电话:
+86 (0512) 65829739
传真:
+86 (010) 6788 5057
电子邮件:
orders@antibodies-online.cn

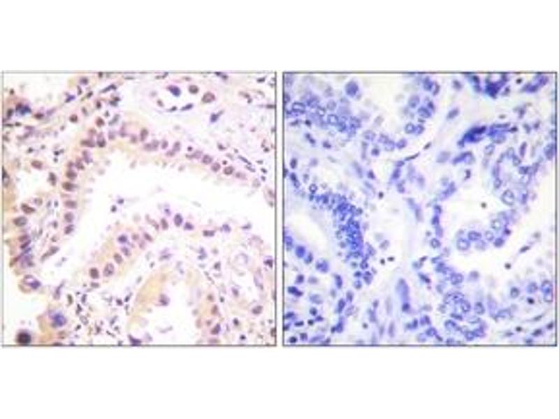
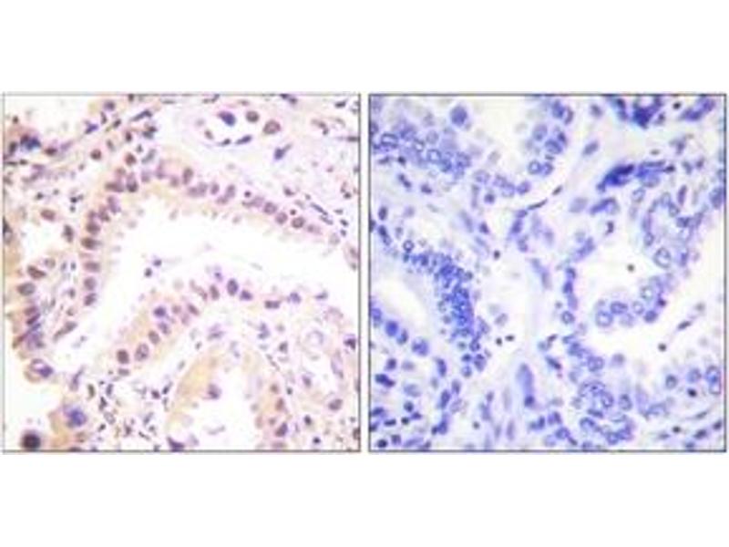
Cullin 2 抗体 (AA 696-745)

This 兔 多克隆 antibody specifically detects Cullin 2 in WB, ELISA, IHC 和 IF. It exhibits reactivity toward 人 和 小鼠.
产品编号 ABIN1533245
发货至: 中国
Contact our Customer Service for availability and price in your country. Contact Info

Our Local Distributor

中国
北京 101111
No. 88 KeChuang 6th Street
Beijing Economic Technological Development Area
Room 801-803
4A Biotech Co.,Ltd.
Tel +86 (0512) 65829739 传真 +86 (010) 6788 5057

Quick Overview for Cullin 2 抗体 (AA 696-745) (ABIN1533245)

抗原

See all Cullin 2 (CUL2) 抗体
Cullin 2 (CUL2)

适用

  • 85
  • 50
  • 35
  • 7
  • 7
  • 6
  • 5
  • 5
  • 4
  • 3
  • 3
  • 3
  • 1
  • 1
人, 小鼠

宿主

  • 82
  • 2
  • 1

克隆类型

  • 63
  • 22
多克隆

标记

  • 39
  • 6
  • 4
  • 3
  • 3
  • 3
  • 3
  • 3
  • 3
  • 3
  • 1
  • 1
  • 1
  • 1
  • 1
  • 1
  • 1
  • 1
  • 1
  • 1
  • 1
  • 1
  • 1
  • 1
  • 1
This Cullin 2 antibody is un-conjugated

应用范围

  • 48
  • 26
  • 22
  • 16
  • 14
  • 14
  • 13
  • 13
  • 12
  • 8
  • 3
  • 1
Western Blotting (WB), ELISA, Immunohistochemistry (IHC), Immunofluorescence (IF)
  • 抗原表位

    • 15
    • 9
    • 8
    • 5
    • 3
    • 2
    • 2
    • 2
    • 2
    • 2
    • 1
    • 1
    • 1
    • 1
    • 1
    • 1
    • 1
    AA 696-745

    特异性

    Cullin 2 Antibody detects endogenous levels of total Cullin 2 protein.

    纯化方法

    The antibody was purified from rabbit antiserum by affinity-chromatography using immunogen.

    纯度

    > 95 %

    免疫原

    The antiserum was produced against synthesized peptide derived from human Cullin 2.

    亚型

    IgG
  • 应用备注

    WB: 1:500~1:1000 IHC: 1:50~1:100 IF: 1:100~1:500 ELISA: 1:5000

    说明

    Unigene-Number: Hs.82919 (NCBI Gene Symbol: CUL2)

    限制

    仅限研究用
  • 状态

    Liquid

    浓度

    1 mg/mL

    缓冲液

    phosphate buffered saline (without Mg2+ and Ca2+), pH 7.4, 150 mM NaCl, 0.02 % sodium azide and 50 % glycerol.

    储存液

    Sodium azide

    注意事项

    This product contains sodium azide: a POISONOUS AND HAZARDOUS SUBSTANCE which should be handled by trained staff only.

    储存条件

    -20 °C

    储存方法

    Stable at -20°C for at least 1 year.

    有效期

    12 months
  • 抗原

    Cullin 2 (CUL2)

    别名

    Cullin 2

    背景

    Synonyms: Cullin-2, CUL-2

    NCBI Gene Symbol: CUL2

    分子量

    86 kDa

    基因ID

    8453

    OMIM

    603135

    UniProt

    Q13617

    途径

    M Phase, Asymmetric Protein Localization, SARS-CoV-2 Protein Interactome
You are here: