电话:
+86 (0512) 65829739
传真:
+86 (010) 6788 5057
电子邮件:
orders@antibodies-online.cn

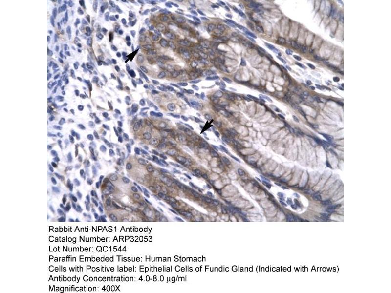
NPAS1 抗体 (C-Term)

The 兔 多克隆 anti-NPAS1 antibody is suitable to detect NPAS1 in samples from 人, 小鼠, 大鼠, 兔, 犬 和 Pig. It has been validated for WB 和 IHC.
产品编号 ABIN2779441
发货至: 中国
Contact our Customer Service for availability and price in your country. Contact Info

Our Local Distributor

中国
北京 101111
No. 88 KeChuang 6th Street
Beijing Economic Technological Development Area
Room 801-803
4A Biotech Co.,Ltd.
Tel +86 (0512) 65829739 传真 +86 (010) 6788 5057

Quick Overview for NPAS1 抗体 (C-Term) (ABIN2779441)

抗原

See all NPAS1 抗体
NPAS1 (Neuronal PAS Domain Protein 1 (NPAS1))

适用

人, 小鼠, 大鼠, 兔, 犬, Pig

宿主

  • 18

克隆类型

  • 18
多克隆

标记

  • 11
  • 1
  • 1
  • 1
  • 1
  • 1
  • 1
  • 1
This NPAS1 antibody is un-conjugated

应用范围

  • 10
  • 3
  • 3
  • 2
  • 2
  • 1
  • 1
Western Blotting (WB), Immunohistochemistry (IHC)
  • 抗原表位

    • 3
    • 1
    • 1
    • 1
    • 1
    • 1
    • 1
    C-Term

    序列

    TIRYGPAELG LVYPHLQRLG PGPALPEAFY PPLGLPYPGP AGTRLPRKGD

    预测反应

    Dog: 85%, Human: 100%, Mouse: 92%, Pig: 92%, Rabbit: 100%, Rat: 92%

    产品特性

    This is a rabbit polyclonal antibody against NPAS1. It was validated on Western Blot and immunohistochemistry.

    纯化方法

    Affinity Purified

    免疫原

    The immunogen is a synthetic peptide directed towards the C terminal region of human NPAS1
  • 应用备注

    Optimal working dilutions should be determined experimentally by the investigator.

    说明

    Antigen size: 590 AA

    限制

    仅限研究用
  • 状态

    Liquid

    浓度

    Lot specific

    缓冲液

    Liquid. Purified antibody supplied in 1x PBS buffer with 0.09 % (w/v) sodium azide and 2 % sucrose.

    储存液

    Sodium azide

    注意事项

    This product contains Sodium azide: a POISONOUS AND HAZARDOUS SUBSTANCE which should be handled by trained staff only.

    注意事项

    Avoid repeated freeze-thaw cycles.

    储存条件

    -20 °C

    储存方法

    For short term use, store at 2-8°C up to 1 week. For long term storage, store at -20°C in small aliquots to prevent freeze-thaw cycles.
  • 抗原

    NPAS1 (Neuronal PAS Domain Protein 1 (NPAS1))

    别名

    NPAS1

    背景

    NPAS1 is a member of the basic helix-loop-helix (bHLH)-PAS family of transcription factors. Studies of a related mouse gene suggest that it functions in neurons. The exact function of this gene is unclear, but it may play protective or modulatory roles during late embryogenesis and postnatal development.
    Alias Symbols: MOP5, PASD5, bHLHe11
    Protein Interaction Partner: ARNT,
    Protein Size: 590

    分子量

    63 kDa

    基因ID

    4861

    NCBI登录号

    NM_002517, NP_002508

    UniProt

    Q99742
You are here: