国
Contact our Customer Service for availability and price in your country. Contact Info

Our Local Distributor

中国
北京 101111
No. 88 KeChuang 6th Street
Beijing Economic Technological Development Area
Room 801-803
4A Biotech Co.,Ltd.
Tel +86 (0512) 65829739 传真 +86 (010) 6788 5057

Quick Overview for MME 抗体 (ABIN1724642)

抗原

See all MME 抗体
MME (Membrane Metallo-Endopeptidase (MME))

适用

  • 304
  • 74
  • 71
  • 11
  • 9
  • 6
  • 3
  • 3
  • 2
  • 2
  • 2
  • 1
  • 1
  • 1

宿主

  • 174
  • 136
  • 2
  • 1
小鼠

克隆类型

  • 227
  • 85
  • 2
单克隆

标记

  • 164
  • 23
  • 19
  • 12
  • 10
  • 5
  • 5
  • 5
  • 5
  • 5
  • 5
  • 5
  • 4
  • 4
  • 3
  • 3
  • 3
  • 3
  • 3
  • 3
  • 2
  • 2
  • 2
  • 2
  • 2
  • 1
  • 1
  • 1
  • 1
  • 1
  • 1
  • 1
  • 1
  • 1
  • 1
  • 1
  • 1
  • 1
  • 1
  • 1
This MME antibody is un-conjugated

应用范围

  • 188
  • 159
  • 107
  • 58
  • 51
  • 42
  • 37
  • 27
  • 17
  • 10
  • 3
  • 2
  • 2
  • 2
  • 1
  • 1
  • 1
  • 1
  • 1
  • 1
Immunohistochemistry (IHC), ELISA

克隆位点

2A1H5E1
You are here: