电话:
+86 (0512) 65829739
传真:
+86 (010) 6788 5057
电子邮件:
orders@antibodies-online.cn

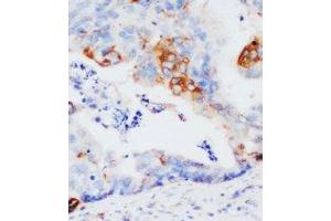
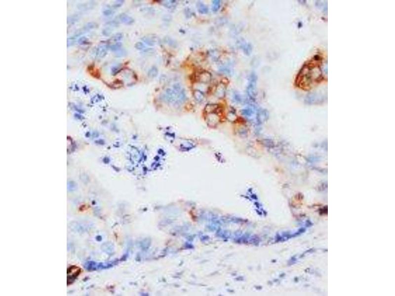
GSTP1 抗体 (AA 197-210)

The 兔 多克隆 anti-GSTP1 antibody is suitable to detect GSTP1 in samples from 人, 小鼠 和 大鼠. It has been validated for WB, IHC 和 IHC (p).
产品编号 ABIN1493408
发货至: 中国
Contact our Customer Service for availability and price in your country. Contact Info

Our Local Distributor

中国
北京 101111
No. 88 KeChuang 6th Street
Beijing Economic Technological Development Area
Room 801-803
4A Biotech Co.,Ltd.
Tel +86 (0512) 65829739 传真 +86 (010) 6788 5057

Quick Overview for GSTP1 抗体 (AA 197-210) (ABIN1493408)

抗原

See all GSTP1 抗体
GSTP1 (Glutathione S-Transferase pi 1 (GSTP1))

适用

  • 121
  • 69
  • 61
  • 10
  • 6
  • 3
  • 3
  • 2
  • 2
  • 2
  • 2
  • 2
  • 1
  • 1
  • 1
  • 1
人, 小鼠, 大鼠

宿主

  • 130
  • 30
  • 1

克隆类型

  • 105
  • 57
多克隆

标记

  • 87
  • 20
  • 14
  • 4
  • 3
  • 3
  • 3
  • 3
  • 3
  • 3
  • 2
  • 2
  • 1
  • 1
  • 1
  • 1
  • 1
  • 1
  • 1
  • 1
  • 1
  • 1
  • 1
  • 1
  • 1
  • 1
  • 1
This GSTP1 antibody is un-conjugated

应用范围

  • 132
  • 70
  • 42
  • 40
  • 33
  • 30
  • 24
  • 16
  • 14
  • 14
  • 7
  • 7
  • 5
  • 5
  • 3
  • 1
  • 1
  • 1
  • 1
Western Blotting (WB), Immunohistochemistry (IHC), Immunohistochemistry (Paraffin-embedded Sections) (IHC (p))
  • 抗原表位

    • 30
    • 17
    • 16
    • 9
    • 3
    • 3
    • 2
    • 2
    • 1
    • 1
    • 1
    • 1
    • 1
    • 1
    • 1
    • 1
    • 1
    • 1
    • 1
    AA 197-210

    特异性

    Human, rat, mouse No cross reactivity with other proteins.

    交叉反应 (详细)

    No cross reactivity with other proteins.

    纯化方法

    Immunoaffinity purified

    免疫原

    Peptide mapping at the C-terminus of GSTpi of human origin (197-210aa), identical to the related rat and mouse sequence.

    Type of Immunogen: Synthetic peptide
  • 应用备注

    Optimal working dilution should be determined by the investigator.

    说明

    Target Species of Antibody: Human

    限制

    仅限研究用
  • 状态

    Liquid

    浓度

    Lot specific

    缓冲液

    5 mg BSA, 0.9 mg sodium chloride, 0.2 mg sodium phosphate, 0.05 mg Thimerosal, 0.05 mg sodium azide

    储存液

    Thimerosal (Merthiolate), Sodium azide

    注意事项

    This product contains Sodium azide and Thimerosal (Merthiolate): POISONOUS AND HAZARDOUS SUBSTANCES which should be handled by trained staff only.

    储存条件

    4 °C,-20 °C

    储存方法

    Short term: 4°C
    Long term: -20°C.
  • 抗原

    GSTP1 (Glutathione S-Transferase pi 1 (GSTP1))

    别名

    GSTP1 / GST Pi

    背景

    Name/Gene ID: GSTP1

    Synonyms: GSTP1, Deafness, X-linked 7, DFN7, GSTP1-1, Glutathione S-transferase P, GST Pi, GSTP, FAEES3, Glutathione S-transferase pi 1, GST class-pi, GST3, PI

    基因ID

    2950

    UniProt

    P09211

    途径

    Cellular Response to Molecule of Bacterial Origin
You are here: