SNCG 抗体
Our Local Distributor
北京 101111
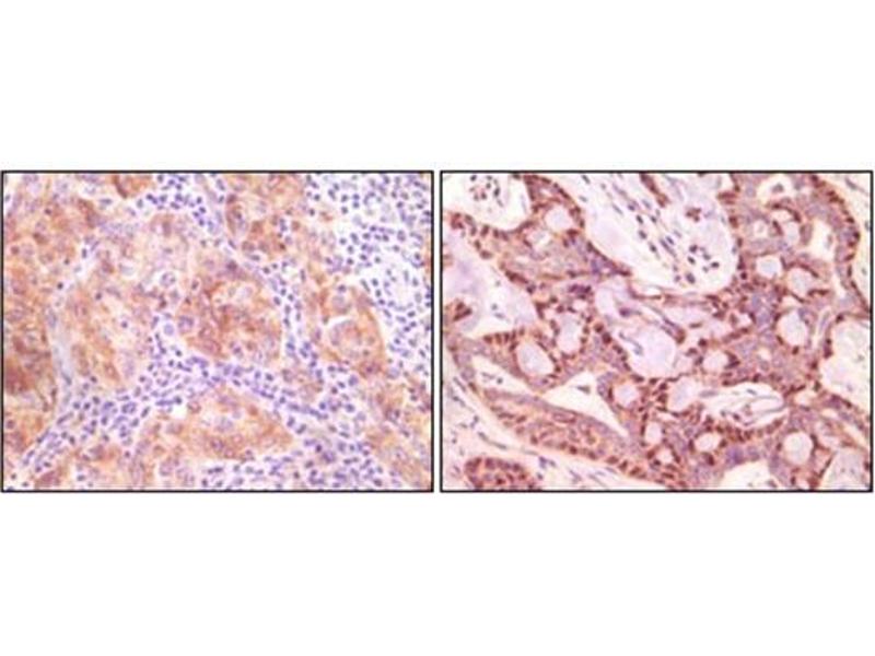
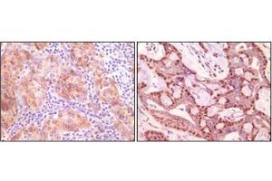
Quick Overview for SNCG 抗体 (ABIN1107306)
抗原
See all SNCG 抗体适用
宿主
克隆类型
标记
应用范围
克隆位点
-
-
特异性
- Recognizes SNCG (breast cancer-specific protein 1).
-
交叉反应 (详细)
- Species reactivity (tested):Human.
-
纯化方法
- Purified
-
亚型
- IgG1
-
-
-
-
应用备注
- Optimal working dilution should be determined by the investigator.
-
限制
- 仅限研究用
-
-
-
缓冲液
- 0.03 % Sodium Azide
-
储存液
- Sodium azide
-
注意事项
- This product contains sodium azide: a POISONOUS AND HAZARDOUS SUBSTANCE which should be handled by trained staff only.
-
-
- SNCG (Synuclein, gamma (Breast Cancer-Specific Protein 1) (SNCG))
-
别名
- gamma-Synuclein / SNCG
-
背景
- SNCG (also designated gamma-synuclein or breast cancer-specific protein 1),with 127-amino acid protein(about 14 kDa), belongs to the synuclein family, which also includes alpha- and beta- synuclein.Three synucleins are located in the neuronal cytosol and enriched in presynaptic terminals,while SNCG is also expressed in many other non-neuronal tissues. SNCG is abnormally expressed in a high percentage of tumor tissues of diversified cancer types, including liver, esophagus, colon, gastric, lung, prostate, cervical, and breast cancer, but rarely expressed in tumor-matched nonneoplastic adjacent tissues. High levels of SNCG have been identified in advanced breast carcinomas suggesting a correlation between overexpression of SNCG and breast tumor development.Synonyms: BCSG1, Breast cancer-specific gene 1 protein, PERSYN, PRSN, Synoretin, Synuclein gamma
-
基因ID
- 6623
抗原
-