电话:
+86 (0512) 65829739
传真:
+86 (010) 6788 5057
电子邮件:
orders@antibodies-online.cn

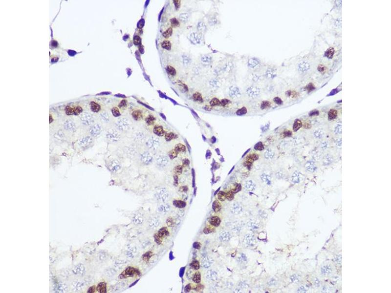
NFIA 抗体 (AA 180-330)

The 兔 多克隆 anti-NFIA antibody is suitable to detect NFIA in samples from 人. It has been validated for WB 和 IHC.
产品编号 ABIN1681040
发货至: 中国
Contact our Customer Service for availability and price in your country. Contact Info

Our Local Distributor

中国
北京 101111
No. 88 KeChuang 6th Street
Beijing Economic Technological Development Area
Room 801-803
4A Biotech Co.,Ltd.
Tel +86 (0512) 65829739 传真 +86 (010) 6788 5057

Quick Overview for NFIA 抗体 (AA 180-330) (ABIN1681040)

抗原

See all NFIA 抗体
NFIA (Nuclear Factor I/A (NFIA))

适用

  • 48
  • 21
  • 20
  • 5
  • 4
  • 4
  • 3
  • 3
  • 3
  • 3
  • 2
  • 2
  • 2

宿主

  • 42
  • 6

克隆类型

  • 42
  • 6
多克隆

标记

  • 36
  • 2
  • 1
  • 1
  • 1
  • 1
  • 1
  • 1
  • 1
  • 1
  • 1
  • 1
This NFIA antibody is un-conjugated

应用范围

  • 41
  • 15
  • 10
  • 9
  • 4
  • 4
  • 4
  • 4
  • 1
  • 1
  • 1
  • 1
Western Blotting (WB), Immunohistochemistry (IHC)
  • 抗原表位

    • 9
    • 7
    • 3
    • 3
    • 3
    • 2
    • 2
    • 2
    • 2
    • 1
    • 1
    • 1
    • 1
    • 1
    • 1
    AA 180-330

    序列

    AYFVHAADSS QSESPSQPSD ADIKDQPENG HLGFQDSFVT SGVFSVTELV RVSQTPIAAG TGPNFSLSDL ESSSYYSMSP GAMRRSLPST SSTSSTKRLK SVEDEMDSPG EEPFYTGQGR SPGSGSQSSG WHEVEPGMPS PTTLKKSEKS G

    交叉反应

    人, 小鼠, 大鼠

    产品特性

    Polyclonal Antibodies

    免疫原

    Recombinant fusion protein containing a sequence corresponding to amino acids 180-330 of human NFIA (NP_005586.1).

    亚型

    IgG
  • 应用备注

    WB,1:200 - 1:2000,IHC,1:50 - 1:200

    限制

    仅限研究用
  • 缓冲液

    PBS with 0.02 % sodium azide,50 % glycerol, pH 7.3.

    储存液

    Sodium azide

    注意事项

    This product contains Sodium azide: a POISONOUS AND HAZARDOUS SUBSTANCE which should be handled by trained staff only.

    储存条件

    -20 °C

    储存方法

    Store at -20°C. Avoid freeze / thaw cycles.
  • 抗原

    NFIA (Nuclear Factor I/A (NFIA))

    别名

    NFIA

    背景

    This gene encodes a member of the NF1 (nuclear factor 1) family of transcription factors. Multiple transcript variants encoding different isoforms have been found for this gene.,NFIA,CTF,NF-I/A,NF1-A,NFI-A,NFI-L,BRMUTD,Epigenetics & Nuclear Signaling,Transcription Factors,Neuroscience,NFIA

    分子量

    54 kDa/55 kDa/60 kDa

    基因ID

    4774

    UniProt

    Q12857
You are here: