电话:
+86 (0512) 65829739
传真:
+86 (010) 6788 5057
电子邮件:
orders@antibodies-online.cn

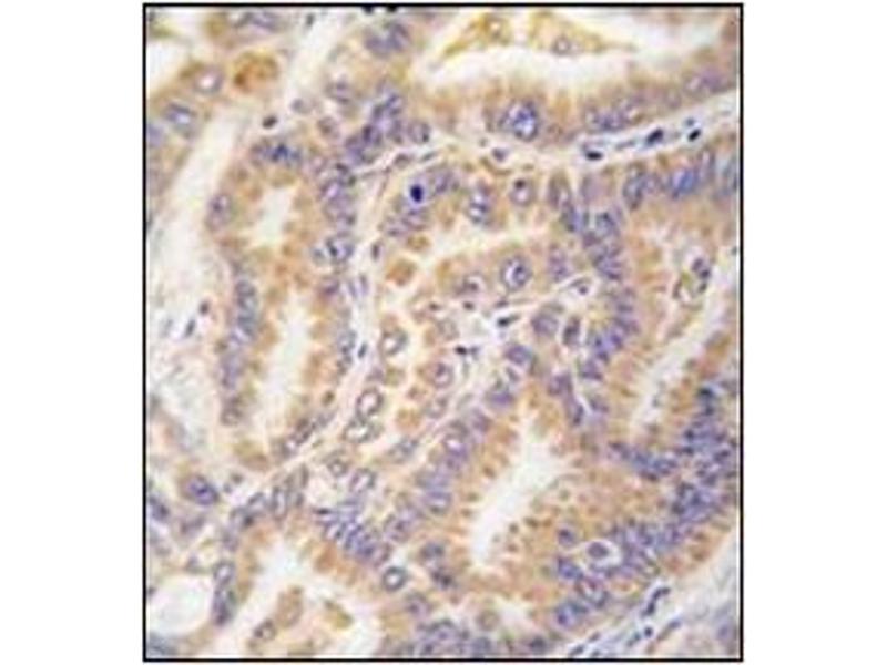
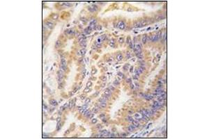
ATG12 抗体 (N-Term)

This 兔 多克隆 antibody specifically detects ATG12 in WB, IHC (p) 和 EIA. It exhibits reactivity toward 人.
产品编号 ABIN1449610
发货至: 中国
Contact our Customer Service for availability and price in your country. Contact Info

Our Local Distributor

中国
北京 101111
No. 88 KeChuang 6th Street
Beijing Economic Technological Development Area
Room 801-803
4A Biotech Co.,Ltd.
Tel +86 (0512) 65829739 传真 +86 (010) 6788 5057

Quick Overview for ATG12 抗体 (N-Term) (ABIN1449610)

抗原

See all ATG12 抗体
ATG12 (Autophagy Related 12 (ATG12))

适用

  • 104
  • 38
  • 28
  • 6
  • 6
  • 6
  • 6
  • 5
  • 4
  • 4
  • 4
  • 4
  • 2
  • 2
  • 2
  • 2
  • 2
  • 2
  • 2
  • 2
  • 1

宿主

  • 100
  • 20
  • 2

克隆类型

  • 68
  • 54
多克隆

标记

  • 54
  • 9
  • 5
  • 5
  • 4
  • 4
  • 4
  • 4
  • 4
  • 4
  • 4
  • 4
  • 3
  • 3
  • 1
  • 1
  • 1
  • 1
  • 1
  • 1
  • 1
  • 1
  • 1
  • 1
  • 1
This ATG12 antibody is un-conjugated

应用范围

  • 100
  • 57
  • 52
  • 43
  • 41
  • 18
  • 14
  • 13
  • 13
  • 9
  • 3
  • 2
  • 1
  • 1
  • 1
Western Blotting (WB), Immunohistochemistry (Paraffin-embedded Sections) (IHC (p)), Enzyme Immunoassay (EIA)
  • 抗原表位

    • 15
    • 8
    • 8
    • 6
    • 6
    • 6
    • 4
    • 3
    • 2
    • 2
    • 2
    • 1
    • 1
    • 1
    • 1
    • 1
    • 1
    • 1
    • 1
    AA 44-73, N-Term

    特异性

    This antibody recognizes Human APG12L (N-term). Other species not tested.

    纯化方法

    Saturated Ammonium Sulfate precipitation followed by dialysis against PBS

    免疫原

    KLH conjugated synthetic peptide between 44~73 amino acids from the N-term of Human APG12L Genename: ATG12

    亚型

    Ig Fraction
  • 应用备注

    Optimal working dilution should be determined by the investigator.

    限制

    仅限研究用
  • 状态

    Liquid

    浓度

    0.25 mg/mL

    缓冲液

    PBS containing 0.09 % (W/V) Sodium Azide as preservative

    储存液

    Sodium azide

    注意事项

    This product contains sodium azide: a POISONOUS AND HAZARDOUS SUBSTANCE which should be handled by trained staff only.

    注意事项

    Avoid repeated freezing and thawing.

    储存条件

    4 °C/-20 °C

    储存方法

    Store undiluted at 2-8 °C for one month or (in aliquots) at -20 °C for longer.
  • 抗原

    ATG12 (Autophagy Related 12 (ATG12))

    别名

    ATG12 / APG12

    背景

    Macroautophagy is the major inducible pathway for the general turnover of cytoplasmic constituents in eukaryotic cells, it is also responsible for the degradation of active cytoplasmic enzymes and organelles during nutrient starvation. Macroautophagy involves the formation of double-membrane bound autophagosomes which enclose the cytoplasmic constituent targeted for degradation in a membrane bound structure, which then fuse with the lysosome (or vacuole) releasing a single-membrane bound autophagic bodies which are then degraded within the lysosome (or vacuole). APG12L is the human homolog of yeast APG12, a ubiquitin-activating enzyme E1-like protein essential for the conjugation system that mediates membrane fusion in autophagy.Synonyms: APG12-like, APG12L, Autophagy-related protein 12, Ubiquitin-like protein ATG12

    分子量

    15113 Da

    基因ID

    9140

    NCBI登录号

    NP_004698

    途径

    Autophagy
You are here: