电话:
+86 (0512) 65829739
传真:
+86 (010) 6788 5057
电子邮件:
orders@antibodies-online.cn

BRCA1 抗体 (pSer1423)

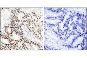
The 兔 多克隆 anti-BRCA1 antibody is suitable to detect BRCA1 in samples from 人 和 大鼠. It has been validated for IHC 和 ELISA.
产品编号 ABIN1531790
发货至: 中国
Contact our Customer Service for availability and price in your country. Contact Info

Our Local Distributor

中国
北京 101111
No. 88 KeChuang 6th Street
Beijing Economic Technological Development Area
Room 801-803
4A Biotech Co.,Ltd.
Tel +86 (0512) 65829739 传真 +86 (010) 6788 5057

Quick Overview for BRCA1 抗体 (pSer1423) (ABIN1531790)

抗原

See all BRCA1 抗体
BRCA1 (Breast Cancer 1 (BRCA1))

适用

  • 216
  • 35
  • 27
  • 3
  • 2
  • 1
  • 1
  • 1
人, 大鼠

宿主

  • 174
  • 50
  • 2

克隆类型

  • 177
  • 49
多克隆

标记

  • 94
  • 19
  • 10
  • 6
  • 5
  • 5
  • 5
  • 5
  • 5
  • 5
  • 4
  • 4
  • 4
  • 4
  • 4
  • 4
  • 4
  • 4
  • 4
  • 4
  • 4
  • 3
  • 3
  • 3
  • 3
  • 3
  • 3
  • 2
  • 2
  • 1
This BRCA1 antibody is un-conjugated

应用范围

  • 123
  • 61
  • 54
  • 41
  • 40
  • 37
  • 30
  • 27
  • 25
  • 15
  • 13
  • 10
  • 9
  • 9
  • 3
  • 2
  • 2
  • 2
  • 1
  • 1
Immunohistochemistry (IHC), ELISA
  • 抗原表位

    • 33
    • 21
    • 16
    • 15
    • 15
    • 13
    • 11
    • 11
    • 8
    • 7
    • 6
    • 5
    • 5
    • 4
    • 4
    • 3
    • 3
    • 3
    • 2
    • 2
    • 2
    • 2
    • 2
    • 2
    • 2
    • 1
    • 1
    • 1
    • 1
    • 1
    • 1
    • 1
    • 1
    • 1
    • 1
    • 1
    • 1
    • 1
    • 1
    • 1
    • 1
    • 1
    • 1
    • 1
    • 1
    • 1
    • 1
    • 1
    • 1
    • 1
    AA 1391-1440, pSer1423

    特异性

    BRCA1 (Phospho-Ser1423) Antibody detects endogenous levels of BRCA1 only when phosphorylated at Ser1423.

    PhosphorylationH:S1423 R:S1380

    纯化方法

    The antibody was purified from rabbit antiserum by affinity-chromatography using phospho peptide. The antibody against non-phospho peptide was removed by chromatography using corresponding non-phospho peptide.

    纯度

    > 95 %

    免疫原

    The antiserum was produced against synthesized peptide derived from human BRCA1 around the phosphorylation site of Ser1423.

    亚型

    IgG
  • 应用备注

    IHC: 1:50~1:100 ELISA: 1:4000

    说明

    Unigene-Number: Hs.194143 (NCBI Gene Symbol: BRCA1)

    限制

    仅限研究用
  • 状态

    Liquid

    浓度

    1 mg/mL

    缓冲液

    phosphate buffered saline (without Mg2+ and Ca2+), pH 7.4, 150 mM NaCl, 0.02 % sodium azide and 50 % glycerol.

    储存液

    Sodium azide

    注意事项

    This product contains sodium azide: a POISONOUS AND HAZARDOUS SUBSTANCE which should be handled by trained staff only.

    储存条件

    -20 °C

    储存方法

    Stable at -20°C for at least 1 year.

    有效期

    12 months
  • 抗原

    BRCA1 (Breast Cancer 1 (BRCA1))

    别名

    BRCA1

    背景

    Synonyms: BRCA1, Breast cancer type 1 susceptibility protein, familial breast/ovarian cancer gene 1

    NCBI Gene Symbol: BRCA1

    分子量

    207 kDa

    基因ID

    672

    OMIM

    113705

    UniProt

    P38398

    途径

    Cell Division Cycle, DNA Damage Repair, Intracellular Steroid Hormone Receptor Signaling Pathway, Positive Regulation of Response to DNA Damage Stimulus
You are here: