电话:
+86 (0512) 65829739
传真:
+86 (010) 6788 5057
电子邮件:
orders@antibodies-online.cn

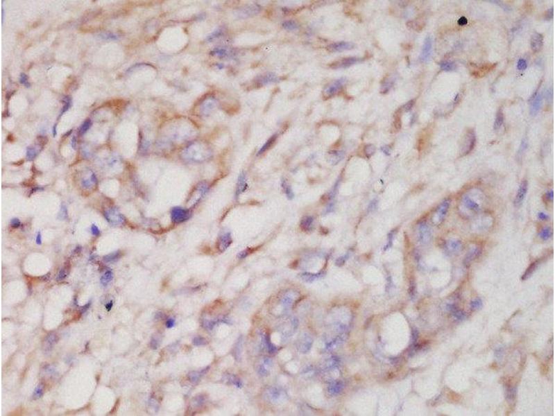
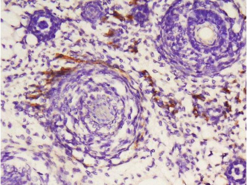
MAPK12 抗体 (pThr183, pTyr185)

The 兔 多克隆 anti-MAPK12 antibody is suitable to detect MAPK12 in samples from 人. It has been validated for WB, ELISA, IHC (p), ICC, IHC (fro), IF (cc) 和 IF (p).
产品编号 ABIN1387757
发货至: 中国
Contact our Customer Service for availability and price in your country. Contact Info

Our Local Distributor

中国
北京 101111
No. 88 KeChuang 6th Street
Beijing Economic Technological Development Area
Room 801-803
4A Biotech Co.,Ltd.
Tel +86 (0512) 65829739 传真 +86 (010) 6788 5057

Quick Overview for MAPK12 抗体 (pThr183, pTyr185) (ABIN1387757)

抗原

See all MAPK12 抗体
MAPK12 (Mitogen-Activated Protein Kinase 12 (MAPK12))

适用

  • 62
  • 38
  • 14
  • 4
  • 4
  • 3
  • 3
  • 3
  • 2
  • 2
  • 1
  • 1
  • 1
  • 1

宿主

  • 51
  • 8
  • 3
  • 2

克隆类型

  • 57
  • 7
多克隆

标记

  • 41
  • 5
  • 5
  • 3
  • 2
  • 2
  • 1
  • 1
  • 1
  • 1
  • 1
  • 1
This MAPK12 antibody is un-conjugated

应用范围

  • 51
  • 31
  • 24
  • 8
  • 6
  • 5
  • 4
  • 3
  • 1
  • 1
  • 1
  • 1
Western Blotting (WB), ELISA, Immunohistochemistry (Paraffin-embedded Sections) (IHC (p)), Immunocytochemistry (ICC), Immunohistochemistry (Frozen Sections) (IHC (fro)), Immunofluorescence (Cultured Cells) (IF (cc)), Immunofluorescence (Paraffin-embedded Sections) (IF (p))
  • 抗原表位

    • 8
    • 7
    • 6
    • 6
    • 4
    • 3
    • 2
    • 2
    • 1
    • 1
    • 1
    • 1
    • 1
    • 1
    • 1
    • 1
    • 1
    • 1
    pThr183, pTyr185

    预测反应

    Human,Mouse,Rat,Dog,Cow,Pig,Chicken,Rabbit,Guinea Pig

    纯化方法

    Purified by Protein A.

    免疫原

    KLH conjugated synthetic phosphopeptide derived from human SAPK3 around the phosphorylation site of Thr183+Tyr185 [EM(p-T)G(p-Y)VV]

    亚型

    IgG
  • 应用备注

    WB 1:300-5000
    ELISA 1:500-1000
    IHC-P 1:200-400
    IHC-F 1:100-500
    IF(IHC-P) 1:50-200
    IF(IHC-F) 1:50-200
    IF(ICC) 1:50-200
    ICC 1:100-500

    限制

    仅限研究用
  • 状态

    Liquid

    浓度

    1 μg/μL

    缓冲液

    0.01M TBS( pH 7.4) with 1 % BSA, 0.02 % Proclin300 and 50 % Glycerol.

    储存液

    ProClin

    注意事项

    This product contains ProClin: a POISONOUS AND HAZARDOUS SUBSTANCE, which should be handled by trained staff only.

    储存条件

    4 °C,-20 °C

    储存方法

    Shipped at 4°C. Store at -20°C for one year. Avoid repeated freeze/thaw cycles.

    有效期

    12 months
  • 抗原

    MAPK12 (Mitogen-Activated Protein Kinase 12 (MAPK12))

    别名

    SAPK3+

    背景

    Synonyms: p-SAPK3Thr183+Tyr185, MAP kinase 12, MAP kinase p38 gamma, MAPK 12, Mapk12, Mitogen Activated Protein Kinase 12, ERK6, ERK 6, ERK-6, Extracellular signal-regulated kinase 6, Mitogen activated protein kinase 3, Mitogen activated protein kinase p38 gamma, Mitogen-activated protein kinase 12, Mitogen-activated protein kinase p38 gamma, MK12_HUMAN, P38 GAMMA, P38GAMMA, PRKM12, SAPK 3, SAPK3, Stress Activated Protein Kinase 3, Stress-activated protein kinase 3.

    Background: MAP (mitogen-activated protein) kinases play a significant role in many biological processes, including cell adhesion and spreading, cell differentiation and apoptosis. p38 alpha, p38 beta and p38 gamma, also known as MAPK14, MAPK11 and MAPK12, respectively, each contain one protein kinase domain and belong to the MAP kinase family. Expressed in different areas throughout the body with common expression patterns in heart, p38 proteins use magnesium as a cofactor to catalyze the ATP-dependent phosphorylation of target proteins. Via their catalytic activity, p38 alpha, p38 beta and p38 gamma are involved in a variety of events throughout the cell, including signal transduction pathways, cytokine production and cell proliferation and differentiation. The p38 proteins are subject to phosphoryation on Thr and Tyr residues, an event which is thought to activate the phosphorylated protein.

    途径

    MAPK Pathway, Neurotrophin Signaling Pathway, Regulation of Muscle Cell Differentiation, Hepatitis C, BCR Signaling, S100 Proteins
You are here: