CARD6 抗体 (N-Term)
Our Local Distributor
北京 101111
Quick Overview for CARD6 抗体 (N-Term) (ABIN184977)
抗原
See all CARD6 抗体适用
宿主
克隆类型
标记
应用范围
质量等级
-
-
抗原表位
- N-Term
-
原理
- CARD6
-
序列
- ATESTPSEII ERER
-
交叉反应
- 人
-
纯化方法
- Purified from goat serum by ammonium sulphate precipitation followed by antigen affinity chromatography using the immunizing peptide.
-
免疫原
- Peptide with sequence ATESTPSEIIERER-C, from the N Terminus of the protein sequence according to NP_115976.2.
-
亚型
- IgG
-
-
-
-
应用备注
-
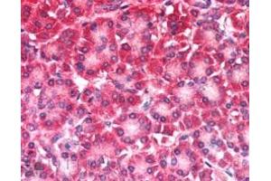
Immunohistochemistry: In paraffin embedded Human Pancreas shows variable staining of cytoplasm in acinar cells. Recommended concentration, 5-10 μg/mL.
Western Blot: Approx. 45-50 kDa and 25-30 kDa bands observed in A549, Human Heart and Human Skeletal Muscle lysates at 1 μg of primary. Please note that the bands we observe are different from the predicted size of approx. 119 kDa according to NP_115976. Cur
Peptide ELISA: antibody detection limit dilution 1:32000.
-
限制
- 仅限研究用
-
-
-
状态
- Liquid
-
浓度
- 0.5 mg/mL
-
缓冲液
- Supplied at 0.5 mg/mL in Tris saline, 0.02 % sodium azide, pH 7.3 with 0.5 % bovine serum albumin.
-
储存液
- Sodium azide
-
注意事项
- This product contains Sodium azide: a POISONOUS AND HAZARDOUS SUBSTANCE which should be handled by trained staff only.
-
注意事项
- Minimize freezing and thawing.
-
储存条件
- -20 °C
-
储存方法
- Aliquot and store at -20°C, with minimal freeze/thawing. A working aliquot may be refrigerated at 4°C for a few weeks and still remain viable.
-
-
- CARD6 (Caspase Recruitment Domain Family, Member 6 (CARD6))
-
别名
- CARD6
-
背景
- CARD6, caspase recruitment domain family, member 6, caspase recruitment domain protein 6, CINCIN1, CARD-containing inhibitor of Nod1 and Cardiak-induced NF-kB activation
-
基因ID
- 84674
-
NCBI登录号
- NP_115976
抗原
-