电话:
+86 (0512) 65829739
传真:
+86 (010) 6788 5057
电子邮件:
orders@antibodies-online.cn

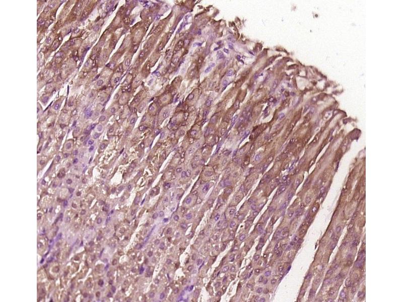
TTC8 抗体 (AA 251-330)

This 兔 多克隆 antibody specifically detects TTC8 in WB, ELISA, FACS, IF (cc), IF (p), IHC (fro), IHC (p) 和 ICC. It exhibits reactivity toward 人, 小鼠 和 大鼠.
产品编号 ABIN1387684
发货至: 中国
Contact our Customer Service for availability and price in your country. Contact Info

Our Local Distributor

中国
北京 101111
No. 88 KeChuang 6th Street
Beijing Economic Technological Development Area
Room 801-803
4A Biotech Co.,Ltd.
Tel +86 (0512) 65829739 传真 +86 (010) 6788 5057

Quick Overview for TTC8 抗体 (AA 251-330) (ABIN1387684)

抗原

See all TTC8 抗体
TTC8 (Tetratricopeptide Repeat Domain 8 (TTC8))

适用

  • 37
  • 18
  • 18
  • 2
  • 2
  • 1
  • 1
  • 1
  • 1
  • 1
人, 小鼠, 大鼠

宿主

  • 32
  • 4
  • 1

克隆类型

  • 35
  • 2
多克隆

标记

  • 17
  • 2
  • 2
  • 2
  • 2
  • 1
  • 1
  • 1
  • 1
  • 1
  • 1
  • 1
  • 1
  • 1
  • 1
  • 1
  • 1
This TTC8 antibody is un-conjugated

应用范围

  • 37
  • 14
  • 14
  • 12
  • 12
  • 2
  • 2
  • 2
  • 1
Western Blotting (WB), ELISA, Flow Cytometry (FACS), Immunofluorescence (Cultured Cells) (IF (cc)), Immunofluorescence (Paraffin-embedded Sections) (IF (p)), Immunohistochemistry (Frozen Sections) (IHC (fro)), Immunohistochemistry (Paraffin-embedded Sections) (IHC (p)), Immunocytochemistry (ICC)
  • 抗原表位

    • 15
    • 8
    • 5
    • 4
    • 2
    • 1
    • 1
    • 1
    • 1
    • 1
    AA 251-330

    交叉反应

    人, 小鼠, 大鼠

    预测反应

    Dog,Cow,Sheep,Pig,Horse,Chicken,Rabbit

    纯化方法

    Purified by Protein A.

    免疫原

    KLH conjugated synthetic peptide derived from human BBS8

    亚型

    IgG
  • 应用备注

    WB 1:300-5000
    ELISA 1:500-1000
    FCM 1:20-100
    IHC-P 1:200-400
    IHC-F 1:100-500
    IF(IHC-P) 1:50-200
    IF(IHC-F) 1:50-200
    IF(ICC) 1:50-200
    ICC 1:100-500

    限制

    仅限研究用
  • 状态

    Liquid

    浓度

    1 μg/μL

    缓冲液

    0.01M TBS( pH 7.4) with 1 % BSA, 0.02 % Proclin300 and 50 % Glycerol.

    储存液

    ProClin

    注意事项

    This product contains ProClin: a POISONOUS AND HAZARDOUS SUBSTANCE, which should be handled by trained staff only.

    储存条件

    4 °C,-20 °C

    储存方法

    Shipped at 4°C. Store at -20°C for one year. Avoid repeated freeze/thaw cycles.

    有效期

    12 months
  • 抗原

    TTC8 (Tetratricopeptide Repeat Domain 8 (TTC8))

    别名

    BBS8/TTC8

    背景

    Synonyms: Bardet Biedl syndrome 8 protein, Bardet Biedl syndrome type 8, Bardet-Biedl syndrome 8 protein, BBS8, Tetratricopeptide repeat domain 8, Tetratricopeptide repeat protein 8, TPR repeat protein 8, TTC 8, Ttc8, TTC8_HUMAN.

    Background: Bardet-Biedl syndrome (BBS) is a pleiotropic genetic disorder characterized by obesity, photoreceptor degeneration, polydactyly, hypogenitalism, renal abnormalities, and developmental delay. BBS patients also have an increased risk of developing diabetes, hypertension, and congenital heart defects. BBS is a heterogeneous disorder mapping to eight genetic loci and encoding eight proteins, BBS1-BBS8. Five BBS proteins encode basal body or cilia proteins, suggesting that BBS is a ciliary dysfunction disorder. BBS2 contains two overlapping genes: BBS2L1 and BBS2L2. BBSL1 was re-named BBS7, whereas BBS2L2 independently funcitons as BBS1. BBS7 contains 672 amino acids and is expressed at low to moderate levels in most human tissues.

    途径

    Hedgehog Signaling
You are here: