电话:
+86 (0512) 65829739
传真:
+86 (010) 6788 5057
电子邮件:
orders@antibodies-online.cn

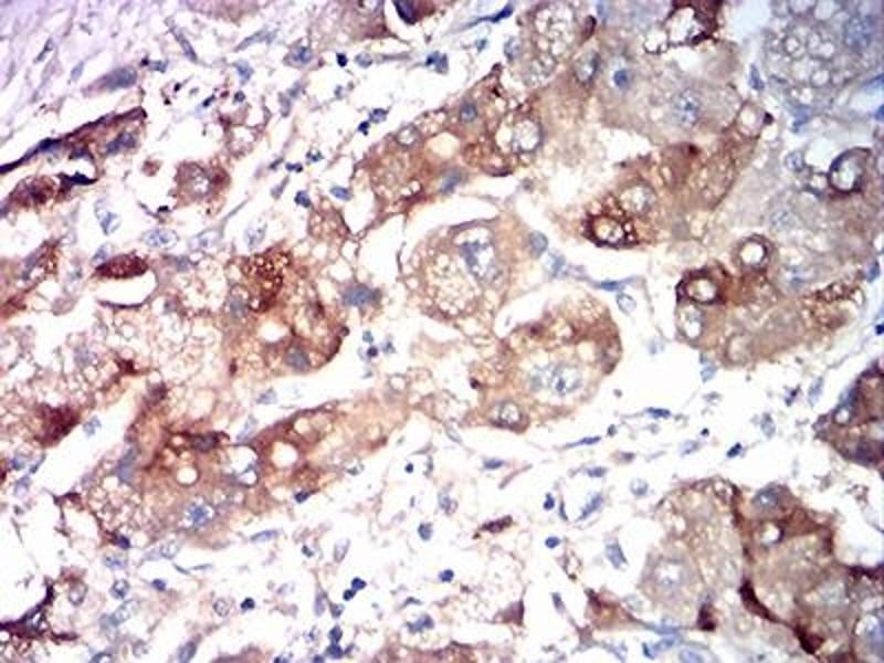
Asialoglycoprotein Receptor 2 抗体 (AA 80-311)

The 小鼠 单克隆 anti-Asialoglycoprotein Receptor 2 antibody is suitable to detect Asialoglycoprotein Receptor 2 in samples from 人. It has been validated for ELISA, IHC 和 FACS.
产品编号 ABIN7193549
发货至: 中国
Contact our Customer Service for availability and price in your country. Contact Info

Our Local Distributor

中国
北京 101111
No. 88 KeChuang 6th Street
Beijing Economic Technological Development Area
Room 801-803
4A Biotech Co.,Ltd.
Tel +86 (0512) 65829739 传真 +86 (010) 6788 5057

Quick Overview for Asialoglycoprotein Receptor 2 抗体 (AA 80-311) (ABIN7193549)

抗原

See all Asialoglycoprotein Receptor 2 (ASGR2) 抗体
Asialoglycoprotein Receptor 2 (ASGR2)

适用

  • 25
  • 4
  • 2
  • 1
  • 1
  • 1

宿主

  • 23
  • 6
小鼠

克隆类型

  • 25
  • 4
单克隆

标记

  • 25
  • 2
  • 1
  • 1
This Asialoglycoprotein Receptor 2 antibody is un-conjugated

应用范围

  • 22
  • 11
  • 9
  • 4
  • 2
  • 1
  • 1
ELISA, Immunohistochemistry (IHC), Flow Cytometry (FACS)

克隆位点

2C6D11
  • 抗原表位

    • 5
    • 4
    • 3
    • 2
    • 1
    • 1
    • 1
    • 1
    • 1
    • 1
    • 1
    • 1
    • 1
    AA 80-311

    原理

    ASGR2 Antibody

    纯化方法

    Purified antibody

    免疫原

    Purified recombinant fragment of human ASGR2 (AA: 80-311) expressed in E. Coli.

    亚型

    IgG1
  • 应用备注

    ELISA: 1/10000

    FCM: 1/200 - 1/400

    限制

    仅限研究用
  • 状态

    Liquid

    缓冲液

    Purified antibody in PBS with 0.05 % sodium azide.

    储存液

    Sodium azide

    注意事项

    This product contains Sodium azide: a POISONOUS AND HAZARDOUS SUBSTANCE which should be handled by trained staff only.

    储存条件

    4 °C,-20 °C

    储存方法

    Store at 4°C short term. Aliquot and store at -20°C long term. Avoid freeze/thaw cycles.
  • 抗原

    Asialoglycoprotein Receptor 2 (ASGR2)

    别名

    ASGR2

    背景

    This gene encodes a subunit of the asialoglycoprotein receptor. This receptor is a transmembrane protein that plays a critical role in serum glycoprotein homeostasis by mediating the endocytosis and lysosomal degradation of glycoproteins with exposed terminal galactose or N-acetylgalactosamine residues. The asialoglycoprotein receptor may facilitate hepatic infection by multiple viruses including hepatitis B, and is also a target for liver-specific drug delivery. The asialoglycoprotein receptor is a hetero-oligomeric protein composed of major and minor subunits, which are encoded by different genes. The protein encoded by this gene is the less abundant minor subunit. Alternatively spliced transcript variants encoding multiple isoforms have been observed for this gene.

    分子量

    35 kDa

    基因ID

    433

    UniProt

    P07307

    途径

    Thyroid Hormone Synthesis
You are here: