电话:
+86 (0512) 65829739
传真:
+86 (010) 6788 5057
电子邮件:
orders@antibodies-online.cn

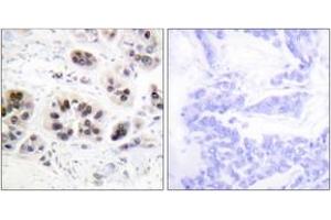
Histone H2A 抗体 (acLys5)

This 兔 多克隆 antibody specifically detects Histone H2A in IHC 和 ELISA. It exhibits reactivity toward 人, 大鼠 和 小鼠.
产品编号 ABIN1535514
发货至: 中国
Contact our Customer Service for availability and price in your country. Contact Info

Our Local Distributor

中国
北京 101111
No. 88 KeChuang 6th Street
Beijing Economic Technological Development Area
Room 801-803
4A Biotech Co.,Ltd.
Tel +86 (0512) 65829739 传真 +86 (010) 6788 5057

Quick Overview for Histone H2A 抗体 (acLys5) (ABIN1535514)

抗原

See all Histone H2A 抗体
Histone H2A

适用

  • 110
  • 77
  • 77
  • 4
  • 3
  • 2
  • 2
  • 2
  • 2
  • 2
  • 2
  • 1
  • 1
  • 1
  • 1
人, 大鼠, 小鼠

宿主

  • 111
  • 2

克隆类型

  • 67
  • 46
多克隆

标记

  • 57
  • 6
  • 5
  • 5
  • 5
  • 5
  • 5
  • 5
  • 3
  • 3
  • 1
  • 1
  • 1
  • 1
  • 1
  • 1
  • 1
  • 1
  • 1
  • 1
  • 1
  • 1
  • 1
  • 1
This Histone H2A antibody is un-conjugated

应用范围

  • 91
  • 47
  • 26
  • 26
  • 26
  • 17
  • 15
  • 14
  • 12
  • 7
  • 6
  • 4
  • 2
  • 1
  • 1
Immunohistochemistry (IHC), ELISA
  • 抗原表位

    • 16
    • 11
    • 11
    • 11
    • 10
    • 8
    • 6
    • 3
    • 3
    • 2
    • 2
    • 2
    • 1
    • 1
    • 1
    • 1
    • 1
    • 1
    • 1
    • 1
    • 1
    • 1
    • 1
    • 1
    • 1
    • 1
    AA 1-50, acLys5

    特异性

    Histone H2A (Acetyl-Lys5) Antibody detects endogenous levels of total Histone H2A protein only when acetylated at Lys5.

    AcetylationH:K5 M:K5 R:K5

    纯化方法

    The antibody was purified from rabbit antiserum by affinity-chromatography using acetylated peptide. The antibody against non-acetylated peptide was removed by chromatography using corresponding non-acetylated peptide.

    纯度

    > 95 %

    免疫原

    The antiserum was produced against synthesized peptide derived from human Histone H2A around the acetylated site of Lys5.

    亚型

    IgG
  • 应用备注

    IHC: 1:50~1:100 ELISA: 1:1000

    说明

    Unigene-Number: Hs.119192 (NCBI Gene Symbol: H2AFZ)

    限制

    仅限研究用
  • 状态

    Liquid

    浓度

    1 mg/mL

    缓冲液

    phosphate buffered saline (without Mg2+ and Ca2+), pH 7.4, 150 mM NaCl, 0.02 % sodium azide and 50 % glycerol.

    储存液

    Sodium azide

    注意事项

    This product contains sodium azide: a POISONOUS AND HAZARDOUS SUBSTANCE which should be handled by trained staff only.

    储存条件

    -20 °C

    储存方法

    Stable at -20°C for at least 1 year.

    有效期

    12 months
  • 抗原

    Histone H2A

    背景

    Synonyms: H2A.1b, H2A/c, H2A/d, H2A/i, H2A/n, H2A/p, H2A1, H2AC, H2AFC, H2AFD ANDHIST1H2AL, H2AFI, H2AFN ANDHIST1H2AG, H2AFP, HIST1H2AI, HIST1H2AJ, HIST1H2AM, Histone H2A.c/d/i/n/p

    NCBI Gene Symbol: H2AFZ

    分子量

    13 kDa

    基因ID

    3015

    OMIM

    142763

    UniProt

    P0C0S5
You are here: