电话:
+86 (0512) 65829739
传真:
+86 (010) 6788 5057
电子邮件:
orders@antibodies-online.cn

SKP2 抗体

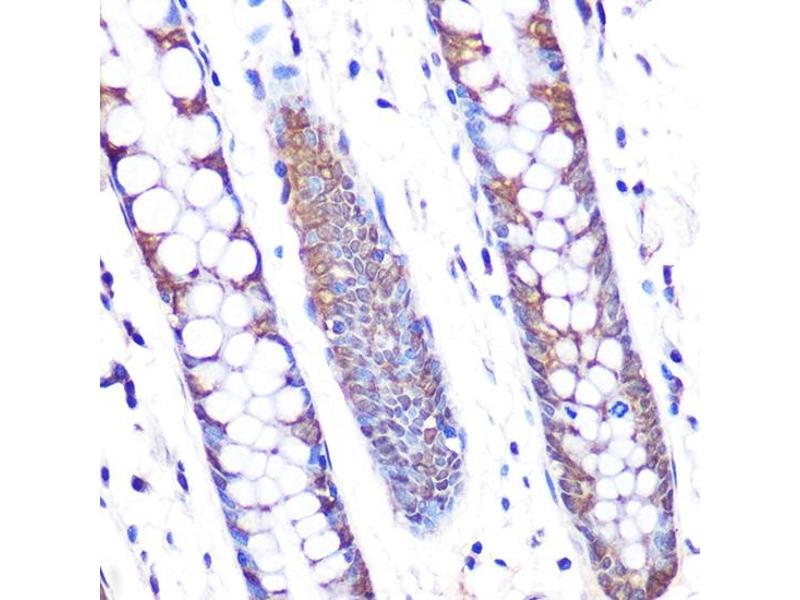
SKP2 适用: 人 WB, IHC 宿主: 兔 Monoclonal unconjugated
产品编号 ABIN3018460
发货至: 中国
  • 抗原 See all SKP2 抗体
    SKP2 (S-Phase Kinase-Associated Protein 2 (SKP2))
    适用
    • 82
    • 31
    • 29
    • 5
    • 5
    • 2
    • 1
    • 1
    • 1
    • 1
    宿主
    • 73
    • 10
    • 1
    克隆类型
    • 69
    • 14
    单克隆
    标记
    • 54
    • 3
    • 3
    • 2
    • 2
    • 2
    • 1
    • 1
    • 1
    • 1
    • 1
    • 1
    • 1
    • 1
    • 1
    • 1
    • 1
    • 1
    • 1
    • 1
    • 1
    • 1
    • 1
    • 1
    This SKP2 antibody is un-conjugated
    应用范围
    • 60
    • 27
    • 24
    • 20
    • 17
    • 14
    • 14
    • 13
    • 13
    • 12
    • 3
    • 2
    • 1
    • 1
    • 1
    Western Blotting (WB), Immunohistochemistry (IHC)
    交叉反应
    人, 小鼠, 大鼠
    产品特性
    Monoclonal Antibodies
    纯化方法
    Affinity purification
    免疫原
    A synthesized peptide derived from human SKP2
    亚型
    IgG
    Top Product
    Discover our top product SKP2 Primary Antibody
  • 应用备注
    WB,1:500 - 1:2000,IHC,1:50 - 1:200
    限制
    仅限研究用
  • 缓冲液
    PBS with 0.02 % sodium azide,0.05 % BSA,50 % glycerol, pH 7.3.
    储存液
    Sodium azide
    注意事项
    This product contains Sodium azide: a POISONOUS AND HAZARDOUS SUBSTANCE which should be handled by trained staff only.
    储存条件
    -20 °C
    储存方法
    Store at -20°C. Avoid freeze / thaw cycles.
  • 抗原
    SKP2 (S-Phase Kinase-Associated Protein 2 (SKP2))
    别名
    SKP2 (SKP2 产品)
    背景
    This gene encodes a member of the F-box protein family which is characterized by an approximately 40 amino acid motif, the F-box. The F-box proteins constitute one of the four subunits of ubiquitin protein ligase complex called SCFs (SKP1-cullin-F-box), which function in phosphorylation-dependent ubiquitination. The F-box proteins are divided into 3 classes: Fbws containing WD-40 domains, Fbls containing leucine-rich repeats, and Fbxs containing either different protein-protein interaction modules or no recognizable motifs. The protein encoded by this gene belongs to the Fbls class, in addition to an F-box, this protein contains 10 tandem leucine-rich repeats. This protein is an essential element of the cyclin A-CDK2 S-phase kinase. It specifically recognizes phosphorylated cyclin-dependent kinase inhibitor 1B (CDKN1B, also referred to as p27 or KIP1) predominantly in S phase and interacts with S-phase kinase-associated protein 1 (SKP1 or p19). In addition, this gene is established as a protooncogene causally involved in the pathogenesis of lymphomas. Alternative splicing of this gene generates three transcript variants encoding different isoforms. [provided by RefSeq, Jul 2011],FBL1, FBXL1, FLB1, p45,Apoptosis,Cell Biology & Developmental Biology,Kinase,Signal Transduction,Ubiquitin,Ubiquitin_Ubiquitin-Proteasome Signaling Pathway,SKP2
    分子量
    48 kDa
    基因ID
    6502
    UniProt
    Q13309
    途径
    Mitotic G1-G1/S Phases
You are here:
Chat with us!