电话:
+86 (0512) 65829739
传真:
+86 (010) 6788 5057
电子邮件:
orders@antibodies-online.cn

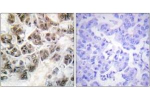
Histone H3.3 抗体 (AA 16-65)

The 兔 多克隆 anti-Histone H3.3 antibody (ABIN1532516) specifically detects Histone H3.3 in ELISA, IHC 和 IF. The antibody is reactive with 人, 小鼠 和 大鼠 samples.
产品编号 ABIN1532516
发货至: 中国
Contact our Customer Service for availability and price in your country. Contact Info

Our Local Distributor

中国
北京 101111
No. 88 KeChuang 6th Street
Beijing Economic Technological Development Area
Room 801-803
4A Biotech Co.,Ltd.
Tel +86 (0512) 65829739 传真 +86 (010) 6788 5057

Quick Overview for Histone H3.3 抗体 (AA 16-65) (ABIN1532516)

抗原

See all Histone H3.3 (H3F3A) 抗体
Histone H3.3 (H3F3A) (H3 Histone, Family 3A (H3F3A))

适用

  • 99
  • 46
  • 43
  • 2
  • 2
  • 2
  • 2
  • 2
  • 1
  • 1
  • 1
  • 1
  • 1
  • 1
人, 小鼠, 大鼠

宿主

  • 94
  • 13

克隆类型

  • 57
  • 50
多克隆

标记

  • 55
  • 7
  • 5
  • 4
  • 4
  • 4
  • 4
  • 4
  • 4
  • 3
  • 3
  • 3
  • 1
  • 1
  • 1
  • 1
  • 1
  • 1
  • 1
This Histone H3.3 antibody is un-conjugated

应用范围

  • 73
  • 60
  • 36
  • 36
  • 30
  • 11
  • 9
  • 5
  • 4
  • 2
  • 2
  • 2
  • 2
  • 1
  • 1
  • 1
  • 1
ELISA, Immunohistochemistry (IHC), Immunofluorescence (IF)
  • 抗原表位

    • 15
    • 6
    • 6
    • 5
    • 5
    • 2
    • 2
    • 1
    • 1
    • 1
    • 1
    • 1
    • 1
    • 1
    • 1
    • 1
    • 1
    • 1
    • 1
    • 1
    • 1
    • 1
    • 1
    • 1
    • 1
    • 1
    • 1
    • 1
    AA 16-65

    特异性

    Histone H3.3 Antibody detects endogenous levels of total Histone H3.3 protein.

    纯化方法

    The antibody was purified from rabbit antiserum by affinity-chromatography using immunogen.

    纯度

    > 95 %

    免疫原

    The antiserum was produced against synthesized peptide derived from human Histone H3.3.

    亚型

    IgG
  • 应用备注

    IHC: 1:50~1:100 IF: 1:100~1:500 ELISA: 1:1000

    说明

    Unigene-Number: Hs.180877, Hs.533624, Hs.723160, Hs.724423 (NCBI Gene Symbol: H3F3B)

    限制

    仅限研究用
  • 状态

    Liquid

    浓度

    1 mg/mL

    缓冲液

    phosphate buffered saline (without Mg2+ and Ca2+), pH 7.4, 150 mM NaCl, 0.02 % sodium azide and 50 % glycerol.

    储存液

    Sodium azide

    注意事项

    This product contains sodium azide: a POISONOUS AND HAZARDOUS SUBSTANCE which should be handled by trained staff only.

    储存条件

    -20 °C

    储存方法

    Stable at -20°C for at least 1 year.

    有效期

    12 months
  • 抗原

    Histone H3.3 (H3F3A) (H3 Histone, Family 3A (H3F3A))

    别名

    Histone H3.3

    背景

    Synonyms: CG5825, H3.3Q, H3.A, H3.B, H33, H3F3A, H3F3B, HIS3.3A, HIS3.3B, ORCG8989, HISH3-3Q, Histone H3.3

    NCBI Gene Symbol: H3F3B

    分子量

    15 kDa

    基因ID

    3020, 3021

    OMIM

    601058

    UniProt

    P84243
You are here: