电话:
+86 (0512) 65829739
传真:
+86 (010) 6788 5057
电子邮件:
orders@antibodies-online.cn

DUSP1 抗体 (pSer359)

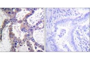
The 兔 多克隆 anti-DUSP1 antibody is suitable to detect DUSP1 in samples from 人. It has been validated for ELISA 和 IHC.
产品编号 ABIN1531688
发货至: 中国
Contact our Customer Service for availability and price in your country. Contact Info

Our Local Distributor

中国
北京 101111
No. 88 KeChuang 6th Street
Beijing Economic Technological Development Area
Room 801-803
4A Biotech Co.,Ltd.
Tel +86 (0512) 65829739 传真 +86 (010) 6788 5057

Quick Overview for DUSP1 抗体 (pSer359) (ABIN1531688)

抗原

See all DUSP1 抗体
DUSP1 (Dual Specificity Phosphatase 1 (DUSP1))

适用

  • 94
  • 49
  • 44
  • 1
  • 1
  • 1
  • 1
  • 1

宿主

  • 90
  • 3
  • 1

克隆类型

  • 74
  • 20
多克隆

标记

  • 29
  • 6
  • 5
  • 4
  • 4
  • 4
  • 4
  • 4
  • 4
  • 4
  • 2
  • 2
  • 2
  • 2
  • 2
  • 2
  • 2
  • 2
  • 2
  • 2
  • 2
  • 1
  • 1
  • 1
  • 1
This DUSP1 antibody is un-conjugated

应用范围

  • 70
  • 31
  • 27
  • 26
  • 24
  • 12
  • 12
  • 12
  • 12
  • 11
  • 6
  • 1
  • 1
ELISA, Immunohistochemistry (IHC)
  • 抗原表位

    • 16
    • 15
    • 6
    • 6
    • 5
    • 3
    • 3
    • 2
    • 2
    • 2
    • 1
    • 1
    • 1
    • 1
    • 1
    • 1
    AA 318-367, pSer359

    特异性

    MKP1 (Phospho-Ser359) Antibody detects endogenous levels of MKP1 only when phosphorylated at Ser359.

    PhosphorylationH:S359

    纯化方法

    The antibody was purified from rabbit antiserum by affinity-chromatography using phospho peptide. The antibody against non-phospho peptide was removed by chromatography using corresponding non-phospho peptide.

    纯度

    > 95 %

    免疫原

    The antiserum was produced against synthesized peptide derived from human MKP1 around the phosphorylation site of Ser359.

    亚型

    IgG
  • 应用备注

    IHC: 1:50~1:100 ELISA: 1:10000

    说明

    Unigene-Number: Hs.171695, Hs.710943 (NCBI Gene Symbol: DUS1)

    限制

    仅限研究用
  • 状态

    Liquid

    浓度

    1 mg/mL

    缓冲液

    phosphate buffered saline (without Mg2+ and Ca2+), pH 7.4, 150 mM NaCl, 0.02 % sodium azide and 50 % glycerol.

    储存液

    Sodium azide

    注意事项

    This product contains sodium azide: a POISONOUS AND HAZARDOUS SUBSTANCE which should be handled by trained staff only.

    储存条件

    -20 °C

    储存方法

    Stable at -20°C for at least 1 year.

    有效期

    12 months
  • 抗原

    DUSP1 (Dual Specificity Phosphatase 1 (DUSP1))

    别名

    MKP1

    背景

    Synonyms: 3CH134, CL100, Dual specificity protein phosphatase 1, Dual specificity protein phosphatase hVH1, DUS1, DUSP1, MAP kinase phosphatase-1, MKP1, Protein-tyrosine phosphatase 3CH134, Protein-tyrosine phosphatase CL100, Protein-tyrosine phosphatase ERP, PTPN1

    NCBI Gene Symbol: DUS1

    分子量

    39 kDa

    基因ID

    1843

    OMIM

    600714

    UniProt

    P28562
You are here: