电话:
+86 (0512) 65829739
传真:
+86 (010) 6788 5057
电子邮件:
orders@antibodies-online.cn

Cullin 2 抗体

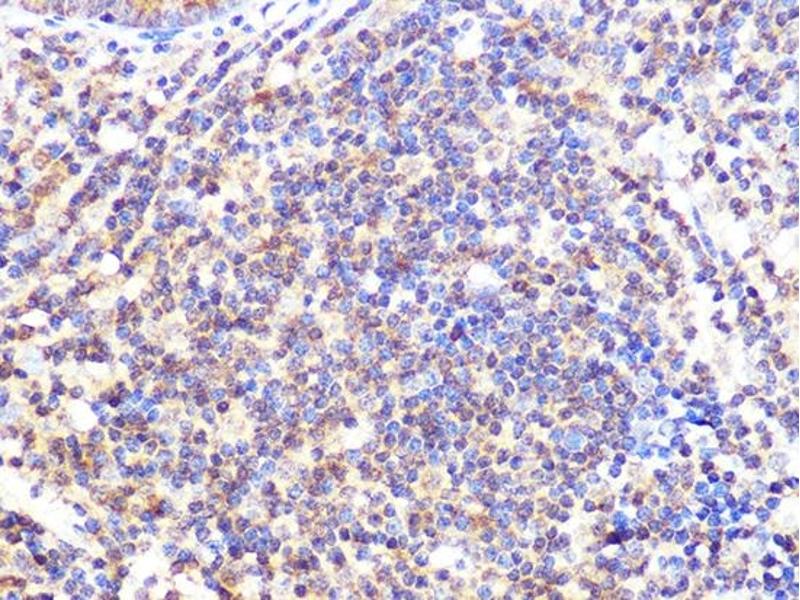
The 兔 单克隆 anti-Cullin 2 antibody is suitable to detect Cullin 2 in samples from 人. It has been validated for WB 和 IHC.
产品编号 ABIN7266542
发货至: 中国
Contact our Customer Service for availability and price in your country. Contact Info

Our Local Distributor

中国
北京 101111
No. 88 KeChuang 6th Street
Beijing Economic Technological Development Area
Room 801-803
4A Biotech Co.,Ltd.
Tel +86 (0512) 65829739 传真 +86 (010) 6788 5057

Quick Overview for Cullin 2 抗体 (ABIN7266542)

抗原

See all Cullin 2 (CUL2) 抗体
Cullin 2 (CUL2)

适用

  • 85
  • 51
  • 35
  • 7
  • 7
  • 6
  • 5
  • 5
  • 4
  • 3
  • 3
  • 3
  • 1
  • 1

宿主

  • 82
  • 2
  • 1

克隆类型

  • 64
  • 21
单克隆

标记

  • 39
  • 6
  • 4
  • 3
  • 3
  • 3
  • 3
  • 3
  • 3
  • 3
  • 1
  • 1
  • 1
  • 1
  • 1
  • 1
  • 1
  • 1
  • 1
  • 1
  • 1
  • 1
  • 1
  • 1
  • 1
This Cullin 2 antibody is un-conjugated

应用范围

  • 48
  • 27
  • 23
  • 16
  • 14
  • 14
  • 13
  • 13
  • 12
  • 8
  • 3
  • 1
Western Blotting (WB), Immunohistochemistry (IHC)
  • 原理

    Cullin 2 Rabbit mAb

    交叉反应

    人, 小鼠, 大鼠

    产品特性

    Monoclonal Antibodies

    纯化方法

    Affinity purification

    免疫原

    A synthesized peptide derived from human Cullin 2

    亚型

    IgG
  • 应用备注

    WB,1:500 - 1:2000,IHC,1:50 - 1:200

    限制

    仅限研究用
  • 状态

    Liquid

    缓冲液

    PBS with 0.02 % sodium azide,0.05 % BSA,50 % glycerol, pH 7.3.

    储存液

    Sodium azide

    注意事项

    This product contains Sodium azide: a POISONOUS AND HAZARDOUS SUBSTANCE which should be handled by trained staff only.

    储存条件

    -20 °C

    储存方法

    Store at -20°C. Avoid freeze / thaw cycles.
  • 抗原

    Cullin 2 (CUL2)

    别名

    CUL2

    背景

    Core component of multiple cullin-RING-based ECS (ElonginB/C-CUL2/5-SOCS-box protein E3 ubiquitin-protein ligase complexes, which mediate the ubiquitination of target proteins. CUL2 may serve as a rigid scaffold in the complex and may contribute to catalysis through positioning of the substrate and the ubiquitin-conjugating enzyme. The E3 ubiquitin-protein ligase activity of the complex is dependent on the neddylation of the cullin subunit and is inhibited by the association of the deneddylated cullin subunit with TIP120A/CAND1. The functional specificity of the ECS complex depends on the substrate recognition component. ECS(VHL mediates the ubiquitination of hypoxia-inducible factor (HIF. A number of ECS complexes (containing either KLHDC2, KLHDC3, KLHDC10, APPBP2, FEM1A, FEM1B or FEM1C as substrate-recognition component are part of the DesCEND (destruction via C-end degrons pathway, which recognizes a C-degron located at the extreme C terminus of target proteins, leading to their ubiquitination and degradation. ECS complexes and ARIH1 collaborate in tandem to mediate ubiquitination of target proteins.,CUL2, cullin-2,Apoptosis,Cancer,Cell Biology & Developmental Biology,Cell Cycle,Cell Cycle_Cell cycle inhibitors,Ubiquitin,Ubiquitin_Ubiquitin-Proteasome Signaling Pathway,CUL2

    分子量

    87kDa

    基因ID

    8453

    UniProt

    Q13617

    途径

    M Phase, Asymmetric Protein Localization, SARS-CoV-2 Protein Interactome
You are here: