CARD6 抗体 (AA 1-50)
Our Local Distributor
北京 101111
Quick Overview for CARD6 抗体 (AA 1-50) (ABIN1533219)
抗原
See all CARD6 抗体适用
宿主
克隆类型
标记
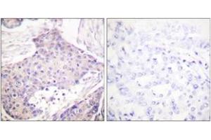
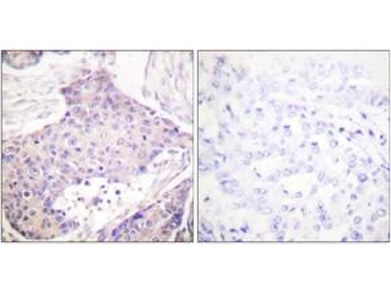
应用范围
-
-
抗原表位
- AA 1-50
-
特异性
-
CARD6 Antibody detects endogenous levels of total CARD6 protein.
-
纯化方法
- The antibody was purified from rabbit antiserum by affinity-chromatography using immunogen.
-
纯度
- > 95 %
-
免疫原
- The antiserum was produced against synthesized peptide derived from human CARD6.
-
亚型
- IgG
-
-
-
-
应用备注
- WB: 1:500~1:1000 IHC: 1:50~1:100 IF: 1:100~1:500 ELISA: 1:10000
-
说明
-
Unigene-Number: Hs.200242 (NCBI Gene Symbol: CARD6)
-
限制
- 仅限研究用
-
-
-
状态
- Liquid
-
浓度
- 1 mg/mL
-
缓冲液
- phosphate buffered saline (without Mg2+ and Ca2+), pH 7.4, 150 mM NaCl, 0.02 % sodium azide and 50 % glycerol.
-
储存液
- Sodium azide
-
注意事项
- This product contains sodium azide: a POISONOUS AND HAZARDOUS SUBSTANCE which should be handled by trained staff only.
-
储存条件
- -20 °C
-
储存方法
- Stable at -20°C for at least 1 year.
-
有效期
- 12 months
-
-
- CARD6 (Caspase Recruitment Domain Family, Member 6 (CARD6))
-
别名
- CARD6
-
背景
-
Synonyms: Caspase recruitment domain-containing protein 6, CARD6
NCBI Gene Symbol: CARD6
-
分子量
- 116 kDa
-
基因ID
- 84674
-
OMIM
- 609986
-
UniProt
- Q9BX69
抗原
-