电话:
+86 (0512) 65829739
传真:
+86 (010) 6788 5057
电子邮件:
orders@antibodies-online.cn

NPAS1 抗体 (C-Term)

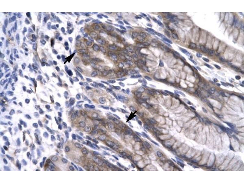
The 兔 多克隆 anti-NPAS1 antibody (ABIN1108482) specifically detects NPAS1 in WB 和 IHC (p). The antibody is reactive with 人, 小鼠 和 大鼠 samples.
产品编号 ABIN1108482
发货至: 中国
Contact our Customer Service for availability and price in your country. Contact Info

Our Local Distributor

中国
北京 101111
No. 88 KeChuang 6th Street
Beijing Economic Technological Development Area
Room 801-803
4A Biotech Co.,Ltd.
Tel +86 (0512) 65829739 传真 +86 (010) 6788 5057

Quick Overview for NPAS1 抗体 (C-Term) (ABIN1108482)

抗原

See all NPAS1 抗体
NPAS1 (Neuronal PAS Domain Protein 1 (NPAS1))

适用

  • 17
  • 14
  • 12
  • 2
  • 1
  • 1
人, 小鼠, 大鼠

宿主

  • 19

克隆类型

  • 19
多克隆

标记

  • 12
  • 1
  • 1
  • 1
  • 1
  • 1
  • 1
  • 1
This NPAS1 antibody is un-conjugated

应用范围

  • 11
  • 5
  • 2
  • 2
  • 2
  • 1
  • 1
Western Blotting (WB), Immunohistochemistry (Paraffin-embedded Sections) (IHC (p))
  • 抗原表位

    • 4
    • 1
    • 1
    • 1
    • 1
    • 1
    • 1
    C-Term

    序列

    TIRYGPAELG LVYPHLQRLG PGPALPEAFY PPLGLPYPGP AGTRLPRKGD

    交叉反应 (详细)

    Species reactivity (expected):Mouse, RatSpecies reactivity (tested):Human

    纯化方法

    Purified on peptide immunoaffinity column

    免疫原

    The immunogen for anti-NPAS1 antibody: synthetic peptide directed towards the C terminal of human NPAS1.
  • 应用备注

    Optimal working dilution should be determined by the investigator.

    限制

    仅限研究用
  • 溶解方式

    Add 50 μL of distilled water

    注意事项

    Avoid repeated freezing and thawing.

    储存条件

    -20 °C

    储存方法

    Store the lyophised antibody at -20 °C for up to one year. Store reconstitued antibody undiluted for one month or in aliquots at -20 °C long term.

    有效期

    12 months
  • 抗原

    NPAS1 (Neuronal PAS Domain Protein 1 (NPAS1))

    别名

    NPAS1

    背景

    NPAS1 is a member of the basic helix-loop-helix (bHLH)-PAS family of transcription factors. Studies of a related mouse gene suggest that it functions in neurons. The exact function of this gene is unclear, but it may play protective or modulatory roles during late embryogenesis and postnatal development.Synonyms: 1Basic-helix-loop-helix-PAS protein MOP5, Neuronal PAS domain-containing protein, Neuronal PAS1

    基因ID

    4861

    NCBI登录号

    NP_002508
You are here: