电话:
+86 (0512) 65829739
传真:
+86 (010) 6788 5057
电子邮件:
orders@antibodies-online.cn

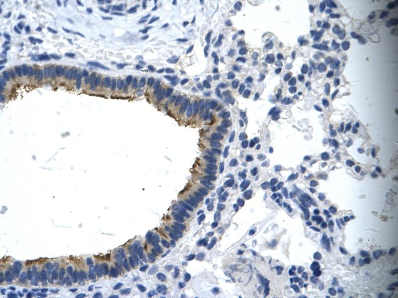
Asialoglycoprotein Receptor 2 抗体 (N-Term)

This 兔 多克隆 antibody specifically detects Asialoglycoprotein Receptor 2 in WB 和 IHC (p). It exhibits reactivity toward 人 和 Drosophila melanogaster.
产品编号 ABIN1105450
发货至: 中国
Contact our Customer Service for availability and price in your country. Contact Info

Our Local Distributor

中国
北京 101111
No. 88 KeChuang 6th Street
Beijing Economic Technological Development Area
Room 801-803
4A Biotech Co.,Ltd.
Tel +86 (0512) 65829739 传真 +86 (010) 6788 5057

Quick Overview for Asialoglycoprotein Receptor 2 抗体 (N-Term) (ABIN1105450)

抗原

See all Asialoglycoprotein Receptor 2 (ASGR2) 抗体
Asialoglycoprotein Receptor 2 (ASGR2)

适用

  • 25
  • 4
  • 2
  • 1
  • 1
人, Drosophila melanogaster

宿主

  • 22
  • 7

克隆类型

  • 24
  • 5
多克隆

标记

  • 25
  • 2
  • 1
  • 1
This Asialoglycoprotein Receptor 2 antibody is un-conjugated

应用范围

  • 21
  • 12
  • 10
  • 3
  • 2
  • 1
  • 1
  • 1
Western Blotting (WB), Immunohistochemistry (Paraffin-embedded Sections) (IHC (p))
  • 抗原表位

    • 5
    • 3
    • 3
    • 2
    • 1
    • 1
    • 1
    • 1
    • 1
    • 1
    • 1
    • 1
    • 1
    • 1
    N-Term

    序列

    LVVICVTGSQ SEGHRGAQLQ AELRSLKEAF SNFSSSTLTE VQAISTHGGS

    交叉反应 (详细)

    Species reactivity (expected):DrosophilaSpecies reactivity (tested):Human

    纯化方法

    Purified using peptide immunoaffinity column

    免疫原

    The immunogen for anti-ASGR2 antibody: synthetic peptide directed towards the N terminal of human ASGR2
  • 应用备注

    Optimal working dilution should be determined by the investigator.

    限制

    仅限研究用
  • 溶解方式

    Add 50 μL of distilled water to a final concentration of 1 mg/mL.

    注意事项

    Avoid repeated freezing and thawing.

    储存条件

    4 °C/-20 °C

    储存方法

    Store lyophilized at 2-8 °C or at -28 °C long term. After reconstitution store the antibody undiluted at 2-8 °C for up to one month or in aliquots at -28 °C long term.
  • 抗原

    Asialoglycoprotein Receptor 2 (ASGR2)

    别名

    ASGR2

    背景

    ASGR2 is a cell surface receptor that binds to galactose-terminated glycoproteins. It transports these glycoproteins via a series of membrane vesicles and tubules to an acidic-sorting organelle where the receptor and ligand dissociates. Then the receptor is recycled back to the cell surface. There are four alternatively spliced transcript variants of this gene. This gene has multiple polyadenylation sites.Synonyms: ASGP-R 2, ASGPR 2, Asialoglycoprotein receptor 2, Hepatic lectin H2

    基因ID

    433

    NCBI登录号

    NP_001172

    途径

    Thyroid Hormone Synthesis
You are here: