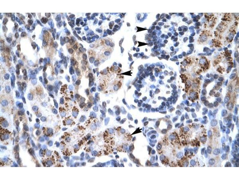
GFI1B 抗体 (N-Term)
Our Local Distributor
北京 101111
Quick Overview for GFI1B 抗体 (N-Term) (ABIN1107348)
抗原
See all GFI1B 抗体适用
宿主
克隆类型
标记
应用范围
-
-
抗原表位
- N-Term
-
序列
- MPRSFLVKSK MAHTYHQPRV QEDEPLWPPA LTPVPRDQAP SNSPVLSTLF
-
交叉反应 (详细)
- Species reactivity (expected):Dog, Rat, Mouse, BovineSpecies reactivity (tested):Human
-
纯化方法
- Purified on peptide immunoaffinity column
-
免疫原
- The immunogen for anti-GFI1B antibody: synthetic peptide directed towards the N terminal of human GFI1B
-
-
-
-
应用备注
- Optimal working dilution should be determined by the investigator.
-
限制
- 仅限研究用
-
-
-
溶解方式
- Add 50 μL of distilled water
-
注意事项
- Avoid repeated freezing and thawing.
-
储存条件
- -20 °C
-
储存方法
- Store the lyophised antibody at -20 °C for up to one year. Store reconstitued antibody undiluted for one month or in aliquots at -20 °C long term
-
有效期
- 12 months
-
-
- GFI1B (Growth Factor Independent 1B Transcription Repressor (GFI1B))
-
别名
- GFI1B
-
背景
- GFI1B acts in the late stage of erythroid differentiation as a transcriptional repressor. GATA-1 and NF-Y both contribute to erythroid-specific transcriptional activation of the Gfi-1B promoter. This zinc finger protein mediates erythroid expansion and has a role in normal erythropoiesis.Synonyms: Growth factor independent protein 1B, Potential regulator of CDKN1A translocated in CML, Zinc finger protein Gfi-1b
-
基因ID
- 8328
-
NCBI登录号
- NP_004179
-
途径
- Cellular Response to Molecule of Bacterial Origin
抗原
-