电话:
+86 (0512) 65829739
传真:
+86 (010) 6788 5057
电子邮件:
orders@antibodies-online.cn

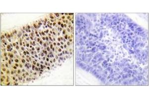
KAT5 抗体 (AA 52-101)

The 兔 多克隆 anti-KAT5 antibody (ABIN1532534) specifically detects KAT5 in ELISA, IHC 和 IF. The antibody is reactive with 人 和 小鼠 samples.
产品编号 ABIN1532534
发货至: 中国
Contact our Customer Service for availability and price in your country. Contact Info

Our Local Distributor

中国
北京 101111
No. 88 KeChuang 6th Street
Beijing Economic Technological Development Area
Room 801-803
4A Biotech Co.,Ltd.
Tel +86 (0512) 65829739 传真 +86 (010) 6788 5057

Quick Overview for KAT5 抗体 (AA 52-101) (ABIN1532534)

抗原

See all KAT5 抗体
KAT5 (K(lysine) Acetyltransferase 5 (KAT5))

适用

  • 89
  • 65
  • 56
  • 6
  • 6
  • 5
  • 5
  • 5
  • 5
  • 4
  • 2
  • 2
  • 1
  • 1
  • 1
人, 小鼠

宿主

  • 103
  • 16

克隆类型

  • 104
  • 16
多克隆

标记

  • 61
  • 8
  • 7
  • 6
  • 2
  • 2
  • 2
  • 2
  • 2
  • 2
  • 2
  • 2
  • 2
  • 2
  • 2
  • 2
  • 2
  • 2
  • 2
  • 2
  • 2
  • 2
  • 2
This KAT5 antibody is un-conjugated

应用范围

  • 89
  • 56
  • 27
  • 27
  • 22
  • 18
  • 8
  • 7
  • 6
  • 4
  • 2
  • 2
  • 2
  • 1
ELISA, Immunohistochemistry (IHC), Immunofluorescence (IF)
  • 抗原表位

    • 18
    • 15
    • 13
    • 8
    • 8
    • 5
    • 5
    • 5
    • 3
    • 3
    • 2
    • 2
    • 2
    • 1
    • 1
    • 1
    • 1
    • 1
    • 1
    • 1
    • 1
    • 1
    • 1
    • 1
    • 1
    • 1
    • 1
    AA 52-101

    特异性

    TIP60 Antibody detects endogenous levels of total TIP60 protein.

    纯化方法

    The antibody was purified from rabbit antiserum by affinity-chromatography using immunogen.

    纯度

    > 95 %

    免疫原

    The antiserum was produced against synthesized peptide derived from human TIP60.

    亚型

    IgG
  • 应用备注

    IHC: 1:50~1:100 IF: 1:100~1:500 ELISA: 1:1000

    说明

    Unigene-Number: Hs.397010 (NCBI Gene Symbol: KAT5)

    限制

    仅限研究用
  • 状态

    Liquid

    浓度

    1 mg/mL

    缓冲液

    phosphate buffered saline (without Mg2+ and Ca2+), pH 7.4, 150 mM NaCl, 0.02 % sodium azide and 50 % glycerol.

    储存液

    Sodium azide

    注意事项

    This product contains sodium azide: a POISONOUS AND HAZARDOUS SUBSTANCE which should be handled by trained staff only.

    储存条件

    -20 °C

    储存方法

    Stable at -20°C for at least 1 year.

    有效期

    12 months
  • 抗原

    KAT5 (K(lysine) Acetyltransferase 5 (KAT5))

    别名

    TIP60

    背景

    Synonyms: 60 kDa Tat interactive protein, cPLA(2)-interacting protein, histone acetyltransferase HTATIP, HIV-1 Tat interactive protein, HTATIP, Tat-interactive 60 kDa protein alpha isoform, Tat-interactive protein-60, TI60

    NCBI Gene Symbol: KAT5

    分子量

    58 kDa

    基因ID

    10524

    OMIM

    601409

    UniProt

    Q92993

    途径

    Intracellular Steroid Hormone Receptor Signaling Pathway
You are here: