电话:
+86 (0512) 65829739
传真:
+86 (010) 6788 5057
电子邮件:
orders@antibodies-online.cn

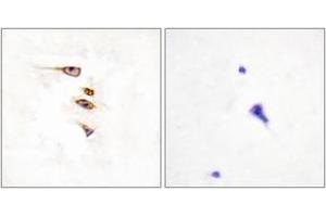
EPH Receptor A6 抗体 (AA 891-940)

The 兔 多克隆 anti-EPH Receptor A6 antibody (ABIN1534169) specifically detects EPH Receptor A6 in ELISA, IHC 和 IF. The antibody is reactive with 人, 小鼠 和 大鼠 samples.
产品编号 ABIN1534169
发货至: 中国
Contact our Customer Service for availability and price in your country. Contact Info

Our Local Distributor

中国
北京 101111
No. 88 KeChuang 6th Street
Beijing Economic Technological Development Area
Room 801-803
4A Biotech Co.,Ltd.
Tel +86 (0512) 65829739 传真 +86 (010) 6788 5057

Quick Overview for EPH Receptor A6 抗体 (AA 891-940) (ABIN1534169)

抗原

See all EPH Receptor A6 (Epha6) 抗体
EPH Receptor A6 (Epha6)

适用

  • 58
  • 32
  • 20
  • 2
  • 2
  • 2
  • 2
  • 2
  • 1
  • 1
  • 1
  • 1
  • 1
人, 小鼠, 大鼠

宿主

  • 54
  • 7
  • 1

克隆类型

  • 55
  • 7
多克隆

标记

  • 30
  • 5
  • 4
  • 3
  • 2
  • 1
  • 1
  • 1
  • 1
  • 1
  • 1
  • 1
  • 1
  • 1
  • 1
  • 1
  • 1
  • 1
  • 1
  • 1
  • 1
  • 1
  • 1
This EPH Receptor A6 antibody is un-conjugated

应用范围

  • 41
  • 26
  • 19
  • 13
  • 13
  • 7
  • 6
  • 3
  • 2
  • 1
  • 1
  • 1
  • 1
ELISA, Immunohistochemistry (IHC), Immunofluorescence (IF)
  • 抗原表位

    • 15
    • 8
    • 7
    • 7
    • 5
    • 2
    • 2
    • 1
    • 1
    • 1
    • 1
    • 1
    • 1
    • 1
    • 1
    • 1
    • 1
    AA 891-940

    特异性

    EPHA6 Antibody detects endogenous levels of total EPHA6 protein.

    纯化方法

    The antibody was purified from rabbit antiserum by affinity-chromatography using immunogen.

    纯度

    > 95 %

    免疫原

    The antiserum was produced against synthesized peptide derived from human EPHA6.

    亚型

    IgG
  • 应用备注

    IHC: 1:50~1:100 IF: 1:100~1:500 ELISA: 1:20000

    说明

    Unigene-Number: Hs.653244 (NCBI Gene Symbol: EPHA6)

    限制

    仅限研究用
  • 状态

    Liquid

    浓度

    1 mg/mL

    缓冲液

    phosphate buffered saline (without Mg2+ and Ca2+), pH 7.4, 150 mM NaCl, 0.02 % sodium azide and 50 % glycerol.

    储存液

    Sodium azide

    注意事项

    This product contains sodium azide: a POISONOUS AND HAZARDOUS SUBSTANCE which should be handled by trained staff only.

    储存条件

    -20 °C

    储存方法

    Stable at -20°C for at least 1 year.

    有效期

    12 months
  • 抗原

    EPH Receptor A6 (Epha6)

    别名

    EPHA6

    背景

    Synonyms: Ephrin type-A receptor 6, Tyrosine-protein kinase receptor EHK-2, EPH homology kinase 2, EPHA6, EHK2

    NCBI Gene Symbol: EPHA6

    分子量

    116 kDa

    基因ID

    285220

    OMIM

    600066

    UniProt

    Q9UF33

    途径

    RTK signaling
You are here: