HMGB1 抗体
Our Local Distributor
北京 101111
Quick Overview for HMGB1 抗体 (ABIN1102112)
抗原
See all HMGB1 抗体适用
宿主
克隆类型
标记
应用范围
克隆位点
-
-
特异性
- This recognizes both A box domain (amino acids 9-79) and full length HMGB1 protein.
-
纯化方法
- Protein G purified
-
免疫原
-
Full length recombinant human HMGB1.
Type of Immunogen: Recombinant protein -
亚型
- IgG2b kappa
-
-
-
-
应用备注
-
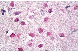
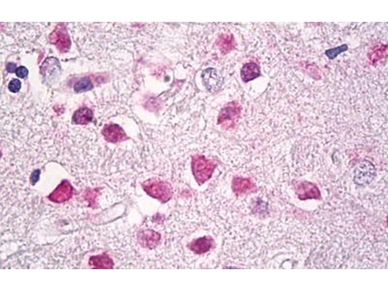
Approved: Flo, IHC, IHC-P (20 μg/mL), WB (1 - 3 μg/mL)
Usage: Flow: Intracellular. The applications listed have been tested for the unmodified form of this product. Other forms have not been tested. -
说明
-
Target Species of Antibody: Human
-
限制
- 仅限研究用
-
-
-
状态
- Liquid
-
浓度
- Lot specific
-
缓冲液
- PBS, azide-free
-
储存液
- Azide free
-
储存条件
- 4 °C,-20 °C
-
储存方法
- Store at 4°C, stable for 6 months. For long term storage, aliquot and store at -20°C.
-
-
- HMGB1 (High Mobility Group Box 1 (HMGB1))
-
别名
- HMG1 / HMGB1
-
背景
-
Name/Gene ID: HMGB1
Synonyms: HMGB1, Amphoterin, High mobility group protein B1, High mobility group box 1, High mobility group protein 1, HMG1, HMG3, SBP-1, High-mobility group box 1, HMG-1 -
基因ID
- 3146
-
UniProt
- P09429
-
途径
- p53 Pathway, Regulation of Muscle Cell Differentiation, Skeletal Muscle Fiber Development, Positive Regulation of Endopeptidase Activity, Regulation of Carbohydrate Metabolic Process, Toll-Like Receptors Cascades, Smooth Muscle Cell Migration, Inflammasome
抗原
-