电话:
+86 (0512) 65829739
传真:
+86 (010) 6788 5057
电子邮件:
orders@antibodies-online.cn

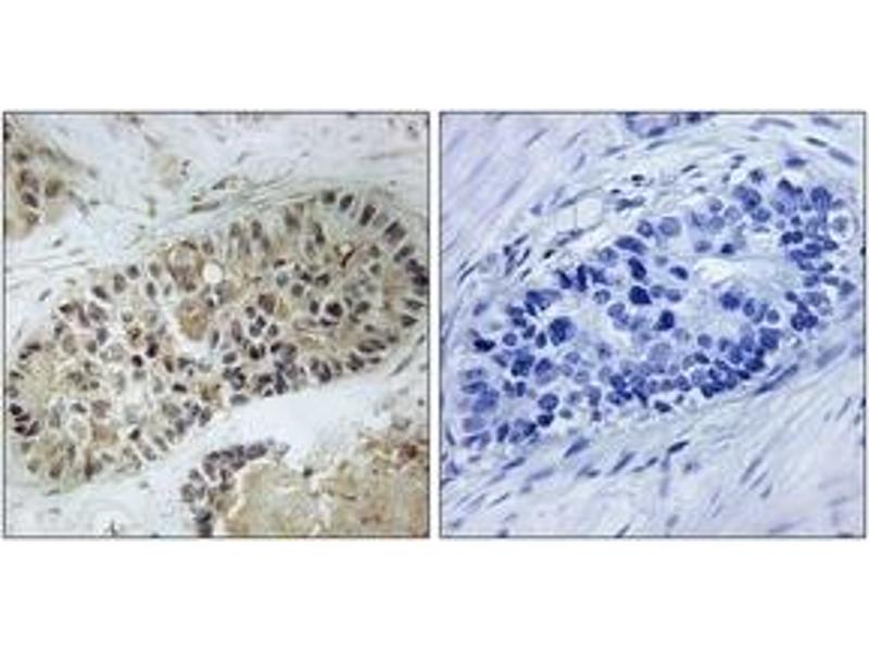
DCLRE1C 抗体 (pSer516)

The 兔 多克隆 anti-DCLRE1C antibody (ABIN1531298) specifically detects DCLRE1C in WB, ELISA 和 IHC. The antibody is reactive with 人 和 小鼠 samples.
产品编号 ABIN1531298
发货至: 中国
Contact our Customer Service for availability and price in your country. Contact Info

Our Local Distributor

中国
北京 101111
No. 88 KeChuang 6th Street
Beijing Economic Technological Development Area
Room 801-803
4A Biotech Co.,Ltd.
Tel +86 (0512) 65829739 传真 +86 (010) 6788 5057

Quick Overview for DCLRE1C 抗体 (pSer516) (ABIN1531298)

抗原

See all DCLRE1C 抗体
DCLRE1C (DNA Cross-Link Repair 1C (DCLRE1C))

适用

  • 43
  • 28
  • 25
  • 4
  • 4
  • 3
  • 3
  • 3
  • 2
  • 2
  • 1
  • 1
人, 小鼠

宿主

  • 56
  • 3

克隆类型

  • 59
多克隆

标记

  • 33
  • 3
  • 2
  • 2
  • 1
  • 1
  • 1
  • 1
  • 1
  • 1
  • 1
  • 1
  • 1
  • 1
  • 1
  • 1
  • 1
  • 1
  • 1
  • 1
  • 1
  • 1
  • 1
This DCLRE1C antibody is un-conjugated

应用范围

  • 45
  • 24
  • 20
  • 13
  • 13
  • 9
  • 5
  • 3
  • 2
  • 1
  • 1
  • 1
  • 1
Western Blotting (WB), ELISA, Immunohistochemistry (IHC)
  • 抗原表位

    • 15
    • 8
    • 7
    • 4
    • 4
    • 2
    • 2
    • 2
    • 2
    • 2
    • 1
    • 1
    • 1
    • 1
    • 1
    • 1
    AA 482-531, pSer516

    特异性

    Artemis (Phospho-Ser516) Antibody detects endogenous levels of Artemis only when phosphorylated at Ser516.

    PhosphorylationH:S516 M:S518

    纯化方法

    The antibody was purified from rabbit antiserum by affinity-chromatography using phospho peptide. The antibody against non-phospho peptide was removed by chromatography using corresponding non-phospho peptide.

    纯度

    > 95 %

    免疫原

    The antiserum was produced against synthesized peptide derived from human Artemis around the phosphorylation site of Ser516.

    亚型

    IgG
  • 应用备注

    WB: 1:500~1:1000 IHC: 1:50~1:100 ELISA: 1:1000

    说明

    Unigene-Number: Hs.656065 (NCBI Gene Symbol: DCLRE1C)

    限制

    仅限研究用
  • 状态

    Liquid

    浓度

    1 mg/mL

    缓冲液

    phosphate buffered saline (without Mg2+ and Ca2+), pH 7.4, 150 mM NaCl, 0.02 % sodium azide and 50 % glycerol.

    储存液

    Sodium azide

    注意事项

    This product contains sodium azide: a POISONOUS AND HAZARDOUS SUBSTANCE which should be handled by trained staff only.

    储存条件

    -20 °C

    储存方法

    Stable at -20°C for at least 1 year.

    有效期

    12 months
  • 抗原

    DCLRE1C (DNA Cross-Link Repair 1C (DCLRE1C))

    别名

    Artemis

    背景

    Synonyms: A-SCID protein, ARTEMIS, ASCID, DCLRE1C, DCR1C, DNA cross-link repair 1C protein, SCIDA, SNM1- like protein, SNM1C

    NCBI Gene Symbol: DCLRE1C

    分子量

    78 kDa

    基因ID

    64421

    OMIM

    602450

    UniProt

    Q96SD1

    途径

    DNA Damage Repair
You are here: