电话:
+86 (0512) 65829739
传真:
+86 (010) 6788 5057
电子邮件:
orders@antibodies-online.cn

ANGPTL4 抗体 (Coiled coil domain)

This 小鼠 单克隆 antibody specifically detects ANGPTL4 in WB, IHC 和 ELISA. It exhibits reactivity toward 人.
产品编号 ABIN1169317
发货至: 中国
Contact our Customer Service for availability and price in your country. Contact Info

Our Local Distributor

中国
北京 101111
No. 88 KeChuang 6th Street
Beijing Economic Technological Development Area
Room 801-803
4A Biotech Co.,Ltd.
Tel +86 (0512) 65829739 传真 +86 (010) 6788 5057

Quick Overview for ANGPTL4 抗体 (Coiled coil domain) (ABIN1169317)

抗原

See all ANGPTL4 抗体
ANGPTL4 (Angiopoietin-Like 4 (ANGPTL4))

适用

  • 56
  • 29
  • 26
  • 5
  • 4
  • 1

宿主

  • 65
  • 18
  • 1
  • 1
小鼠

克隆类型

  • 68
  • 17
单克隆

标记

  • 62
  • 12
  • 5
  • 1
  • 1
  • 1
  • 1
  • 1
  • 1
  • 1
This ANGPTL4 antibody is un-conjugated

应用范围

  • 66
  • 35
  • 31
  • 15
  • 13
  • 6
  • 5
  • 5
  • 3
  • 1
  • 1
  • 1
Western Blotting (WB), Immunohistochemistry (IHC), ELISA

克隆位点

Kairos4-397G
  • 抗原表位

    • 11
    • 7
    • 4
    • 4
    • 3
    • 3
    • 2
    • 2
    • 2
    • 2
    • 2
    • 2
    • 2
    • 2
    • 2
    • 1
    • 1
    • 1
    • 1
    • 1
    • 1
    • 1
    • 1
    • 1
    • 1
    • 1
    Coiled coil domain

    特异性

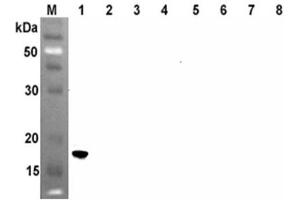
    Recognizes the coiled-coil domain (CCD) of human ANGPTL4. Detects a band of ~19 kDa by Western blot.

    交叉反应

    过滤

    0.2 μm filtered

    免疫原

    Recombinant human coiled-coil domain of ANGPTL4.

    亚型

    IgG1
  • 应用备注

    Optimal working dilution should be determined by the investigator.

    限制

    仅限研究用
  • 状态

    Liquid

    浓度

    Lot specific

    缓冲液

    0.2μm-filtered solution in PBS, pH 7.4. Contains no preservatives.

    储存液

    Without preservative

    储存条件

    4 °C,-20 °C

    储存方法

    Short Term Storage: +4°C
    Long Term Storage: -20°C
    Stable for at least 1 year after receipt when stored at -20°C.

    有效期

    12 months
  • 抗原

    ANGPTL4 (Angiopoietin-Like 4 (ANGPTL4))

    别名

    ANGPTL4

    背景

    ANGPTL4 mainly expressed in endothelial cells (hypoxia-induced). Regulates angiogenesis and modulates tumorgenesis and directly regulates lipid, glucose, and energy metabolism. Inhibits proliferation, migration, and tubule formation of endothelial cells and reduces vascular leakage. ANGPTL4 is a protein consisting of an N-terminal coiled-coil domain and a C-terminal fibrinogen-like domain (FLD). Both domains have distinct biological functions. The coiled-coil domain is responsible for the inhibitory effects on lipoprotein lipase (LPL) converting the active form of LPL into an inactive form, and the FLD domain mediates its antiangiogenic functions. The coiled coil and the FLD domains are separated by a short linker that can be cleaved after secretion. ANGPTL4 appears on the cell surface as the full-length form, where it can be released by heparin treatment. ANGPTL4 protein is then proteolytically cleaved by proprotein convertases (PCs), including furin, PC5/6, paired basic amino acid-cleaving enzyme 4, and PC7.

    UniProt

    Q9BY76

    途径

    Regulation of Lipid Metabolism by PPARalpha
You are here: