电话:
+86 (0512) 65829739
传真:
+86 (010) 6788 5057
电子邮件:
orders@antibodies-online.cn

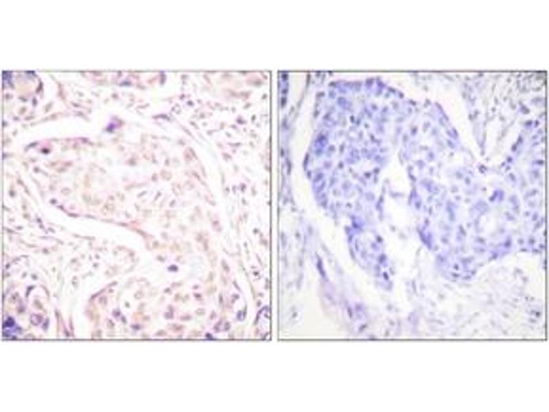
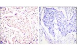
c-FOS 抗体 (AA 331-380)

This 兔 多克隆 antibody specifically detects c-FOS in ELISA 和 IHC. It exhibits reactivity toward 人, 大鼠 和 小鼠.
产品编号 ABIN1532294
发货至: 中国
Contact our Customer Service for availability and price in your country. Contact Info

Our Local Distributor

中国
北京 101111
No. 88 KeChuang 6th Street
Beijing Economic Technological Development Area
Room 801-803
4A Biotech Co.,Ltd.
Tel +86 (0512) 65829739 传真 +86 (010) 6788 5057

Quick Overview for c-FOS 抗体 (AA 331-380) (ABIN1532294)

抗原

See all c-FOS (c-Fos) 抗体
c-FOS (c-Fos) (c-Fos)

适用

  • 203
  • 161
  • 144
  • 13
  • 12
  • 11
  • 8
  • 7
  • 6
  • 5
  • 4
  • 3
  • 3
  • 2
  • 1
人, 大鼠, 小鼠

宿主

  • 195
  • 35
  • 6
  • 1
  • 1

克隆类型

  • 189
  • 48
多克隆

标记

  • 107
  • 10
  • 8
  • 7
  • 6
  • 6
  • 6
  • 6
  • 6
  • 6
  • 6
  • 6
  • 6
  • 6
  • 6
  • 4
  • 4
  • 4
  • 4
  • 4
  • 4
  • 3
  • 2
  • 2
  • 2
  • 2
  • 2
  • 1
  • 1
  • 1
This c-FOS antibody is un-conjugated

应用范围

  • 190
  • 80
  • 80
  • 75
  • 43
  • 42
  • 34
  • 28
  • 25
  • 12
  • 9
  • 8
  • 6
  • 1
  • 1
  • 1
ELISA, Immunohistochemistry (IHC)
  • 抗原表位

    • 26
    • 24
    • 22
    • 19
    • 16
    • 15
    • 15
    • 12
    • 10
    • 7
    • 2
    • 2
    • 2
    • 2
    • 2
    • 2
    • 2
    • 2
    • 1
    • 1
    • 1
    • 1
    • 1
    • 1
    • 1
    • 1
    • 1
    • 1
    • 1
    • 1
    • 1
    • 1
    • 1
    • 1
    • 1
    • 1
    • 1
    • 1
    • 1
    • 1
    • 1
    • 1
    • 1
    • 1
    AA 331-380

    特异性

    Fos Antibody detects endogenous levels of total Fos protein.

    纯化方法

    The antibody was purified from rabbit antiserum by affinity-chromatography using immunogen.

    纯度

    > 95 %

    免疫原

    The antiserum was produced against synthesized peptide derived from human Fos.

    亚型

    IgG
  • 应用备注

    IHC: 1:50~1:100 ELISA: 1:1000

    说明

    Unigene-Number: Hs.25647 (NCBI Gene Symbol: FOS)

    限制

    仅限研究用
  • 状态

    Liquid

    浓度

    1 mg/mL

    缓冲液

    phosphate buffered saline (without Mg2+ and Ca2+), pH 7.4, 150 mM NaCl, 0.02 % sodium azide and 50 % glycerol.

    储存液

    Sodium azide

    注意事项

    This product contains sodium azide: a POISONOUS AND HAZARDOUS SUBSTANCE which should be handled by trained staff only.

    储存条件

    -20 °C

    储存方法

    Stable at -20°C for at least 1 year.

    有效期

    12 months
  • 抗原

    c-FOS (c-Fos) (c-Fos)

    别名

    Fos

    背景

    Synonyms: Cellular oncogene fos, FOS, G0/G1 switch regulatory protein 7, G0S7, Proto-oncogene protein c-fos

    NCBI Gene Symbol: FOS

    分子量

    40 kDa

    基因ID

    2353

    OMIM

    164810

    UniProt

    P01100

    途径

    S100 Proteins
You are here: